纳米医学与纳米外科德赢娱乐国际

全文

研究文章
亮绿色发光麦芽糊精包被硫化镉量子点作为生物成像造影剂:生物相容性研究

Gutierrez-Sancha我1Reyes-Esparza J1Rodriguez-Fragoso P2Garcia-Vazquez F3.Rodriguez-Fragoso L1 *

1墨西哥库埃纳瓦卡莫雷洛斯自治大学法玛西亚学院,邮编62210
2墨西哥,d.f., Apartado邮政14-740,07000
3.墨西哥国家研究所Pediatría实验室Patología

*通讯作者:Rodríguez-Fragoso L, MD, PhD, faculty de Farmacia, university Autónoma del Estado de Morelos, Cuernavaca 62210, Mexico, Fax: 01 52 777 329-7089;电子邮件:mrodriguezf@uaem.mx


摘要

量子点的生物学特性和物理化学特性对理解、预测和管理暴露后潜在的不利健康影响提出了新的挑战。量子点在生物医学中的安全使用需要详细了解其生物相容性和毒性。本研究评价了麦芽糖糊精包覆的硫化镉量子点在啮齿动物中的生物相容性。的在活的有机体内荧光显微镜下研究了麦芽糖糊精包覆的硫化镉量子点在组织中的定位,并通过组织病理学分析和生化分析评估其生物相容性。每天用200µg/Kg麦芽糊精包覆的硫化镉量子点处理动物5天或15天,动物的器官中显示出不同的量子点存在。肾脏、肝脏均检测到强荧光;肌肉和脑,肠、肺和睾丸有中度荧光。组织病理学和生化分析表明,量子点对鼠类无毒。体内分析揭示了量子点的分布规律及其与所有组织的生物相容性。麦芽糖糊精涂层硫化镉量子点的亮绿色发光表明它们可能被用作生物成像应用的造影剂。

关键字

量子点;硫化镉;细胞毒性;细胞凋亡;生物相容性

介绍

量子点纳米颗粒(QDs)由于其在成像和治疗方面的应用潜力,正逐渐成为一种新型的生物系统造影剂[1,2]。量子点的独特光学特性在活的有机体内成像包括:高吸收系数,高荧光量子产率,高耐光漂白。更重要的是,量子点的宽吸收光谱和窄发射光谱使其适合于同时多路成像。然而,将量子点引入生物系统通常需要对量子点表面的配体进行操作,使其具有水溶性[4]。

量子点在生物医学应用中的有用性要求它们进入人体并直接接触组织和细胞。这就需要了解它们的生物相容性。qd被认为是生物相容性的,即当它们无毒、无害或无生理反应[5]时,与活组织或活系统兼容。同样,当量子点粒子对正常生理产生不利影响和/或直接改变人类和动物器官和组织的正常结构时,就被认为是有毒的[6,7]。

近年来,关于量子点的细胞相互作用机制的科学知识不断增长。以往的研究结果强烈表明,表面涂层可以改善细胞相容性,从而降低毒性。有研究表明,表面包裹的量子点长期暴露于其生物环境中,会使表面分子的结合强度不稳定,进而导致细胞内外未受保护的量子点[8,9]。因此,量子点表面表面分子的稳定性和结合强度决定了量子点的生物相容性,从而决定了它们的毒性。目前,具有良好生物相容性和低毒性的聚合物被成功地广泛应用于量子点的表面修饰和工程生物相容性的量子点复合材料,用于各种医疗和生物应用[10,11]。

我们最近报道了尺寸为3 nm、具有更高绿光发射能力的量子点的合成,并将其包裹在糖聚合物上,这表明它们在生物成像领域具有潜在的应用前景[12,13]。麦芽糖糊精包覆的硫化镉量子点(CdS-MDx)产生了明显的剂量依赖效应在体外体内;在活的有机体内然而,其影响尚不清楚。本研究采用麦芽糖糊精包封的硫化镉量子点(CdSMDx)进行生物相容性分析。为了确定CdS-MDx量子点的生物相容性,我们在5天或15天内对每日接受纳米颗粒剂量的啮齿动物组织进行了组织病理学检查。因此,本研究的目的是评价CdS-MDx量子点的生物相容性在活的有机体内

