胃疾病和治疗- sci Forschen德赢娱乐国际

全文

评论文章
胃癌治疗方法

Serra Kayacetin

土耳其安卡拉努穆尼培训和研究医院病理科

*通讯作者:Serra Kayacetin,土耳其安卡拉Numune培训和研究医院病理部,E-mail: skayaetin@gmail.com


摘要

实际上,所有的胃癌都起源于小凹(干/基底)细胞。这一领域最重要的发展是检测已经证实的在慢性胃炎的发展中起着重要的病因作用。在大多数病例中,它们在肠化生和慢性萎缩性胃炎的基础上发展,并由不同阶段的不典型增生、原位癌和癌引起。胃癌的发病率呈地域差异分布。特别是在日本、哥伦比亚等一些国家,胃癌的发病率要高于其他国家。

早期患者多无症状。胃癌向胃壁深处扩散。胃癌分为早期胃癌和晚期胃癌。根据腺体方向分化程度进行腺癌组织学分级。疾病分期、淋巴结状况、肿瘤组织在胃壁的渗透程度是决定预后的重要因素。影响胃癌预后的因素有:浸润深度(粘膜、粘膜下扩散、胃壁)、淋巴结转移、病变大小。

胃腺癌患者的5年生存率平均为10-15%。近年来,内镜下黏膜切除术在早期胃癌治疗中的应用越来越广泛,其预后良好。在内镜检查前应仔细检查超声内镜,以确保这些病变没有超出黏膜下层。在没有任何治愈手术机会的晚期胃病人,多种多样的化疗方案被尝试。

关键字

胃肿瘤;病原学;发病机理;分类

一般特征

胃癌的发病机制和环境因素密切相关[1]。在某些国家,如美国和英国,胃癌的发病率明显下降,但在其他国家,如日本、智利和意大利,胃癌的发病率则明显上升[2,3]然而,越来越多的证据表明,遗传易感性可能起着重要作用,因为在大约10%的病例中,该疾病被视为家族性疾病[4]。

许多患者年龄在50岁以上,但也有报道年龄更小,甚至小儿病例[5,6]。在非常年轻或老年人中出现的病例与在正常年龄组[7]中出现的病例相比,表现出临床病理差异。

在实践中,所有的胃癌都起源于小凹(干/基底)细胞。在大多数病例中,它们以肠上皮化生和慢性萎缩性胃炎为基础,并由不同阶段的不典型增生、原位癌和[8]癌引起。尽管有人认为有些病例是由异型胰腺组织或粘膜下囊肿引起的,这些囊肿与胃壁上的其他上皮相吻合,但[9]是一种非常罕见的情况。

85% ~ 90%的胃癌伴有低氯酸钠。人们普遍认为,高胃内pH有利于细菌的产生,这些细菌会将饮食中的硝酸盐还原为亚硝酸盐,然后在亚硝酸盐存在的情况下,将饮食中的胺转化为致癌的n -亚硝基化合物[10-13]。慢性萎缩性胃炎和胃癌同时存在是常见的,但两者之间的病因联系和存在第一种恶性肿瘤的相对风险仍然存在争议。这同样适用于恶性贫血;虽然在这种情况下,癌的发展率在统计学上有所增加,但还没有普遍到建议密切观察无症状患者[15]。

这一领域最重要的发展是检测已经证实的在慢性胃炎的发生发展中起重要的病因作用[16-18]。

虽然上述肿瘤类型具有流行病学特征和序列特征,但被认为仅代表一种,尽管是最普遍的胃癌类型。Lauren[19]将此肿瘤定义为肠型腺癌。另一种类型,即弥漫性癌,则不具有上述相关性,似乎与环境因素[20]关联的可能性较小。事实上,已经证明肠道型腺癌是高危地区的主要形式。而且,当一个社会的胃癌发病率下降时,[21]首先开始下降的正是这种显微镜下的类型。

其他被认为参与胃癌发病机制的因素(虽然在少数)是胃息肉、胃内窥镜病、消化性溃疡病和残胃[22]。

对于年轻的患者其他恶性肿瘤,胃癌病例报告的放疗和化疗[23]以下。有时胃腺癌与食管鳞状细胞癌[24]同时看到。

胃腺癌的一些情况下用EBV(淋巴样)相关联;这种情况发生的频率变化从在日本和欧洲6-7%,以在美国16%。EBV是男性高于女性,并在一些国家比其他人更普遍。这是一个规则,EBV在发现淋巴样肿瘤[25]。当它,它被看作是早独立的Bcl-2的表达的情况下和p53 [26]的积聚。

流行病学

胃癌在男性中是第二大癌症,在女性中是第四大癌症。胃癌发病率具有地域差异,分布不均匀。特别是在日本、哥伦比亚等一些国家,胃癌的发病率要高于其他国家[2]。日本的发病率是非洲许多地区的10倍,是北美的65倍。发病率高的地方有:芬兰、波兰、冰岛、俄罗斯、智利、中国和日本[28]。发病率较低的地方是:印度和乌干达。美国发病率约为9.6/100.000,日本男性为78.8/100.000,女性为46.3/ 1000000。这是一种最常见的癌症,是土耳其男性中第二常见的癌症,女性中第六常见的癌症。在土耳其发现的癌症类型中,胃癌在男性中占8%,在女性中占6%。土耳其男性胃癌死亡率为8-9/10万,女性为4-5/10万。 Interestingly, in societies that migrate from high risk areas to low risk areas, the risk of gastric cancer in the migrating society decreases to the level of the local community starting from the second generation. The reverse is also true, that is the societies that migrate from low risk areas to high-risk areas start to have an incidence that increases and becomes gradually similar to that of the recipient area. In some countries the risk of gastric cancer is higher in rural areas and it decreases with the urbanization. Apart from geographical difference, there is an apparent relationship between socio-economic status and gastric carcinoma. The incidence and mortality are 3 times higher in lower socioeconomic classes than the higher ones. Gastric cancer is mostly a problem of developing countries rather than the industrialized countries [30].

