图1:一位72岁男性的临床病程流感嗜血杆菌肺炎。TFLX和CTRX的施用无效,但管理MPSL的给药改善了他的病情。TOSUFLOXACIN TFLX;CTRX,CEFTRIAXONE;MPSL,甲基哌啶

关崎正夫1*大川野佐美1,2玛雅哈鲁1,2Yuji Watanabe.1,2
1.日本宫城县仙台东北医科大学医院传染病和感染控制科*通讯作者:Masafumi Seki,传染病和感染控制,东北,仙台,宫城,日本,电子邮件:seki@hosp.tohokumpu.ac.jp.
一名72岁的发热人被诊断为肺炎,他给予了肺炎星系和静脉内头孢曲松。虽然流感嗜血杆菌对氟喹诺酮类药物敏感,从他的痰中分离出头孢曲松,严重咳嗽和发烧没有改善。最终,在服用甲基强的松龙后,他的症状和实验室数据有所改善。这些发现表明流感嗜血杆菌诱导免疫机制并强烈毒性。
嗜血杆菌流感托苏沙星;左氧氟沙星;头孢曲松;甲基强的松龙
流感嗜血杆菌是一种可感染所有年龄段的人的细菌,表现范围从轻度(例如,耳朵感染)到严重(例如,血流感染)[1,2]。该生物经常殖民殖民患有慢性阻塞性肺疾病(COPD)的患者的下呼吸道,也与COPD的急性加重相关[3]。它也是社区患者在成人中肺炎的重要原因。在20世纪80年代,β-内酰胺酶阴性,氨苄青霉素抗性(Blnar)流感嗜血杆菌由于抗生素过度使用,如头孢菌素[4],发现了菌株并在发病率迅速增加。最近,据报道,Blnar菌株的患病率在日本增加到近50%[5,6]。
在本报告中,我们描述了一例流感嗜血杆菌肺炎没有反应痰培养引导的抗生素治疗,但是由甲基己酮酮控制。
2016年5月,一名72岁男子来我院就诊,主诉持续咳嗽和轻度劳累性呼吸困难达一周之久。他既往无明显病史,目前也未服用药物,但他曾吸烟者。
体格检查显示发冷,但无休克(体温38℃⋅7°C;血压120/72 mmHg;心率86 bpm)。根据格拉斯哥昏迷量表,他的意识水平为E3V4M5,右上肺野可听到粗糙的爆裂声和吸气性rhonchi声,他的氧气状态略降至SpO2.:房间空气的95%。确定了5个Curb65严重性项目中的2项。白细胞(WBC)计数为8,300 /μL(中性粒细胞72.3%,嗜酸性粒细胞1.5%,淋巴细胞16.9%,单核细胞8.8%,嗜碱性粒细胞0.5%)。C-反应蛋白水平为6.69mg / dL(图1)。胸部X射线识别右上肺域内的渗透阴影(图2)。
图1:一位72岁男性的临床病程流感嗜血杆菌肺炎。TFLX和CTRX的施用无效,但管理MPSL的给药改善了他的病情。TOSUFLOXACIN TFLX;CTRX,CEFTRIAXONE;MPSL,甲基哌啶
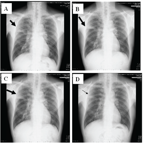
图2:患者的胸部X光改变。分别为A:1天、B:4天、C:7天和D:11天。右上视野的浸润阴影在第1天和第4天没有改变,但在第7天恶化。但是,在使用甲基强的松龙后,在第11天有所改善。
流感嗜血杆菌与痰液中分离出来,良好的药物敏感性至第3代头孢菌素和氟代喹啉,虽然我们的分离的菌株是抗青霉素的Blnar(图1)。在显微镜下观察到许多中性粒细胞(3+)的髓质症和噬菌体流感嗜血杆菌在3+或> 10中也是半定量检测的7.cfu / ml。没有从痰中收集分枝杆菌或假单胞菌物种。
门诊第1天开始口服托苏沙星0.5g/d, 48 ~ 72小时内发热、咳嗽未见好转。5个CURB65严重项目中的3个被识别出来。患者于第4天入院,因呼吸状态恶化(SpO)开始给氧1 L/min2.:94%(在室内空气条件下)。流感嗜血杆菌第4天入院时痰和血培养中未检测到。抗生素改为静脉注射头孢曲松(CTRX),但在第7天出现持续发热和症状,包括咳嗽。第7天血液中的白细胞数量也增加。流感嗜血杆菌第7天,他的痰和血培养中没有检测到其他细菌。一些非典型病原体的重叠感染,如支原体、呼吸道合胞病毒、人类偏肺病毒和流感病毒,通过其鼻拭子和咽拭子的阴性抗原排除。
由于怀疑肺炎的免疫机制和/或抗生素的毒性导致肺炎无法缓解,我们从第7天开始静脉注射1mg/kg的甲基强的松龙(mPSL)(图1)。四天后(第11天),他的症状、实验室数据和胸部x光检查结果显著改善,我们停止了mPSL。患者出院后保持健康状况。
讨论