材料和方法
分析在活的有机体内CdS-MDx量子点的生物分布和生物相容性

如前所述[13]所述,合成了3 nm大小的亮绿色发光CdS-MDx量子点。以Wistar大鼠为模型进行CdS-MDx量子点的生物相容性研究。所有动物均在动物房中饲养,昼夜循环12小时,持续2个月。所有动物都被保存在卫生和动物友好的条件下,被安置在温度和湿度控制的环境中,并允许食物(墨西哥标准Purina Chow饮食)和自由饮水。实验按照《实验动物护理使用指南[14]》进行。

选取8 ~ 10周龄健康Wistar大鼠24只,随机分为3组:1组8只,每天ig 300µL PBS, 200µg/ Kg体重的CdS-MDx量子点,连续5天;第二组8只动物每天用200µg/Kg体重的CdS-MDx量子点,在300µL PBS中,持续15 d。对照组(8只)注射300µL PBS。观察动物是否有中毒迹象。急性中毒期间记录的体征包括:运动活动、麻醉、震颤、弓、滚、阵挛性惊厥、上睑下垂、强直性伸展、流泪、眼球突出、勃起、流涎、抑郁、运动失调、镇静、催眠、发绀和镇痛。行为参数、死亡、体重、水和饲料量进行了分析。毒性指标包括每日临床观察、体重、食用量、临床病理、器官重量和组织病理学。

治疗后,动物被禁食一夜,并在乙醚麻醉后从心脏采集血液样本。尸检时采集的组织保存在10%中性缓冲福尔马林固定液中,并进行常规组织学检查。荧光分析,组织标本用he染色。3000 rpm离心15 min,测定血清中谷丙转氨酶(ALT)、天冬氨酸转氨酶(AST)、碱性磷酸酶(ALP)、葡萄糖、胆固醇、甘油三酯(TG)、尿素、尿素、碱性磷酸酶(ALP)等生化指标。使用商业试剂盒(ELITech,墨西哥)对接受多剂量CdS-MDx量子点的动物的肌酐和尿酸进行测量。

统计分析

数据以3次独立实验的平均值±SD表示。使用SPSS 10.0软件对数据进行统计分析。(美国)、t检验和方差分析。如果P值小于0.05,则认为差异显著。

结果
在活的有机体内CdS-Dx量子点荧光显微镜的生物相容性

为了获得关于CdS-MDx量子点在啮齿动物组织中的生物相容性的准确数据,我们在5天或15天内用200µg/Kg的CdS-MDx量子点对大鼠进行治疗。未染色的组织样品在荧光显微镜下观察,CdS-MDx QDs因其明亮的绿色光而被识别。对未染色的组织标本进行分析,以检测组织的分布和积累。还对染色组织进行了组织病理学分析,以监测其毒性,并查看CdS-MDx QDs是否具有生物相容性或是否引起结构变化。图1和图2为cd - mdx量子点在雌性大鼠肠、肺、脾、心、肾、肝、脑和骨骼肌中生物分布的代表性荧光图像。图3和图4为雄性大鼠肠、肺、脾、心、肾、肝、脑和睾丸中CdS-MDx量子点生物分布的代表性荧光图像。由于在每个组织中存在CdS-MDx QDs,可见不同的荧光强度在两性中都很明显。在肠内,CdS-MDx量子点更多分布于外膜、固有层和上皮层。在雌性中,这些组织的荧光在第5天时更明显。而雄性在15 d时荧光强度较高。 In the lung, evident fluorescence surrounded the blood vessels, bronchioles (smooth muscle, submucose and cartilage) and alveolar sacs (luminal alveolar epithelium, smooth muscle and basement membrane); no significant changes in the intensity of fluorescence were observed in either sex. In the spleen, fluorescence intensity was high when rats were treated with CdS-MDx QDs for 5 days. The QDs were observed mainly in red pulp and, to a lesser extent, in white pulp. After 15 days of exposure, the CdS-MDx QDs were observed in the manti zone of the follicle and in the marginal zone of the follicle in female rats, whereas in males the CdS-MDx QDs were mainly found in red pulp; no significant changes in the intensity of fluorescence were observed in either sex. In the heart, CdS-MDx QDs were found in the myocardium (muscle fibers) and were less evident at 5 days of treatment in female rats.