病因

一般来说,慢性萎缩性胃炎的评估包括恶性贫血、肠化生、增生性胃病(Menetrier病)、慢性消化性溃疡、部分胃切除术、胃息肉、癌前病变和病情[31-33,10]。

幽门螺旋杆菌:幽门螺杆菌感染可引起慢性胃炎、萎缩、肠上皮化生、发育不良,是癌症形成的基础。幽门螺杆菌被WHO[34]定义为致癌物。

慢性萎缩性胃炎:它作为一种癌前病变,在胃癌的发病机制中居于首位,尤其是肠型[35]。

恶性贫血:恶性贫血患者癌发病率的增加与萎缩性胃炎和体和底部肠化生的频率有关。

meneterer病(增生性胃病):Menetrier病是一种胃病,以低白蛋白血症为特征,是由于胃表面(buraya bir isim gelmeli- örneğin萎缩,破坏,损害vb)和小窝上皮衬里增生而引起的粘液分泌过多和低酸酐症。有内窥镜疾病的人患胃癌的风险增加。

肠上皮化生:与胃癌一样,肠上皮化生的发病率随年龄的增长成比例增加。在弥漫性肠型癌中,这种不同年龄层的差异更为常见和广泛。肠化生的分类通常根据化生上皮细胞的形态和细胞产生的粘蛋白类型来进行。完全型与正常小肠黏膜相似,有刷状边缘吸收细胞和杯状细胞,并含有唾液酸。不完全肠化生有两种亚型,分别由杯状细胞和柱状细胞组成,可产生多种粘蛋白类型。它们被分为IIa型和IIb型两个子组。IIa型也被称为杯状细胞化生,其特征是细胞分泌未硫酸盐粘蛋白。这些细胞类似于正常的胃细胞。IIb型由分化更强的细胞组成,主要分泌磺粘蛋白。这种类型的化生与最高的癌症风险[36]有关。

胃溃疡:慢性良性溃疡实际上不会癌变,尽管一些依赖于癌症的溃疡可能具有良性特征并对药物治疗有反应。胃溃疡必须通过内镜活检进行组织学区分。即使第一次活检是阴性的,也应该在治疗后重复活检,溃疡的状态应该重新内镜下评估。

部分胃切除术:胃部分切除术后,残留的胃粘膜、气孔及靠近气孔的区域容易迅速发展为胃萎缩,最终形成肠上皮化生。

腺瘤性和非腺瘤性胃息肉:胃粘膜息肉的类型依次为底腺息肉、增生性息肉和腺瘤性息肉。与其他胃上皮息肉(非肿瘤性)相比,腺瘤较少见。肿瘤的发病率在直径大于2厘米的腺瘤中较高。腺瘤是癌的前体病变,也常与胃癌并存。因此,当发现胃腺瘤时,应将其完全切除,并彻底寻找是否伴有其他病变[37,38]。

遗传性息肉病及胃息肉:由于家族性息肉病综合征患者发生胃癌所需的时间和实际发生胃癌的风险并没有足够的资料,因此应全部切除息肉。

胃上皮不典型增生:虽然大多数源自各种原因的轻度异常会消退,但在中度和重度异常增生中,癌风险随异常增生的严重程度而成比例增加。因此,对于不典型增生的病例需要进行定期的内镜活检。

遗传因素:基因突变、CD44的不同拷贝、p53和c-met基因的改变是两种类型癌的共同特征,也是帮助早期癌诊断的重要症状[39](表1)。

表1:胃癌的危险因素

据观察,吸烟、饮食习惯、食物储存和烹饪方法也会影响患胃癌的风险。例如;蛋白质营养不良、盐摄入量过多、烟熏食物、硝酸盐和胆汁酸等化学刺激物都与胃癌风险增加有关。幽门螺杆菌感染是胃癌发生的重要因素。少吃水果蔬菜和恶性贫血也是胃癌的病因[40,41]。

在过去15年中,胃癌(贲门腺癌)的发病率有所增加。在阵发性(?)腺癌中,5年生存率低于其他部位。在胃癌诊断过程中,种族和性别不影响生存率和肿瘤的扩散。

发病机理

幽门螺杆菌的感染、饮食习惯、胃微环境的变化是胃癌发病的基础。幽门螺杆菌是近年来讨论最多的因素之一。一般认为,幽门螺杆菌开始了多阶段的癌变,并导致进行性慢性萎缩性胃炎和发育不良改变。另外,幽门螺杆菌感染的人中只有少数人发生胃癌,提示可能有其他致癌因素。在从H.pylori开始的致病过程的进一步步骤中,微卫星不稳定和基因改变(p53和APC/ β-Catenin)发挥作用。幽门螺杆菌通过参与许多步骤引起上皮细胞发育不良,如胃上皮DNA的突变,增加氧自由基,改变白细胞介素水平,减少细胞保护物质,和改变的胃微环境(图1)。据估计,感染胃癌的风险是普通人群的4倍。

图1:幽门螺杆菌引起上皮细胞发育不良。

由恶性贫血等疾病或部分胃切除术等手术引起的次氯酸病,其特征是厌氧细菌在胃内过度积聚(图2)。大多数厌氧细菌会增加胃内亚硝酸盐、n-亚硝基化合物和胆汁酸浓度;它们也增加了慢性胃炎和胃癌基础上的不典型增生的可能性。

图2:胃癌的多步发病模型

H.pylori抑制COX-2 (cycloxygenase -2)细胞增殖与凋亡之间的平衡,抑制凋亡,并在感染粘膜内异常表达(图3)。在H.pylori阳性胃炎、癌前病变和胃癌[42]中检测到COX-2过表达。结果表明,在根除幽门螺杆菌[43]1年后,COX-2表达降低。这些发现可能表明COX-2表达在胃癌发生中的早期作用。

