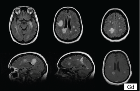
图1:脑MRI(FLAIR)显示几个高强度病变,符合巴克霍夫空间扩散标准:1)≥ 9个大小至少为3 mm的T2病变,或≥ 1钆增强病变,2)≥ 3例脑室周围病变,3例)≥ 1个皮质旁病变和4个)≥ 1幕下病变。

Daniel Apolinar García Estévez*
欧伦斯大学医院神经内科,欧伦斯,西班牙*通讯作者:Daniel Apolina García Estévez,西班牙奥伦斯大学医院神经病学服务部,电话:+34 679 99 91 98;电邮:daniel.apolinar.garcia.estevez@sergas.es
诊断多发性硬化症(MS)是具有挑战性的,因为许多疾病可以与它混淆。MRI可以帮助神经学家正确诊断MS,满足时空传播标准(2017 McDonald标准),而且患者的症状必须没有其他解释。然而,随着MRI可用性的增加,也有越来越多的异常附带放射学发现,如此接近典型的MS病变,但这些患者没有疾病的迹象或症状;这种疾病被称为放射孤立综合征(RIS)。了解这些RIS患者发展为MS的高风险是非常重要的,尽管没有批准的治疗这种无症状阶段的疾病。在这里,我们报告了一个临床病例,展示了RIS的概念,以及患者如何在疾病早期发展成肿瘤性多发性硬化症。我们建议在症状前阶段进行早期治疗是预防多发性硬化症复发的良好临床实践。
多发性硬化;放射检查孤立综合症;临床孤立综合征;Tumectative多发性硬化症;疾病修饰药物;Barkhof标准
放射隔离综合征(RIS)是指根据最新临床建议,通过磁共振成像(MRI)观察到的患者脑部存在高信号。形态学上与脱髓鞘病变相一致并符合Barkhof的解剖播散标准的高信号,但在没有提示性临床体征的情况下,提示脱髓鞘疾病。众所周知,三分之一的RIS患者将在随访5年内转变为临床孤立综合征(CIS)[1]。对于许多作者来说,RIS是多发性硬化症(MS)的无症状期,炎症现象已经存在,疾病的轴突损伤特征开始[2,3]。重要的是确定有风险的转换为顺式[1,4-6],并考虑是否值得在这种无症状阶段(在第一次临床事件之前)开始使用疾病修饰药物(DMD)治疗[4,7,8]。我们报告一例患者,我们观察到RIS根据MRI标准转化为侵袭性MS,并伴有多个肿大病变。
一名46岁妇女因吞咽困难问题被转到神经内科。异常的脑MRI显示多个T2和FLAIR高强度/病变,符合Barkhof的四种空间播散标准中的三种(图1)。她有人格障碍,曾因痉挛性发音障碍在Othorhinolaringology服务中接受治疗。经过特别询问,她从未表现出脱髓鞘疾病的临床征兆。在对她的精神障碍进行治疗后,吞咽困难得到改善。我们决定在6个月后进行对照MRI检查,未发现新的病变。咨询10个月后,患者因人格障碍恶化、家庭动态恶化、冲动控制减少和行为退化而被送入精神健康服务中心。神经系统检查显示她精神状态改变,左侧面神经麻痹,左侧肢体感觉减退,步态不稳定。扩展残疾状态量表(EDSS)得分为6分。此时,进行了新的脑部MRI检查,发现多个肿块,钆增强(图2)。颈脊髓MRI正常。视觉诱发电位(VEP)显示双侧脱髓鞘视神经病变,脑脊液(CSF)中可见IgG寡克隆条带。 The patient was put on treatment with natalizumab. After 6 months of this treatment, her state of health had improved (EDDS score of 3) and a new MRI showed a reduction in the size of the lesions, which were not enhanced with gadolinium.
