外科学:开放获取-Sci Forschen德赢娱乐国际

全文

病例报告
以腰大肌脓肿为表现的血管内支架移植感染1例

C情郎*1艾希礼2.

1.英国皇家海军海军医学研究所
2.英国普利茅斯德文郡德里福德医院特伦斯·刘易斯大楼血管外科

*通讯作者:C斯温,38克林顿大道,普利茅斯,普利茅斯,7公顷,英格兰电子邮件:cara@houseofswain.com;卡拉。swain104@mod.uk


摘要

病例报告:有血管内主动脉瘤修补史及尿路脓毒症,全身不适伴髋关节疼痛,后来诊断为腰肌脓肿与动脉瘤囊相连。

结论:尿脓毒症与支架移植感染之间存在一定关系。介入治疗需要仔细规划,预防性抗生素也有作用。外科医生应警惕各种表现的晚发感染的可能性。

关键词

主动脉瘤;血管内手术;支架;血管外科手术;腰大肌脓肿;尿路感染

介绍

使用血管内技术(EVAR)修复腹主动脉瘤已成为血管外科医生的一种流行选择,他们认为选择性开放性动脉瘤修复的死亡率和发病率在合并发病率较高的患者群体中过于显著。

尽管自该手术普及以来,支架/内移植物在技术上有了重大改进,但由于动脉瘤扩张、移植物周围主动脉扩张或感染等潜在的晚期并发症,需要进一步干预,因此需要对其进行识别和监测,因此随访至关重要。

病例报告

A76岁白人男性,2011年接受了6.6 cm肾下腹主动脉瘤血管内修补术,已知有II型内漏,14个月后出现恶病质,全身不适,左髋剧烈疼痛,活动能力受损。重要的既往病史包括心房颤动、慢性阻塞性肺疾病和多种泌尿外科干预,包括6例因尿脓毒症和尿路结石住院。

检查时,沿左髋关节线压痛,关节力矩范围缩小,髋关节内旋转消失。他不发热,白细胞计数16.7,炎症标志物升高(CRP 164),贫血,血红蛋白10.9,高钠血症,发现有原发性甲状旁腺功能亢进。骨盆平片显示左髋无骨折,但计算机断层扫描证实在主动脉瘤囊附近存在腰大肌脓肿。

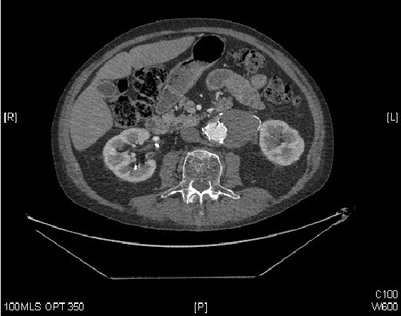
双相腹部-骨盆CT扫描报告(图1):“…主动脉瘤囊自上次扫描后略有减少…已知的II型内渗蛋白没有变化。然而,异质腰肌集合的大小增加了,这似乎与(主要是血栓形成的)动脉瘤囊之间有联系。”

治疗方法为静脉注射抗生素和放射学引导下腰大肌脓肿引流;使用Seldinger技术,通过左侧腹股沟将10根法国猪尾导管插入脓肿,并建立浓脓的自由引流;送去进行微生物分析的样本培养出大肠杆菌的混合物。连续血液培养奇异变形杆菌,运动性革兰氏阴性杆菌,已知可感染复杂尿路患者,即功能或解剖异常或长期使用导尿管的患者米拉比卢斯尿路结石[1],是患者既往病史的一个重要特征。

由于虚弱和缺乏生理储备,患者被认为不适合进一步的干预。移除血管内装置(Lombard Aorfix)将是一个挑战,可能会对患者造成更多的伤害。他在静脉注射他唑辛后出院回家,并转用口服增强素继续终生治疗。

图1:腹部CT显示主动脉内有对比,存在EVAR支架和血栓形成的动脉瘤囊。

讨论

血管内主动脉瘤修补术后的大多数监测集中于该手术在降低动脉瘤破裂风险方面的技术成功,包括内漏、器械移动和监测颈部扩张。感染作为主动脉瘤血管内修补术的晚期并发症相对少见,其中感染支架的发病率为1-3%[2],但这是血管外科医生面临的最困难的管理挑战之一。据报道,感染支架的直接并发症包括系统性菌血症、主动脉-肠瘘、主动脉旁脓肿和腰大肌脓肿。此外,相关死亡率很高,发病率包括肢体丢失、肠道缺血和肾功能不全的风险失败。