图3:幽门螺杆菌感染会使慢性感染的风险增加5-6倍。

病理

胃癌一词包括所有胃的恶性上皮性肿瘤。然而,这个术语经常和腺癌互换使用,腺癌是最常见的胃癌。胃癌可发生在胃的任何部位,早期和晚期胃癌多见于胃窦和胃小弯。胃癌最常见于远端1/3节段,其次为近端1/3节段。多个灶同时发生的胃癌并不少见,早期胃癌多发灶比晚期胃癌多见。

胃癌向胃壁深处扩散。早期胃癌和晚期胃癌分为:早期胃癌是指恶性细胞局限于粘膜和/或粘膜下层,而不考虑淋巴结是否累及(图4和图5)。早期胃癌是一种病理学术语。这个术语并不一定要与临床早期、未扩大、无症状、小的、可治愈的胃癌同义。这是因为即使早期胃癌通常是无症状的,一些病例可能有非特异性的症状,其他一些病例的淋巴结累及可能相对广泛,尽管罕见。

图4:早期胃癌局限于粘膜/粘膜下层,淋巴结(+/-)癌(外肌层)。

图5:进展期胃癌:浸润深度大于粘膜下层。

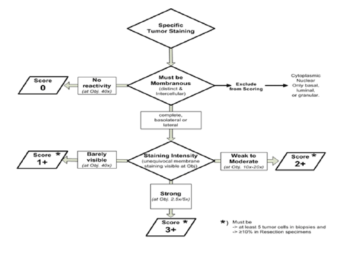
图6:免疫组化染色强度

在欧洲和北美有5%到16%的胃癌,在日本有20-40%的胃癌在早期被诊断为[44]。

早期胃癌宏观上分为三种类型:

I型(状):肿瘤从胃粘膜向腔内隆起。肿瘤可能有息肉样、结节状或绒毛状外观。

II型(flat-superficial):肿瘤可在粘膜表面肿胀、凹陷或呈鳍状排列。它被分为三个子组。

花絮:肿瘤向腔内轻微隆起。IIb:肿瘤是在与环境粘膜表面相同的水平。IIc:肿瘤比周围粘膜表面凹陷更多。

类型III(空心):其外观类似于慢性消化性溃疡。肿瘤位于溃疡边缘或溃疡下方。

I型和II型组织学分化良好;IIb型、IIc型培养基及不同程度分化组织学;而III型则为高比例的低分化或未分化的组织学[45]。

大多数情况下,位于远端胃[46]。病变是在平均的情况下,10%(在美国为17%,在日本8%,并在欧洲0-15%)的切除标本多中心。发现同时双胃癌拥有的一项研究13%的发病率;因此,前围术期评估应详细做。多中心损伤通常在男性(男性/女性比率7/1)的胃1/3远端部分,更普遍更频繁,更常见在凸出和分化的类型。案件有60%组织学上区分,40%是未分化的。宏观上,早期胃癌20%病例是凸出的,80%是凹陷型的。浅表类型是非常罕见的。宏观类型早期胃癌的不同因国的发生率;III型是在美国最常见的形式,而类型的IIc(30%)是日本最常见的形式。 Overall the incidence of lymph node metastasis in early gastric cancer is 7.5-10%.

7.5-10%的粘膜癌发生淋巴结转移,3%的胃周受累,0.5%的胃外受累。粘膜下癌的淋巴结转移发生率为12-19%,胃周转移14%,胃外转移5.1%。

  • 早期胃癌并不等同于Ca原位
  • 一些早期癌可累及非常大的粘膜(面积大于10厘米)。
  • 晚期胃癌是浸润到肌层和绒毛膜下的癌。
  • 所有的癌症都始于早期病变,然后发展为晚期病变。
  • 早期和晚期胃癌均表现出3种宏观生长模式;

外生型的 .......................,突出

平或沉.............它是平坦的,升高的,或凹陷的

带酒窝的 ................这是挖掘

本地化胃癌

幽门窦= 50 - 60%

贲门= 25%

语料库/眼底= 15%

小曲率的40%,大曲率的12%

小曲率定位是最常见的向幽门区!

淋巴结受累指标:a.病变是否在粘膜内b.病变是否小于2cm c.如果不是I型,IIa型,IIb型,IIc型,不含溃疡。如果是组织学分化的,淋巴结转移发生的较少。

晚期胃癌肿瘤细胞通过所有层向浆膜转移。这些类型的癌可以从宏观上分为4种类型。(Borrmann分类)(图2):

I型(息肉样癌):肿瘤表现为一个大的无柄息肉,穿过胃腔,并有溃疡或糜烂。

II型(ulcero-carcinoma):肿瘤浸润深部组织或位于胃壁两侧,并有溃疡。

类型III (ulcero-infiltrative):肿瘤直径2-8厘米,边缘上翘不规则。它有广泛和深的溃疡侵袭胃壁和病变的侧面。

IV型(弥漫性浸润癌):肿瘤可覆盖胃的大部分或全部。胃粘膜毛可能被擦除,可见浅表溃疡和向管腔膨出型结节。胃壁见肿瘤所在区域弥漫性增厚,灵活性降低[8]。

目前,远端胃癌的发病率在下降,而近端胃癌的发病率在不断增加。目前,贲门癌占所有胃腺癌的50%。

肉眼检查
  1. 脂类(植物)型:位于体和眼底。
  2. 溃疡性:位于小曲度。
  3. 浸润性:局部或弥漫性发生(塑性Linitis plastica)。晚期以塑性弥漫性淋巴结炎的形式转移到周围淋巴结。

晚期胃癌可分为四种肉眼可见的类型。(Borrmann分类)

  1. 息肉状
  2. 溃疡性
  3. 合并型溃疡-浸润性
  4. 弥漫性浸润型(塑性Linitis plastica)