图1:脑MRI(FLAIR)显示几个高强度病变,符合巴克霍夫空间扩散标准:1)≥ 9个大小至少为3 mm的T2病变,或≥ 1钆增强病变,2)≥ 3例脑室周围病变,3例)≥ 1个皮质旁病变和4个)≥ 1幕下病变。
图2:脑MRI (FLAIR和Gd-T1)。小脑幕上、下多发高强度病变,部分呈肿大样,最大者直径4.2、3.6 cm。部分病灶钆增强。
目前的情况可能看起来只是轶事,但现实完全不同于简单的考虑。我们提到的事实是,RIS并不仅仅意味着具有典型脱髓鞘疾病病变的大脑MRI的可视化,这些病变符合Barkhof的空间播散标准。一旦怀疑这些脑高强度的原因是脱髓鞘,我们决定通过神经生理学检查(VEP)、脑脊液和脊髓MRI的免疫学研究来完成对患者的评估,目的是确定是否存在转化为CIS的危险标志物。此时,我们改变了病人的情况,从单纯的放射治疗改为严格的临床治疗(无症状多发性硬化)。目前的研究是由33%的RIS患者在5年随访期内转化为CIS的风险提供的,其中男性、年龄在37岁以下、MRI[1]检测到颈或胸脊髓损伤的患者的风险更大。因此,为了避免或延缓这种转化,确定这些患者似乎是合理的,类似于CIS和随后转化为临床定义的多发性硬化症(CDMS)。对MS自然史的研究表明,这种疾病是连续的,以RIS为代表的无症状期,接着是CIS(也就是说,MS的第一个事件),然后是复发-缓解期,最后是继发性进行性期。最重要的概念应该认识到,在无症状期,炎症现象和轴突变性都已经存在[3]。这些过程不是短暂的现象,随着时间的推移,它们的有害影响将导致残疾的增加。目前,轴突损伤是多发性硬化症的病理早衰特征,因为它是神经变性的基础,这是有帮助的。 This damage leads to brain atrophy in patients that present with RIS, when compared with normal subjects[2], 33% of whom demonstrate cognitive impairment which is qualitatively comparable to that present in patients with CDMS [9,10].
在进行了概念性的努力后,将RIS放在临床体育场的相同水平上作为症状前MS,这是治疗困境出现的时候;也就是说,对于无症状的炎症-自身免疫病理生理学和慢性病程的患者,治疗[7]或不治疗[8]。在考虑到风险和益处的情况下,药物的管理应遵循循证医学的规范。使用一种超出临床适应症的药物应限于设计良好的临床试验,既要重视药物的有效性,又要重视其安全性。在选择治疗的情况下,有两个问题:哪种治疗是最好的,以及在没有临床症状的情况下,如何监测治疗反应?原则上,同样类似于独联体及其向CDMS的转变,一种选择是采用DMD,目的是延缓向独联体的转变。从神经退行性变的观点来看,这一概念应该指导治疗选择。从这个意义上说,从治疗第二年开始,格拉雷醋酸钠对脑萎缩有积极的作用;基于MR光谱,n -乙酰天门冬氨酸(NAA)/肌酸比值增加,提示神经再生作用[11]。最近的一项研究表明,sc干扰素-β1a治疗在减少皮质病变和MS皮质萎缩进展方面具有显著效果,这也可以应用于RIS[12]。 As an alternative, in spite of being considered a second line treatment at the moment -at least in Spain, fingolimod has been suggested as a possible drug to use in this phase due to its demonstrated effect on brain atrophy and its superiorityvs.肌内干扰素-β1[13]。在这个意义上,在67年th2015年AAN年会Okuda及其同事提交了一份摘要,报告了在RIS受试者中开始使用富马酸二甲酯作为疾病修饰药物的随机双盲临床试验,但结果尚未报告[14].不幸的是,目前还没有其他临床试验或前瞻性研究接近这一复杂情景来阐明这一治疗困境。
在这里,我们报告了一个临床病例,展示了RIS的概念,以及患者是如何在疾病早期发展成肿瘤性多发性硬化症的。我们建议在症状前阶段进行早期治疗是防止MS复发的良好临床实践,但治疗的选择必须与患者一致,患者必须了解实际的治疗预期。
没有需要申报的利益冲突。
在此下载临时PDF
文章类型:病例报告
引用:Estévez DAG(2018)放射分离综合征转化为肿瘤性多发性硬化症。J Neurol Neurobiol 4(2): dx.doi.org/10.16966/2379-7150.150
版权:©2018 Estevez DAG。这是一篇开放获取的文章,在知识共享署名许可协议的条款下发布,该协议允许在任何媒体上无限制地使用、发布和复制,前提是注明原作者和来源。
出版历史:
所有Sc德赢娱乐国际i Forschen期刊都是开放获取的