肾脏的荧光强度高于其他任何器官。这主要见于近端和远端曲小管,肾小球中也有少量曲小管;在雌性老鼠身上,亮绿色的辐射更强烈。肝脏也表现出高荧光强度,主要分布在肝门静脉、肝动脉分支、胆管周围,少量分布在肝实质周围。明亮的绿色在雄性老鼠身上散发出更强烈的光芒。

CdS-MDx量子点明显穿过血脑屏障和血睾丸屏障,因为我们在大脑和睾丸中检测到荧光。荧光存在于大脑皮质的所有层,但在女性的分子层,以及男性的外部颗粒层和神经节层中更高。睾丸显示出强烈的荧光睾丸间质细胞的荧光增强,生精小管和精母细胞区的荧光减弱。骨骼肌中观察到CdS-MDx量子点的高吸收,胸腺中检测到最低程度的荧光(数据未显示)。值得注意的是,在治疗15天后,大多数组织的亮绿色发射更高。雌性或雄性大鼠均未观察到显著变化。

组织病理学分析未显示暴露于CdS MDx QDs 5天和15天后所有研究组织的任何变化(图5和图6)。与对照组中的雄性大鼠相比,分析的生物化学参数未显示任何变化(表1);但是,显著增加(100%)在雌性大鼠中观察到血清甘油三酯水平(p<0.05)(表2)。

讨论

由于量子点在生物成像中具有广阔的应用前景,近年来备受关注[15,16]。然而,量子点在生物和临床应用中仍然存在严重的局限性,因为目前还没有足够的体内生物相容性数据,这导致了人们对其安全性的担忧[17,18]。本研究证明了CdSMDx量子点在啮齿动物中的生物相容性,以及CdSMDx量子点获得的高质量图像。

量子点的生物相容性是其应用于生物成像的重要条件之一。为了使量子点与它们的生物环境更相容,它们需要被制成亲水的。因此,通过表面的修饰使它们具有水溶性是至关重要的。量子点在水中的稳定性可以通过完全的配体交换过程获得,也可以通过空间稳定,即天然疏水表面被两亲分子包裹,如聚合物[20,21]。本研究使用了麦芽糖糊精包覆的硫化镉量子点,如先前报道的,其尺寸为3 nm[13]。由于麦芽糊精已被发现是安全无毒的,我们在合成CdS量子点时使用它作为封盖剂。麦芽糊精被认为是一种很好的涂层材料,因为它具有低粘度和良好的水溶性。在药剂学上,它被用作片剂的稀释剂和微胶囊[22]的包衣材料。一种新型包覆糖分子的量子点的发展可能会促进对特定组织和器官受体的吸引力[23]。

图1:荧光显微镜图像显示CdS-MDx量子点在大鼠组织中的分布和定位。200µg/Kg每日i.p,连续5天和15天的雌性大鼠的肠、肺、脾、心。左柱为荧光显微镜下观察的对照组组织。CdS-MDx量子点在分析组织中的分布和定位通过亮绿色成像确定。在第15天,肠道和心脏的荧光明显增加。

图2:荧光显微镜图像显示CdS-MDx量子点在大鼠组织中的分布和定位。200µg/Kg每日i.p,连续5天和15天的雌性大鼠的肾、肝、脑和肌肉图像。左柱为荧光显微镜下观察的对照组组织。CdS-MDx量子点在分析组织中的分布和定位通过亮绿色成像确定。治疗15天后,所有器官的荧光均明显增加。

图3:荧光显微镜图像显示CdS-MDx量子点在大鼠组织中的分布和定位。200µg/Kg每日i.p,连续5天和15天的雄性大鼠的肠、肺、脾、心的图像。左柱为荧光显微镜下观察的对照组组织。CdS-MDx量子点在分析组织中的分布和定位通过亮绿色成像确定。

图4:荧光显微镜图像显示了CdS MDx量子点在大鼠组织中的分布和定位。这些图像属于每天注射200µg/Kg的雄性大鼠的肾脏、肝脏、大脑和睾丸,持续5天和15天。左栏显示了在荧光显微镜下观察到的对照组组织。分布和loca通过分析组织中的亮绿色成像确定CdS-MDx量子点的荧光化。治疗15天后,肾脏、肝脏和大脑中的荧光明显增加。