主要的预后因素是胃壁厚度,扩散到淋巴结和存在远处转移。

胃癌的组织学类型
  • 腺癌
  • 乳头状腺癌
  • 管状腺癌
  • 粘液腺癌
  • 印戒细胞腺癌
  • Adenosquamous癌
  • 鳞状细胞癌
  • 小细胞癌
  • 未分化癌
  • 其他[47]
显微镜

95%是腺癌。

腺病毒Ca:它可能具有良好的、中等的和低分化的组织学类型。乳头状和腺状排列的类型分化良好。这些逐渐减少是分化丧失的标志,暗示预后不良。

胃癌在显微镜下分为两种:肠型和弥漫型(劳伦分类)。肠型预后较好。弥漫型在细胞学上分化程度较低,可含有印戳。早期胃癌仅限于粘膜和粘膜下层。早期胃癌表现为无症状的可治疗病变。进展到粘膜肌层的肿瘤称为进展期胃癌[38]。

腺癌组织学分级:根据腺体方向分化程度制作。

肿瘤中腺体结构占肿瘤肿块比例大于95%为高分化,50-95%为中等分化,5-49%为低分化。有时肿瘤可能表现出不同的分化程度,在这种情况下,应按最晚期分级。

劳伦分类
  • 肠型(分化良好):溃疡性或息肉样,管状,乳头状。
  • 弥漫型(低分化):间变性,粘液腺癌,印戒细胞。

肠道类型以形成管状结构腺的趋势为特征,恶性细胞模仿肠腺。这些肿瘤通常分化良好或中等。这种类型更多地与男性的环境和饮食风险因素有关,并在发病率高的地区有出现的趋势。化生或慢性胃炎时可见。它们常发生在老年患者,并有通过血液传播到远处器官的趋势。

扩散型缺乏规律的腺体发生;通常分化差,含有几个印戒细胞。弥漫性肿瘤多见于女性和无胃炎史的年轻患者;它们通过跨壁或淋巴传播。它与家族性病例有关,并被认为有遗传病因。腹膜内转移是常见的。弥散型似乎与肥胖有关。它也与A型血[38]有关。

癌基因激活、抑癌基因失活、细胞粘附减少是与腺癌相关的遗传变化。当P53和p16抑癌基因在胃癌中失活时,大肠腺瘤性息肉病(APC)基因突变在肠型中更为明显。细胞粘附分子E-钙粘蛋白的减少或丢失见于50%的弥漫型。

免疫组织化学
  • MUC1;肠道类型
  • MUC5AC,MUC6;弥漫型
  • MUC5B;未分类类型(48岁,49)。
粘蛋白类型与肿瘤部位的关系:

MUC2;贲门

MUC5AC;腔ca

90%的CDX2病例(从胃表型转化为肠表型)为普遍性

80%的Hep Par-1呈[50]阳性。

分子病理学
LOH
  • 在3p, 4,5q - 30-40% APC位点
  • 6q, 9p, 17p- 60% DCC位点
  • 20问

MSI为13-44%,

MSI是阳性的晚期阶段肠型癌症。

MUC6,CTNN2,GLI3;RNF43的;在弥漫型14%,肠0%

TGF β =弥漫性,肿瘤发生

TP53基因
  • 等位基因损失60%
  • 30-50%的病例有突变
  • 在肠上皮化生
  • 没有预后价值[51]。
钙粘蛋白
  • 表达减少=短的“生存”[52,53],
  • 低MicroRNA (miRNA)=预后不良

许多生长因子上调已被证明在胃癌。已知的是,C-erbB2的/ neu的(HER2)是用于预后和治疗[54]的一个重要指标。

ERBB2 EGFR2 (HER2)

扩增率为7-34%或超过表达的15%,小肠型为25%。

正她的预后?[55]

HER2 (c-erbB2/neu)-人表皮生长因子受体2

来自EGFR家族的跨膜受体酪氨酸激酶。

目前还没有明确的配体。

HER2 / neu;免疫组化染色强度(图6)

原位杂交(ISH)

2-3(4)µm切口

福尔马林固定,石蜡包埋组织块

合适的固定时间:12-24小时

“荧光/铬精”

将标记探针杂交到17表面的特定基因区域是Her2/neuTH.染色体。

基因markers-预后

c - erbb B2过度受累提示预后不良。

Ras基因主要在肠型中表达。

C-myc与侵袭和腹膜扩散有关。

CEA、CA19-9、DNA倍性测定、细胞增殖指数测定预后

P53高度是[56]预后不良的标志。

淋巴结扩散伴肿瘤穿透:随着肿瘤深度的增加,更多的淋巴结被转移:

  • 粘膜<5%
  • 黏膜下层有20%
  • 肌层固有层40%
  • 浆膜下的70%
  • 绒毛膜90%
胃癌的扩散
  • 直接
  • Intramura
  • 淋巴- Virchow左腋窝淋巴结(爱尔兰)
  • 血行:按发病顺序——肝、肺、骨、脑、皮
  • 腹膜移植
  • 布鲁默直肠货架(在直肠的前部)
  • 卵巢Krukenberg ()
  • 腔间植入
  • 术后植入
  • 其他器官如肺、脑和乳腺参与疾病的频率较低[57]。
诊断

尽管有先进的诊断程序,但在胃癌的早期诊断方面还没有取得重要进展。

发现早期病例的唯一机会是适当和及时地使用内镜方法。因此,年龄大于中年的患者如果出现消化不良症状,对药物治疗无反应,贫血,体重显著下降,应立即进行内镜检查。当内镜检查中发现胃溃疡时,至少要对溃疡周围进行7-8次活检。