这个患者的患者有不可解决的流感嗜血杆菌尽管适当的抗生素治疗和一般管理,但肺炎。通常,氟喹诺酮酮和3研发部新一代头孢菌素能有效地对抗流感嗜血杆菌,这被称为社区获得的肺炎的代表性病原体之一。这种情况表明,两种主要氟喹诺酮类药物(LVOFloxacin(LVFX)和环丙沙星(CPFX)和3次研发部代代脑孢菌素(头孢菌素),我们使用的是,因为我们的分离菌株是Blnar和抗青霉素[6]。
我们没有专门调查分离出的细菌的药物敏感性流感嗜血杆菌但TFLX属于LVFX和CPFX的同一家族;因此,不太可能流感嗜血杆菌仅对TFLX产生耐药性,TFLX是一种口服氟喹诺酮类药物,也包括厌氧菌和非典型病原体,包括支原体和衣原体,但不包括分枝杆菌[7]。因此,TFLX是日本门诊治疗BLNAR肺炎最推荐的抗生素之一[8,9]然而,值得注意的是,TFLX经常用于治疗日本儿童的中耳炎;因此,抗TFLX细菌的出现最近引起了关注[7,9].事实上,该患者的孙子在耳鼻喉科诊所接受了TFLX治疗,并被发现含有相同的细菌。我们在第一天不知道这一事实,但我们应该更仔细地获取医疗信息,包括他的孙子的药物。我们的下一个目标是调查该分离物对TFLX的敏感性。
细菌毒性可能是抗生素使用无效的原因之一。流感嗜血杆菌根据荚膜多糖的不同,可能被分类为a至f血清型,或者如果荚膜多糖检测不到,则可能被分类为不可分型[10]。流感嗜血杆菌B型(hib)是侵入性感染最常见的原因。另一方面,不可键入流感嗜血杆菌(Nthi)通常是轻度粘膜感染的致病生物,如支气管内炎或中耳炎或中耳炎,但很少被鉴定为侵袭性致命感染的致病病原体。
随着Hib结合疫苗的广泛使用,侵袭性Hib疾病的发病率显著降低[11,12]。相比之下,由NTHi引起的侵袭性感染的发病率有所增加;这种现象称为病原体转移[2]。在我们的案例中,分离的菌株是NTHi。此外,病毒的特征流感嗜血杆菌除了特定的荚膜多糖或其缺失,可能解释了这种情况下对适当抗生素治疗没有反应。需要进一步的研究来验证这些假设。
我们的抗生素难治性病例可能存在某些免疫学机制。此前,我们报告了一例侵袭性NTHi呼吸道感染,痰中含有大量中性粒细胞胞外陷阱(NETs)[2].NETs是一种纤维结构,在炎症(如肺炎)期间从激活的中性粒细胞中释放出,并迅速捕获和杀死病原体,作为免疫防御的第一道防线[13-16].然而,尚未充分研究NETs的功能和病理作用,最近,当NETs数量巨大且呈“双刃剑”延伸时,过度的免疫功能被认为会导致组织损伤[17-19].我们的患者没有过敏性疾病和免疫性疾病的病史和背景,但mPSL显著减少了炎症、胸部X光浸润和症状,包括咳嗽。NETs的存在和过度中性粒细胞反应可能增强了他的严重肺炎。不幸的是,我们没有通过支气管镜诊断其他n因患者拒绝进一步检查而导致的包括组织性肺炎(OP)在内的肺炎流感嗜血杆菌10例OP患者中有3例分离到嗜中性粒细胞聚集,但其他4例OP患者中没有一例没有嗜中性粒细胞浸润[20]。这些结果表明OP与嗜中性粒细胞和流感嗜血杆菌.需要进一步分析这些病例中类固醇有效性的机制。
在类固醇使用中,托雷斯A等检查MPS10.5mg / kg培育的急性使用5天(n = 61),发现与安慰剂(n = 59)相比,在社区收购的肺炎中与安慰剂(n = 59)相比,提出高炎症状态[21]。使用皮质类固醇不是常规的临床实践,尚无官方建议,但我们应该调查MPSL在严重和/或毫无孤立的肺炎案件中,包括我们所提出的患者。
最后,我们提出了一个案例流感嗜血杆菌尽管进行了培养引导的抗生素治疗,但肺炎仍没有改善。尽管不能排除TFLX耐药性的可能性,但其他一些免疫和毒性机制,如NETs的存在,也可能起到了作用。进一步研究TFLX的致病性和免疫病理学流感嗜血杆菌在这个广泛使用Hib疫苗的时代,应该继续进行感染。
没有任何
这项工作得到了日本科学促进会的支持,科学研究资助金为2646158(授予硕士学位)。
在此处下载临时PDF
文章类型:病例报告
引文:Seki M,Oikawa N,Hariu M,Watanabe Y(2017)甲基己酮抗生素难治性嗜血杆菌流感感染。J感染培训型乳头3(1):DOI http://dx.doi.org/10.16966/2470-3176.121
版权:©2017 Seki M,等人。这是在创意公约归因许可的条款下分发的开放式文章,其允许在任何媒体中不受限制地使用,分发和再现,只要原始作者和来源被记入。
出版历史:
所有Sc德赢娱乐国际i Forschen期刊都是开放获取的