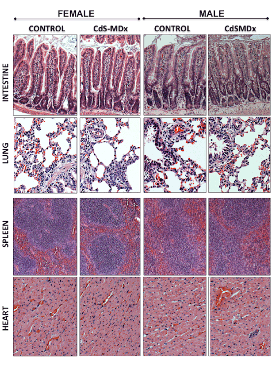
图5:用CdS MDx QDs治疗的大鼠组织的代表性光学显微镜图像。这些图像属于每天注射200µg/Kg,持续15天的雄性和雌性大鼠的肠、肺、脾和心脏。我们的分析表明,这些器官没有表现出毒性迹象。组织的完整性在用He染色后进行分析马托西林和曙红(放大10倍)。

图6:用CdS-MDx量子点处理的大鼠组织的代表性光学显微镜图像。200µg/Kg腹腔注射,连续15天,均为大鼠肾、肝、脑、肌肉和睾丸的图像。我们的分析显示这些器官没有毒性迹象。组织完整性经苏木素-伊红染色(放大10X)分析。

表1:对雄性大鼠进行生物化学参数分析
数据为平均值±标准差
*与对照组比较p<0.05

表2:雌性大鼠的生化参数分析
数据为平均值±标准差
*与对照组比较p<0.05

然而,每一种量子点类型的合成决定了其独特的物理化学性质,这反过来又决定了其潜在的毒性或缺乏毒性[23,24]。此外,在一个完整的生物体中,生物环境的复杂性意味着纳米粒子的观察在体外条件可能产生完全不同的影响在活的有机体内.本研究评价了CdS-MDx量子点在雌雄鼠体内的生物相容性。本组前期报道显示CdSMDx量子点可通过凋亡和坏死诱导细胞死亡,其胚胎毒性也呈剂量依赖性在体外在活的有机体内条件[13]。本研究结果表明,200µg/Kg的CdS-MDx量子点在5天或15天内对啮齿动物具有生物相容性和无毒。

虽然研究有限,但量子点在组织/器官中的分布似乎是多因素的,取决于量子点的大小,量子点的核壳成分,以及共轭或其他附着的功能基团[25]的生物活性。粒径本身就能显著影响分布动力学。目前的结果表明,经腹腔注射后,CdS-MDx量子点分布在所有研究组织。这表明CdS-MDx量子点的大小允许它们进入组织,比如在体外所有组织均有细胞摄取QDs。缺乏特定功能群或特异性的量子点已被证明通过内吞机制与多种细胞类型结合在活的有机体内在体外条件[27]。一个有趣的发现是在大脑和睾丸中检测到亮绿色,这意味着CdS-MDx量子点能够穿过血脑屏障(BBB)和血睾丸屏障。虽然以往对NPs生物分布的研究表明它们在大脑中存在[28,29],但目前尚未对量子点进入该器官的频率进行详细分析。然而,目前的初步结果为开发靶向分子和药物的新型CdS-MDx量子点提供了基础,该量子点可以提高药物在血脑屏障上的传递效果,并促进药物进入大脑。

虽然很少在活的有机体内已有研究表明,QDs可能在多种器官和组织中积累[30,31]。纳米颗粒通常被吞噬单核细胞和巨噬细胞从脾脏和肝脏[32]隔离,大多数在活的有机体内纳米颗粒的生物分布研究表明,量子点在肝脏、脾脏和肾脏中积累[33].目前的结果表明,这些器官中确实存在CdS-MDx量子点。然而,即使考虑到暴露时间,CdS-MDx量子点在其他器官中的生物分布和积累模式也不同。据报道,量子点表面涂层可以控制血清寿命和沉积模式在活的有机体内(34、35)。现在我们知道,QD ADME的性质和毒性取决于多种因素,这些因素既有内在的理化性质,也有环境条件。目前,还没有研究比较量子点在两性中的作用。我们的研究结果没有发现cd - mdx QDs在雌性和雄性大鼠中的分布模式有任何差异。

对无机纳米颗粒的安全性关注是其临床应用的关键因素。事实上,大量的在活的有机体内研究表明,QDs可造成多种形式的毒性,包括肾毒性、肝脏损害、生殖毒性和血液异常[36,37]。我们对染色组织的组织病理学分析显示,CdS-MDx QDs对所分析的任何组织的结构均未产生形态学改变,也与生化分析中的任何异常无关。雌性大鼠血清甘油三酯水平的升高可能是由于性别在脂质和糖代谢方面的差异。有报道称,雌激素具有较高的游离脂肪酸摄入,并诱导皮下脂肪组织中甘油三酯的高合成率,以及血清甘油三酯水平的升高[39,40]。然而,需要更多的研究来阐明CdS-MDx QDs对女性脂质代谢的影响。