早期胃癌研究常规生化检查可能是正常的。生化试验也可能是晚期病人正常的,但是,被观察的通常因失血缺铁性贫血。根据在肝脏酶的肝脏受累下降可以看出。在箱子20-60%CEA,在箱子CA19.9的25-50%,和在35%的病例CA72.4是正的。肿瘤相关抗原(2H6-抗原)在早期胃癌(I和II)的非常高的百分比(65%)被发现。对于CA19.9相应比率为25%。2H6的电平由12逐渐减小TH.术后一周。CA19.9 + 2H6联合抗原可能是一个有用的早期诊断标志物。

内镜与放射学诊断方法:特别是随着柔性内镜的发展,胃癌的早期诊断有了显著提高。多次活检的诊断率95%以上[58]。细胞学检查的细胞取样也可以用内窥镜刷完成。染色技术(染色镜)可以帮助内镜诊断早期胃癌。

双对比钡剂造影对诊断有价值,但为了提供诊断,必须辅以内镜检查。特别是数字放射照相的灵敏度约为75%;它的特异性约为90%。

经腹超声检查可检出肿瘤及淋巴结,准确率为40% ~ 65%。

超声内窥镜检查是近年来发展起来的一种诊断方法,并日益得到推广。它对早期胃癌的区域淋巴结转移和肿瘤浸润深度的检测有重要意义。超声内镜对肿瘤侵犯的诊断准确率为80%;T1和T2肿瘤的区分准确率为90-99%。

包括计算机断层扫描、螺旋断层扫描和动脉造影在内的各种方法用于肿瘤分期和预测。计算机断层扫描对晚期癌症的敏感性为65-90%,而对早期癌症的敏感性则降低到50%。计算机断层扫描还可检测肿瘤分期60-70%、淋巴结分期40-70%、腹膜淋巴结分期70%%和肝转移瘤,准确率分别为60%。磁共振成像的准确率相似。

暂存

胃癌手术切除后影响生存率的因素有肿瘤浸润程度(壁深)、淋巴结浸润程度和远处转移。胃癌采用TNM分期,分为4期[59]。

我阶段:肿瘤可局限于粘膜、粘膜下层、肌层或浆膜。无区域淋巴结受累。t0 n0 m0 t2 n0 m0 t3 n0 m0

第二阶段:胃壁广泛受累,或在胃壁受累的任何水平有胃周淋巴结转移。T4 N0 M0, Tx N1, M0。

第三阶段:除胃壁受累外,距原发肿瘤3cm处的淋巴结也受累。Tx N2 M0。

第四阶段:有远处转移。Tx Nx M

TNM分类

  • T1肿瘤累及黏膜及黏膜下层。
  • T2肿瘤累及固有肌层,可达绒毛膜,但未见侵犯。
  • T3肿瘤浸润浆膜。邻近的器官和组织不受影响。
  • T4肿瘤穿过绒毛膜,周围脏器及组织受累。
  • N0没有淋巴结受累。
  • N1胃周淋巴结通过大曲或小曲距病变最多3厘米。
  • N2区域淋巴结与原发肿瘤的距离大于3 cm。但是,这些淋巴结可以通过手术切除。它们位于左侧胃壁、脾脏、肝总动脉和腹腔动脉周围。
  • N3其他腹腔内淋巴结受累。并非所有这些腺体都能在手术中切除。
  • M0无远处转移。
  • Ml有远处转移。超出区域淋巴结的淋巴结也算作远处转移。
预后因素

疾病分期、淋巴结状况、肿瘤组织在胃壁的渗透程度是决定预后的重要因素。

虽然早期预后很好,但60%的病例在确诊时失去了根治性手术的机会。大多数患者的肿瘤处于III期或IV期。转移淋巴结的数量和浆膜浸润的程度对预后有不利影响。5年生存率IA期为90%,IB期为80%,II期为65%,IIIA期为50%,IIIB期为30%,IV期为5%[61]。

肠型肿瘤的预后优于弥漫性肿瘤[62]。肿瘤细胞的DNA倍性状况也影响预后,非整倍体肿瘤预后更差。此外,有报道称某些分子如癌细胞合成的葡萄糖转运蛋白-1,膜联蛋白,可溶性e-cadherin可用于预后评估。癌胚抗原弱染的胃癌预后较好。HLA DR4(+)患者的预后是否良好,一直存在争议。

影响早期胃癌预后的因素有:浸润深度(粘膜、粘膜下扩散)、淋巴结转移及病变大小。

五年存活率为87%时淋巴结受累为负;15-25%,如果存在粘膜内蔓延+淋巴结受累;如果3-5%存在粘膜下蔓延+淋巴结受累。手术后Fiveyear生存与传播粘膜内的情况下90-95%;86%与粘膜下传播,并且66%的粘膜下蔓延+淋巴结受累。当谈到十年的生存,它是58-87%时淋巴结受累是积极的,82-97%时,负[57]。

其他胃癌症

胃淋巴瘤:它们在胃肿瘤中所占比例不到10%[63]。除淋巴结外,非霍奇金淋巴瘤最常见于胃。最常见的淋巴瘤类型是弥漫性组织细胞性淋巴瘤。症状与腺癌相似。

肉眼可见息肉样、溃疡或浸润。诊断是通过内镜活检。大约95%的患者可以在早期进行手术治疗。80%以上的病例可予根治性切除。5年生存率在IE期约为80-95%,IIE期约为40- 75%,IIE期约为10-30%,IV期约为5-8%。如果不能进行手术,则建议进行放疗。手术、化疗和放射治疗在晚期尝试。

麦芽型淋巴瘤与H.pylori关系密切。其中一些病人正在接受根除幽门螺杆菌的治疗。然而,治疗的有效性并不是确定的长期。放疗对MALT淋巴瘤也是有效的[64]。

胃肉瘤:它覆盖了13%的胃恶性肿瘤。最常见的类型是平滑肌肉瘤,而血管肉瘤、纤维肉瘤、脂肪肉瘤较少见。肉瘤通常以腺癌的形式出现在50岁以上的人群中;第一个症状可能是大出血。建议广泛切除。手术切除的患者5年生存率约为35-50%。

