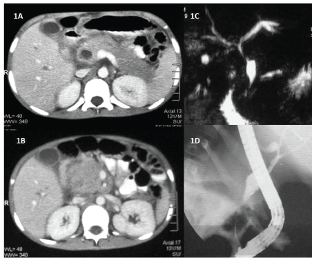
图1:(1A) CECT显示扩张的肝内胆管根和扩张的CBD,壁增厚;
(1B) CECT显示胰腺头体积大;
(1C) MRCP图像显示CBD中下部扩张,近下部狭窄;
(1D) ERCP:透视图像显示CBD中下部扩张,近下部狭窄。内窥镜是可见的。

Ravinder Goyal1乌玛·德2Kaushal K普拉萨德1 *Vishal沙玛1先生R Thapa1
1印度昌迪加尔(UT)医学教育和研究研究生院消化内科*通讯作者:Kaushal Kishor Prasad, GE组织病理学部门,GE酶学I/C部门,胃肠病学超级专业,医学教育和研究研究生院,昌迪加尔(UT)-160 012,印度,Tel: +91-172-2756604;传真:+ 91-172-2744401,91-172-2744401;电子邮件:kaushalkp10@hotmail.com.
背景:嗜酸性胃肠炎是一种越来越多地被认识到的疾病,表现多种多样。嗜酸性粒细胞累及胆道和胰腺是极其罕见的,通常发生在特发性嗜酸性粒细胞增多综合征的情况下。
案例报告:我们举报了12岁男性儿童,在诊断嗜酸性胃肠炎相关的对象梗死后接受类固醇。虽然类固醇剂量锥度锥度,但他在绝对嗜酸性粒细胞计数中升高了腹痛和黄疸。最终建立了胆管病的嗜酸性胰酸炎诊断,患者用类固醇和胆道支架改善。
结论:大多数患有食管腺癌患者的患者都不知道在之前。发展癌症的患者的数量似乎很高,但检测一个可治愈癌症的负担要高得多。
嗜酸性胃肠炎;胰腺炎;Cholangiopathy;孩子
嗜酸性胃肠炎(EG)是胃肠道(GIT)中嗜酸性粒细胞的异常聚集,可能导致多种表现。虽然现在已经很清楚EG累及管腔,但胆道和胰腺系统的报道较少。同时累及GIT、胆管和胰腺的报道也很少。我们提出一个12岁的男孩EG引起肠梗阻的病例,他表现为嗜酸性胆管病和胰腺炎,同时试图减少类固醇的剂量。
一个12岁的男孩患有腹痛和黄疸一周。疼痛是椎弓根,辐射到背部,并在其发作时与非乏味呕吐有关。在同一时间,患者还注意到他巩膜的淡黄色变色,暗尿液的通过,但没有前面的前驱植物,相关瘙痒或粘土粗粪。他以前的急性肠梗阻历史,并在两年后经历了紧急手术。检测术中的术中含有对血管体重和患者接受右半聚切除术和对血管吻合术的患者。组织病理学揭示了盲肠和切除的淋巴结的嗜酸性渗透性是反应性的。进一步的评价显示多个腋窝,宫颈和腹腔淋巴结和升高的绝对嗜酸性粒细胞计数(AEC; 1880 /μL)。血清IgE水平升高(> 10,000IU / mL)。嗜酸性粒细胞的原因的掉效果是非贡献,并且含有二乙基氨基吡啶嗪的计数没有改善。将患者引发泼尼松1.5mg / kg体重8周,随后的嗜酸性粒细胞计数和淋巴结病减少。
当尝试减少类固醇,AEC从113增加到3500/µL时,患者出现症状,伴有疼痛和黄疸。实验室评价血清淀粉酶480 U/L(正常0 ~ 70 U/L),总胆红素:6.5 mg / dL(正常的0 - 1 mg / dL)结合胆红素5 mg / dL(普通0 - 0.3 mg / dL)、天冬氨酸转氨酶53 IU / L(正常厅IU / L),丙氨酸转氨酶95 IU / L(正常2-41 IU / L),碱性磷酸酶480 IU / L(正常42 - 128 IU / L),白蛋白4.1 g / dL(正常3.4 - -4.8 g / dL)、总蛋白7.5 g / dL(正常6.4 - -8.3 g / dL),凝血酶原时间9.8 s(正常9.0-11.5 s),国际标准化比值1.0,活化部分凝血酶时间26 s(正常22-34 s)。ct增强显示肝内胆管扩张,胆总管扩张,胆总管壁增厚(图1A)。胰头体积大(图1B)。磁共振胰胆管造影(MRCP)显示CBD中下部扩张,近下部狭窄(图1C)。为了缓解梗阻,行内镜逆行胰胆管造影(ERCP),显示十二指肠黏膜浸润,并证实MRCP的发现(图1D)。胆道减压采用7法国胆道双猪尾支架置入,减轻了黄疸。ERCP从远端CBD进行刷检,细胞学检查显示除胆管细胞外还有嗜酸性浸润。 The steroids were escalated to 2 mg/kg with reduction in AEC to 195/µL. The child was doing well on follow-up but unfortunately while returning to home after follow-up consultation he met road-side traffic accident and died on spot.