结论

目前的结果表明,当给啮齿动物,CdS-MDx量子点是生物相容性和无毒的。cd - mdx QDs在各器官和暴露时间的生物分布和积累规律不同,但在性别间无差异。CdS-MDx量子点可能需要进一步的评价,因为它们似乎是有前途的纳米材料,可以用于生物医学的生物成像。

确认

作者希望感谢UNAM先进显微镜国家实验室的Q.F.B. Xochitl Alvarado affantrananger提供的技术援助。

参考文献
  1. (in chinese)上转换发光量子点在生物成像中的应用。J Photochem Photobiol b135: 23-32。[Ref。
  2. 吴鹏,闫小平(2013)掺杂量子点用于化学/生物传感和生物成像。Chem Soc Rev 42: 5489-5521。[Ref。
  3. 李军,朱俊杰(2013)量子点在荧光生物传感和生物成像中的应用。分析师138:2506 - 2515。[Ref。
  4. 余文华,常娥,德雷泽克R,科尔文VL(2006)生物医学应用中的水溶性量子点。生物化学和生物物理研究通讯348:781-786[Ref。
  5. (2012)纳米粒子和纳米管的生物相容性和毒性研究。纳米材料学报2012:1-19。[Ref。
  6. 蔡国明,戴强,BA Alman, Chan WC(2013)量子点有毒吗?探讨细胞培养与动物研究的差异。Acc Chem Res 46: 662-671。[Ref。
  7. 等(2012)量子点的合成、生物应用和毒性。纳米尺度Res 7: 480。[Ref。
  8. Fubini B,Ghiazza M,Fenoglio I(2010)与毒性相关的工程纳米颗粒的物理化学特征。纳米毒理学4:347-363[Ref。
  9. 关键词:量子点纳米晶体,稳定配体,生物相容性传感器11:11036 - 11055。[Ref。
  10. 沈璐(2011)生物相容聚合物/量子点杂化材料的现状与发展。J Funct Biomater 2:355 - 372。[Ref。
  11. Hezinger AF, Tessmar J, Göpferich A(2008)量子点聚合物涂层——诊断和传感器的强大工具。Eur J Pharm Biopharm 68: 138-152。[Ref。
  12. de la Cruz G, Tomas SA, et al.(2008)淀粉包覆CdS纳米颗粒的合成及其光谱性质。晶体生长学报31:160-164。[Ref。
  13. Rodríguez Fragoso P,Reyes Esparza J,León-Buitemia A,RodríguezFragoso L(2012)。人类细胞系和鸡胚中麦芽糊精修饰的硫化镉纳米颗粒的合成、表征和毒理学评估。纳米生物技术杂志10:47[Ref。
  14. Bayne K(1996)可用的实验室动物护理和使用的修订指南。生理学家39:208 - 211。[Ref。
  15. (2014)基于量子点的神经细胞成像研究。方法:Mol Biol 1199: 191-206。[Ref。
  16. Scoville DK, Schaupp CM, Baneyx F, Kavanagh TJ(2014)在体方法评估量子点的毒性。方法:Mol Biol 1199: 179-190。[Ref。
  17. (2014)石墨烯量子点的体外和体内毒性研究。生物材料35:5041 - 5048。[Ref。
  18. Holden PA, Nisbet RM, Lenihan HS, Miller RJ, Cherr GN,等(2013)生态纳米毒理学:整合亚细胞、种群、群落和生态系统层面的纳米材料危害考虑。Acc Chem Res 46: 813-822。[Ref。
  19. meddintz IL, Mattoussi H, Clapp AR(2008)量子点的潜在临床应用。纳米医学3:151-167。[Ref。
  20. (in chinese with english abstract)(2014)荧光量子点的合成、生物医学光学成像及生物安全性评价。胶体Surf B生物界面124:132-139。[Ref。
  21. (2005)绿色和红色CdTe量子点的亚细胞分布和毒性的差异。英国医学杂志(医学版)83:377-385。[Ref。
  22. Parikh A, Agarwal S, rat K(2014)麦芽糊精在制药工业中的应用综述。国际药物生物学杂志4:67-74。[Ref。
  23. Chaudhary PM, Murthy RV, Kikkeri R(2014)糖帽量子点的进展和前景。纳米材料学报1:7-11。[Ref。