转移性胃肿瘤:首先,当非胃恶性肿瘤患者出现恶心、呕吐、疼痛或出血等与上消化道系统相关的症状时,应进行检查。恶性黑色素瘤的转移是最常见的转移性胃肿瘤。艾滋病患者也可发生肺、肝、卵巢、睾丸、结肠癌转移,以及卡波西肉瘤的胃转移[65,66]。

胃类癌:这些肿瘤非常罕见;它们来源于胃肠道系统中的肠嗜铬细胞。百分之三的胃肿瘤位于胃内。由于血清素和组织胺的分泌,可能会出现面部潮热、心动过速、腹泻、疼痛、恶心等症状。所有类癌都具有潜在的恶性,并可能转移到远处。小于2cm的肿瘤可以通过内窥镜或有限的手术切除。较大的病灶需要大范围手术。对于不适合手术或有远处转移的患者应尝试化疗。5年存活率约为50%[67]。

良性肿瘤

胃息肉:这是很少见的。它们是腺瘤性或增生性上皮病变。绒毛状腺瘤癌变的风险尤其高。它们可能引起非特异性的消化不良症状;他们可能会出现出血或梗阻性症状。胃息肉患者多有胃酸血症。萎缩性胃炎、恶性贫血和胃癌的发病率在这些病例中增加。胃息肉见于息肉病综合征,如Gardner、Peutz-Jeghers和cronkite - canada综合征。

胰腺残留:它们是罕见的,并以胃内异位胰腺组织为特征。可能表现为出血、梗阻或胰腺炎。治疗方法是手术切除。

转移性胃癌:其他器官癌的胃转移很少见。最常发生转移的恶性肿瘤有:乳腺癌、恶性黑色素瘤、淋巴瘤和白血病。

其他组织学类型:神经内分泌肿瘤组织学上分为高分化(嗜银细胞肿瘤、肠嗜铬细胞样肿瘤和G细胞)、低分化(神经内分泌癌)和混合型(腺性神经内分泌癌)。胃壁细胞腺癌、肝样腺癌、绒毛膜癌、淋巴上皮样癌等多种细胞类型的肿瘤虽然少见,但也可在胃中发现[63]。

临床出席ı上

早期患者多无症状。症状通常是由于肿瘤完全侵犯胃壁或阻止食物在胃内流动。也可能发生在邻近器官侵犯后。从临床症状出现到确诊平均有6-9个月的时间。胃癌最常见的症状是厌食症、体重减轻、持续性消化不良和乏力。此外,可能有胃灼热、肿胀、恶心和呕吐。疼痛有时可通过进食或抗酸剂缓解。贲门癌中可能出现类似心绞痛的疼痛。此外,吞咽困难和呕吐是该区域肿瘤的常见表现。胃癌常因隐匿性出血引起贫血。 Hematemesis or melena are only seen in 5% of cases. There is palpable mass in the gastric in half of the gastric cancer patients. 10% of patients present with metastasic signs such as sacites, anemia, and pleural fluid. Palpable mass with rectal and vaginal examination shows Blumer shelf or Krukenberg tumor.

治疗

胃腺癌患者的5年平均生存率为10-15%。这一数字在早期胃癌中更高,但这些可以手术的病例仅占所有病例的5-16%。由于疾病的早期或手术风险,约15%的确诊患者不能进行手术。剩下的患者中,只有85%的患者可以进行根治性切除术。其余患者可进行姑息手术、旁路手术或活检。近年来,内镜下黏膜切除术在早期胃癌治疗中的应用越来越广泛,其预后良好。辅助化疗有助于减少全身和局部复发的患者,特别是淋巴结累及术后。在没有任何治愈手术机会的晚期胃患者,尝试多种多样的化疗方案(丝裂霉素C、5-FU、顺铂和依托泊苷、阿霉素、顺铂方案)。研究支持术后早期化疗的应用。新辅助化疗对死亡率和发病率的贡献尚未得到证实。 The role of radiotherapy in the treatment of gastric cancer is very limited. It can provide an increase in the palliation of symptoms and survival when it is used along with chemotherapy in locally advanced cases. Surrounding tissues cannot tolerate radiation so much because of the localization of the stomach. Therefore, limited use with other treatment options might be an option in advanced stages. Surgical treatment of early gastric cancer had been done until 20 years ago. Nowadays, however, endoscopic mucosectomy (submucosal resection) has replaced it. Thus, it is understood that lesions are curatively treated without proceeding to surgery. Mucosectomy is indicated if tumor is smaller than 2 cm, superficial, and well differentiated. It should be carefully examined with endoscopic ultrasonography before the endoscopy to ensure that these lesions are not overflown outside submucosa [57].