早期感染发生在三个月内,通常由金黄色葡萄球菌引起,手术期间患者皮肤菌群的移植物污染。大多数移植物感染发生在这段时间之后,通常由表皮葡萄球菌,而且大肠杆菌,假单胞菌,变形杆菌,沙门氏菌和克雷伯菌[2]。来自远程来源的二次感染最有可能发生于血源性接种,是典型的晚期并发症。已报告有三次慢性非特异性败血症(不适,体重减轻),三分之一为急性脓毒症,三分之一为主动脉肠瘘[3]。感染的泌尿学原因并不少见;van der Berg等人报告了血管内手术一年后肾结石脓毒症并发症后支架移植物感染[4]。

如果有发热史,诊断相对简单,证据包括炎症标志物和白细胞计数升高,并伴有[5]影像学上的液体聚集。随后的治疗可能是具有挑战性的,干预必须考虑到当前患者的性质,但是一旦诊断出受感染的血管内支架有两种选择:使用抗生素治疗以反映细菌的易感性,或者手术治疗,在动脉重建或[3]解剖外搭桥之前去除受感染的移植物并清除周围组织。在主动脉支架的情况下,由于支架本身的性质以及用倒钩或钩子固定在主动脉壁上,移植是复杂的。

如果进行外植,应使用送去进行微生物分析的组织指导术后全身抗生素治疗;Coselli等人报告,在支架移植物感染中,任何替代聚酯移植物都应浸泡在抗生素(如利福平)中,以降低因菌血症引起血液定植的可能性[6]。

结论

本病例报告强调尿路脓毒症与腹腔内支架感染之间的关系。尽管支架感染的总体发生率相对较低,但正在进行的血管内手术越来越多,血管外科医生和其他医生需要警惕感染的风险和可变的迟发性表现。

当考虑患者进行血管内治疗时,预防性抗生素可以改善有尿脓毒症病史患者的预后。推迟手术以确保根除最为有利,但如果由于临床原因不可能,则应在术前和术后使用抗生素,并使用抗生素浸泡移植物以防止定植。

一旦诊断出感染,治疗的主要方法是有针对性的长期抗生素治疗和/或尽可能摘除感染的假体。

利益冲突声明:

没有一个

致谢:

没有一个

参考文献
  1. Struble K(2014)变形杆菌感染。[裁判。]
  2. Van Zeeland MLP,Van der Laan L(2011)主动脉瘤修复术后晚期并发症。In:Grundman RT eds.腹主动脉瘤、胸腹主动脉瘤和胸主动脉瘤的诊断、筛查和治疗。联合公报13:211-226。[裁判。]
  3. Laser A,Baker N,Rectenwald J,Eliason JL,Criado Pallares E等(2011)血管内腹主动脉瘤修复后的移植物感染。《华尔街日报》第54期:58-63页。[裁判。]
  4. Van der Berg HR, Leijdekkers VJ, Vahl A(2006)肾结石脓毒性并发症后主动脉支架移植感染。心血管间期Radiol 29: 443-445。[裁判。]
  5. Hobbs SD,Kumar S,Gilling Smith GL(2010)《移植物感染的流行病学和诊断》。心血管外科杂志51:5-14[裁判。]
  6. Coselli JS,Green SY,LeMaire SA(2011)当支架移植物失败时:胸主动脉的拔除和开放手术修复。德州心脏仪器J 38:658-660。[裁判。]

在此处下载临时PDF

PDF

条信息

文章类型:病例报告

引用:Swain C,Ashley S(2015)一例以腰大肌脓肿为表现的血管内支架移植物感染。外科杂志开放获取1(1):doi。http://dx.doi. org/10.16966/2470-0991.104

版权:©2015 Swain C等人。这是一篇根据知识共享署名许可证条款发行的开放获取文章,允许在任何媒体中不受限制地使用、发行和复制,前提是原始作者和来源均已获得授权。

出版历史:

  • 收到日期:08年9月2014年

  • 接受日期:2015年9月18日

  • 发表日期:2015年9月22日