  24. 量子点的毒性取决于物理化学和环境因素。环境健康展望114:165-172。[Ref。
  25. Schleh C, Semmler-Behnke M, Lipka J, Wenk A, Hirn S, et al.(2012)纳米金颗粒的大小和表面电荷决定口服后通过肠道屏障的吸收和次级靶器官的积累。纳米毒理学6:36-46。[Ref。
  26. Rosenthal SJ, Chang JC, Kovtun O, McBride JR (2011) Tomlinson ID。生物相容性量子点的生物应用。生物化学18:10-24。[Ref。
  27. Kato S, Itoh K, Yaoi T, Tozawa T, Yoshikawa Y, et al.(2010)腹腔内给药后量子点的器官分布,特别参考大脑特定区域的分布。纳米技术21:335103。[Ref。
  28. Maldiney T, Richard C, Seguin J, Wattier N, Bessodes M, et al.(2011)核直径、表面涂层和PEG链长度对持久发光纳米粒子在小鼠体内生物分布的影响。ACS Nano 5: 854-862。[Ref。
  29. (2010)纳米银在体外血脑屏障中的分布。纳米纳米技术10:6313- 6317。[Ref。
  30. 齐藤Y, Terada N,齐藤S, Ohno N, Jin T,等。(2012)活体冷冻技术对肺水肿小鼠肺微血管血流的组织化学分析和量子点成像。组织化学细胞生物学137:137-151。[Ref。
  31. 刘宁,穆勇,陈勇,孙辉,韩松,等。(2013)CdTe/ZnS量子点在小鼠体内的降解:镉和碲的不同血液动力学和生物分布。粒子和纤维毒理学10:37。[Ref。
  32. 王志强,王志强(2009)半导体量子点的生物分布与定量技术。抗癌药物Med Chem 9:295 -303。[Ref。
  33. Sadauskas E,Wallin H,Stoltenberg M,Voger U,Doering P,et al.(2007)Kupffer细胞是从生物体中去除纳米颗粒的中心。第4部分:10[Ref。
  34. Abdelhalim MA, Mady MM(2011)体内腹腔注射金纳米颗粒后肝脏摄取的荧光研究。脂类健康杂志10:195。[Ref。
  35. 3 .唐勇,韩胜,刘海华,陈旭,黄磊,等。(2013)表面化学在CdSe/ZnS核壳量子点体内生物分布和毒性测定中的作用。生物材料34:8741 - 8755。[Ref。
  36. 李永康,郑建民,李永生,等。(2012)长烷基链配体修饰纳米颗粒对多特异性和多模态成像的影响。核医学杂志53:1462-1470。[Ref。
  37. Liu W, Zhang S ., Wang L ., Qu C, Zhang C ., et al. (2011) CdSe量子点(QD)对小鼠肝脏形态学和功能的影响。PloS One 6: e24406。[Ref。
  38. 李杰,常X,陈X,顾Z,赵F,等。(2014)无机纳米材料在生物医学成像中的毒性。生物技术公司公告32:727-743。[Ref。
  39. Dakin RS,Walker BR,Seckl JR,Hadoke PW,Drake AJ(2015)雌激素保护雄性小鼠免受肥胖并发症的影响,并影响糖皮质激素代谢。Int J Obes(Lond)39:1539-1547[Ref。
  40. Varlamov O, Bethea CL, Roberts CT(2015)脂质和糖代谢的性别特异性差异。前内分泌5:241。[Ref。

在此下载临时PDF

PDF

文章信息

Aritcle类型:研究文章

引用:Gutiérrez-Sancha I, Reyes-Esparza J, Rodríguez-Fragoso P, García-Vázquez F, RodríguezFragoso L(2015)亮绿色发光麦芽糊精涂层硫化镉量子点作为生物成像造影剂的生物相容性研究。Int J nanoomed Nanosurg 1 (2): doi http://dx.doi。org/10.16966/2470 - 3206.107

版权:©2015 Gutiérrez Sancha I,et al.这是一篇根据知识共享署名许可证条款发行的开放获取文章,允许在任何媒体中不受限制地使用、发行和复制,前提是原始作者和来源均已获得授权。

出版的历史:

  • 收到日期:2015年11月4

  • 接受日期:2015年11月12日

  • 出版日期:2015年11月17日