参考文献
  1. 陈志强,陈志强(1996)胃癌的流行病学。Semin Oncol 23: 281-291。[参考。
  2. Wu H, Rusiecki JA, Zhu K, Potter J, Devesa SS(2009)美国胃癌的组织学类型和解剖位置。癌症流行病学生物标记Prev 18: 1945-1952。[参考。
  3. Noguchi Y, Yoshikawa T, Tsuburaya A, Motohashi H, Karpeh MS, et al.(2000)日本和美国的胃癌是否不同?癌症89:2237 - 2246。[参考。
  4. 胃癌的遗传因素。没有94:229 - 233。[参考。
  5. Dupont JB Jr, Lee Jr, Burton GR, Cohn I Jr(1978)胃腺癌。审查1,497个案件。癌症41:941 - 947。[参考。
  6. 在年轻人群中胃癌的独特特征:基于人群的分析。83年癌症:男性。[参考。
  7. 荒井T,田洼K(2007)临床病理和老年人中的胃和结肠直肠癌的分子特性。病理学诠释57:303-314。[参考。
  8. Hu B, El Hajj N, Sittler S, Lammert N, Barnes R, et al.(2012)胃癌的分类、组织学及分子病理学研究。J胃肠试验3:251-261。[参考。
  9. Iwanaga T, Koyama H, Takahashi Y, Taniguchi H, Wada A(1975)胃粘膜下弥漫性囊肿与胃癌。癌症36:606 - 614。[参考。
  10. Bosman FT, Carneiro F, hurban RH, Theise ND(2010)世界卫生组织消化系统肿瘤分类,第四版。里昂:研究。[参考。
  11. 笹岛K,川地T,松仓N,佐野T,杉村T(1979)肠化生和大鼠的由N-丙基-N'-硝基Nnitrosoguanidine胃腺癌引起的。癌症杂志RES临床ONCOL 94:201-206。[参考。
  12. Mirvish SS (1995) n -亚硝基化合物(NOC)和n -亚硝化在胃癌、食管癌、鼻咽癌和膀胱癌病因学中的作用以及已知NOC暴露对癌症的贡献。巨蟹座93:17-48。[参考。
  13. 当唾液遇到酸:食管胃交界处的化学战。肠道54:1 - 3。[参考。
  14. Hill MJ(1984)胃癌的病因学。clininoncol 3:237 - 249。
  15. Schafer LW, Larson DE, Melton LJ III, Higgins JA, Zinsmeister AR(1985)恶性贫血患者发生胃癌的风险。明尼苏达州罗切斯特市的一项基于人口的研究。梅奥诊所60期:444-448。[参考。
  16. 罗博列夫斯基,Peek RM Jr, Wilson KT(2010)幽门螺杆菌与胃癌:调节疾病风险的因素。临床微生物学报告23:713- 739。[参考。
  17. Linz B, Balloux F, Moodley Y, Manica A, Liu H, et al.(2007)人类与幽门螺杆菌密切相关的非洲起源。自然445:915- 918。[参考。
  18. 幽门螺杆菌:流行病学与传播途径。流行病学回顾22:283-297。[参考。
  19. Lauren P(1965)胃癌的两种主要组织学类型。弥漫型和所谓的肠型癌。病理微生物学报64:31-49[参考。
  20. Stemmermann GN, Noumura AM, Kolonel LN, Goodman MT, Wilkens LR(2002)胃癌:多民族人群的病理发现。癌症95:744 - 750。[参考。
  21. Lauren PA, Nevalainen TJ(1993)肠型和diffüse型胃癌的流行病学。芬兰的一项时间趋势研究,比较高风险和低风险地区的研究。癌症71:2926 - 2933。[参考。
  22. Schaefer N, Sinning C, Standop J, Overhaus M, Hirner A, et al.(2007)残胃癌与原发性近端胃癌的治疗和预后比较。Am J Surg 194: 63-67。[参考。
  23. Brumback RA, Gerber JE, Hicks DG, Strauchen JA(1984)年轻淋巴瘤患者放疗和化疗后的胃腺癌。癌症54:994 - 998。[参考。
  24. Souquet JC, Berger F, Bonvoisin S, Partensky C, Boulez J,等(1989)食管鳞癌伴胃腺癌。癌症63:786 - 790。[参考。
  25. Iizasa H, Nanbo A, Nishikawa J, Jinushi M, Yoshiyama H (2012) eb病毒(EBV)相关胃癌。病毒4:3420- 3439。[参考。
  26. [陈金金,何东,唐芳,邵昌强(2012)eb病毒相关胃癌:一种新定义。美国临床胃肠病学杂志46:262-271。[参考。
  27. 土耳其共和国(2013)土耳其癌症注册。Turkiye用堪萨斯州İstatistikleri。[参考。
  28. Lynch HT, Grady W, Suriano G, Huntsman D(2005)胃癌:新的基因发展。外科医生90:114-133。[参考。
  29. Siegel R, naishaham D, Jemal A(2013)癌症统计,2013。贲门癌J临床63:11-30。[参考。
  30. 王涛(2009)胃癌生物学。施普林格。[参考。
  31. Sinning C,Schaefer N,Standop J,Hirner A,Wolff M(2007)残胃癌-流行病学和发病机制和治疗的当前概念。欧洲统计局33:133-139。[参考。
  32. Tokunaga M, Sano T, Ohyama S, Hiki N, Fukunaga T, et al.(2013)残胃癌与原发性上三分位胃癌的临床病理特征及生存差异。胃肠外科杂志17:313-318。[参考。
  33. Vannella L, Lahner E, Osborn J, Annibale B(2013)系统综述:恶性贫血患者胃癌发生率。Aliment Pharmacol Ther 37: 375-382。[参考。
  34. Lahner E,Annibale B(2013)信函:胃癌和恶性贫血——通常是伪装的幽门螺杆菌——作者的回复。营养药物疗法37:765-766。
  35. Correa P(1992)人类胃癌发生:一个多步骤和多因素的过程——第一届美国癌症协会癌症流行病学和预防奖讲座。癌症研究52:6735-6740[参考。
  36. 斯腾SS,米尔斯SE,卡特d(2010)斯腾伯格的诊断外科病理学。利平科特·威廉姆斯&威尔金斯。[参考。
  37. Zwick A, Munir M, Ryan CK, Gian J, Burt RW, et al.(1997) 1例腺瘤性大肠息肉病患者的胃腺癌和腺腺息肉发育不良。胃肠病学113:659 - 663。[参考。