图1:(1A) CECT显示扩张的肝内胆管根和扩张的CBD,壁增厚;
(1B) CECT显示胰腺头体积大;
(1C) MRCP图像显示CBD中下部扩张,近下部狭窄;
(1D) ERCP:透视图像显示CBD中下部扩张,近下部狭窄。内窥镜是可见的。
组织嗜酸性浸润在特发性高嗜酸性粒细胞综合征(IHES)中很常见,我们的[2]患者就注意到了这一点。14-53%的IHES病例中发现GIT受累,而约30%的患者[3]发现肝脏受累。GIT的嗜酸性受累通常表现为腔内器官[4]受累。胆道和胰腺系统的累及是不寻常的。在目前的病例中,我们报告了一个胆道系统和胰腺合并受累的儿科患者,通过胆道支架和以减少嗜酸性粒细胞计数为目标的治疗进行管理。嗜酸性胆管病是一种罕见的疾病,它与胆管癌、原发性硬化性胆管炎、自身免疫性(IgG4相关)硬化性胆管炎等较为常见的胆管疾病相混淆。最常见的表现是腹痛和黄疸。三分之二的患者有与指示病例相关的外周嗜酸性粒细胞增多症。一些[4]患者的治疗包括使用类固醇和手术。早些时候,有报道称一名13岁的儿童患有嗜酸性胆管病,但在儿科年龄并发嗜酸性胰腺炎尚未见文献报道[5,6]。 Although eosinophilia may occur in relation to any pancreatitis, eosinophilic pancreatitis is usually the result of infiltration of the pancreatic tissue with eosinophils resulting in pancreatic injury [7]. Eosinophilic pancreatitis usually manifests in the form of a pancreatic mass and may present with jaundice and abdominal pain [8]. On occasion the presentation may be in the form of focal pancreatic involvement without an elevated peripheral eosinophil count [9].
总之,嗜酸性胆管病和胰腺炎是胃肠疼痛和黄疸的罕见条件。诊断的线索通常来自升高的AEC。在早期进行诊断的情况下,可以避免手术干预,因为对类固醇的反应是优异的。这种情况还突出显示,在逐渐变细,因为AEC增加可能导致临床表现的逐渐变细胞固醇。
在此下载临时PDF
文章类型:案例报告
引用:Goyal R, Debi U, Prasad KK, Sharma V, Thapa BR(2016)由于嗜酸性胃肠炎并发嗜酸性胆管病和胰腺炎:一种罕见的实体。J胃失调2(4):doi http://dx.doi。org/10.16966/2381 - 8689.126
版权:©2016 Goyal R等人。这是在创意公约归因许可的条款下分发的开放式文章,其允许在任何媒体中不受限制地使用,分发和再现,只要原始作者和来源被记入。
出版的历史:
所有Sc德赢娱乐国际i Forschen期刊都是开放获取的