  38. Hofgartner WT, Thorp M, Ramus MW, Delorefice G, Chey WY, et al.(1999)一例弱毒家族性腺瘤性息肉病患者的胃腺癌合并基底腺息肉。Am J Gastroenterol 94: 2275-2281。[参考。
  39. Joossens JV, Hill MJ, Elliott P, Stamler R, Lesaffre E, et al.(1996) 24个国家的膳食盐、硝酸盐和胃癌死亡率。欧洲癌症预防(ECP)和INTERSALT合作研究小组。国际J流行病学25:494-504。[参考。
  40. Shikata K, Kiyohara Y, Kubo M, Yonemoto K, Ninomiya T, et .(2006)在确定的日本人口中膳食盐摄入量和胃癌发病率的前瞻性研究:Hisayama研究。Int J Cancer 119: 196-201。[参考。
  41. Bergin IL, Sheppard BJ, Fox JG(2003)幽门螺杆菌感染和高盐饮食独立诱导了市售远缘蒙古沙鼠的萎缩性胃炎和肠上皮化生。Dig Dis Sci 48: 475- 485。
  42. (2004)文献综述:幽门螺杆菌与胃癌前病变的分子事件,食品药理学杂志20:261-270。[参考。
  43. 宋志杰,梁伟强,Go MY, To KF, Cheng AS,等(2000)环氧化酶- 2在幽门螺杆菌相关胃癌前和恶性病变中的表达。Am J Pathol 157: 729 - 735。[参考。
  44. Uedo N, Iishi H, Tatsuta M, Ishihara R, Higashino K, et al.(2006)早期胃癌内镜黏膜切除术后远期预后。胃癌9:88 -92。
  45. 日本胃癌分类:第3版。胃癌14:101-112。[参考。
  46. Powell J, McConkey CC(1990)贲门及邻近部位腺癌的发生率增加。[J]。[参考。
  47. An JY, Kang TH, Choi MG, Noh JH, Sohn TS, et al. (2008) Borrmann IV型:胃癌生存的独立预后因素。J胃肠外科杂志12:1364-1369。[参考。
  48. Namikawa T, Hanazaki K(2010)胃癌黏液蛋白表型与胃型分化腺癌的临床病理。世界胃肠病学杂志16:4634-4639。[参考。
  49. Pinto-de-Sousa J, Reis CA, David I, Pimenta A, Cardoso-de-Oiveira M (2004) MUC5B在胃癌中的表达与临床病理参数及MUC1、MUC2、MUC5AC和MUC6黏液蛋白表达的关系。处女拱门444:224-230。[参考。
  50. Chu PG, Weiss LM(2004)胃、乳腺和结肠印戒细胞癌的免疫组化特征。临床病理121:884-892。[参考。
  51. Correa P, Goldberg RM, Savarese DMF(2014)胃癌的病理和分子发病机制。最新式的。[参考。
  52. Huntsman DG, Carneiro F, Lewis FR, Macleod PM, Hayashi A,等(2001)年轻的早期胃癌,无症状携带种系E-cadherin突变。中华医学杂志344:1904-1909。[参考。
  53. 胃和胃食管腺癌。在:Mendelsohn J, Howley PM, Israel MA, Gray JW, Thompson CB (eds)癌症的分子基础,第3版,费城,桑德斯511-517。[参考。
  54. 约根森JT(2010)有针对性的晚期胃癌HER2治疗。肿瘤学78:26-33。[参考。
  55. Grabsch H, Sivakumar S, Gray S, Gabbert HE, Muller W (2010) HER2在胃癌中的表达:罕见,异质性,无预后价值-来自两个独立系列的924例的结论。细胞Oncol 32: 57-65。[参考。
  56. 基于肿瘤部位的基因检测:胃。癌症J18: 355 - 363。[参考。
  57. Edge SB, Byrd DR, Compton CC, Fritz AG, Greene FL, et . (Eds)(2010)美国癌症联合委员会。AJCC癌症分期手册,施普林格,纽约。[参考。
  58. Tatsuta M, Iishi H, Okuda S, Oshima A, taniguchi H(1989)胃纤维镜活检诊断胃癌准确性的前瞻性评价。癌症63:1415 - 1420。[参考。
  59. Katai H, Yoshimuro K, Maruyama K, Sasako M, Sano T(2000)国际抗癌联盟对胃癌TNM分期的评价。癌症88:1796 - 1800。[参考。
  60. Harrison JC, Dean PJ, Vander Zwaag R, el-Zeky F, Wruble LD(1991)胃腺癌,侵犯限于固有肌层。哀婉22:11 -117。[参考。
  61. Doekhie FS,Mesker WE,范Krieken JH,角NF,Hartgrink HH,等。在从胃癌患者的淋巴结(2005)隐匿性肿瘤细胞的临床相关性。牛J外科杂志病理学29:1135年至1144年。[参考。
  62. Adachi Y, Yasuda K, Inomata M, Sato K, Shiraishi N, et al.(2000)胃癌病理和预后:分化良好和分化差型。癌症89:1418 - 1424。[参考。
  63. Rosai J (2011) Rosai and Ackerman 's Surgical Pathology。爱思唯尔健康科学。[参考。
  64. Ohashi S, Segawa K, Okamura S, Urano H, Kanamori S, et al.(2000)胃黏膜相关淋巴组织淋巴瘤的临床病理研究。癌症88:2210 - 2219。[参考。
  65. 彩SH,希恩FR,Pickren JW(1964)由乳腺癌胃的转移性参与。巨蟹座17:791-797。[参考。
  66. Green LK(1990)胃血行转移。回顾67例。癌症65:1596 - 1600。[参考。
  67. (2)内分泌肿瘤的组织学分型。2nd世界卫生组织国际肿瘤组织学分类。施普林格,柏林。[参考。

在此下载临时PDF

PDF

条信息

文章类型:评论文章

引用:Kayacetin S(2016)途径胃癌。Ĵ胃Disord THER 2(2):DOI HTTP://dx.doi。组织/ 10.16966 / 2381-8689.119

版权:©2016 Kayacetin S.这是一篇开放获取的文章,在知识共享署名许可条款下发布,该条款允许在任何媒体上无限制地使用、发布和复制,前提是注明原作者和来源。

出版的历史:

  • 收到日期:2016年3月18日

  • 接受日期:2016年3月26日

  • 发表日期:2016年3月31日