胃疾病及其治疗德赢娱乐国际

全文

病例报告
膈神经阻滞用于治疗尼森眼底折叠术引起的持续性呃逆

普列托普加酒店*1莫雷诺J1.Guadalix霁2.费尔南德斯一世1.罗德里格斯·卡涅塔1.蒂托斯A1.洛佩斯B1.Bondia JA1.Santoyo J1.

1.西班牙卡洛斯哈亚大学地区医院普外科、胃肠病学和移植科食管胃科
2.麻醉服务,西班牙卡洛斯哈亚大学地区医院

*通讯作者:Prieto-Puga T,西班牙卡洛斯·哈亚大学区域医院肝胆胰管移植科,E-mail: prietopugaarjona.tatiana@gmail.com


摘要

打嗝是由于横膈膜和副吸气肌收缩导致声门突然关闭并伴有特征性声音而引起的。这是一种正常的、自我限制的现象,但在某些情况下,它可能成为慢性病,并导致生活质量的严重恶化。机制还不完全清楚;控制持续性呃逆的各种治疗方法已被描述为不同程度的成功。

我们报告一例药物治疗无效的持续性呃逆。急性呃逆的广泛原因已被确定;顽固性呃逆的存在可能表明更严重的病理学。持续性呃逆可产生显著的发病率。几种药物和非药物治疗虽然有治疗方法,但几乎没有科学证据证明其安全性和有效性。膈神经阻滞是治疗持续性呃逆的一种方法。这种阻滞用于排除中枢病因,且呃逆对其他药物或膈神经电刺激无反应的情况。

介绍

打嗝是由于膈肌和副吸气肌收缩导致声门突然关闭,并伴有一种特征性的声音而产生的[1-6]。这是一种正常的、自限性的现象,但在某些情况下,它可以变成慢性的,并导致生活质量的严重恶化[1-4]。这种机制还没有被完全理解;文献讨论了一种由膈神经、迷走神经和胸交感神经组成的打嗝反射弧的刺激[1,3,4]。打嗝的病因包括中枢神经系统、腹部或胸部的病理和全身麻醉[1]。有时未发现病因,标记为特发性[4]。各种试图控制持续打嗝的治疗方法都有不同程度的成功[4,6]。

病例报告

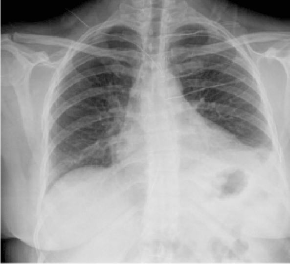
我们报告一例45岁无明显病史的女性患者,她接受腹腔镜Nissen's胃底折叠术治疗伴有胃食管反流的巨大食管裂孔疝。术后6个月,她出现持续性打嗝,打嗝的强度和频率影响了她的生活质量;使用PPIs和开始促动力学并进行诊断试验-钡转运试验、压力测定和pH测定-结果均正常。由于临床症状持续存在,也进行了腹部CT扫描和内窥镜检查,结果也正常。治疗方案中添加了巴考芬。症状持续存在,并在ch正常。进行了电生理学研究,观察到左侧膈神经的大小小于右侧膈神经。因此决定对左侧膈神经进行麻醉阻滞(图1)。首先用2%的利多卡因阻断神经,从而产生短暂的症状改善。因此,使用持续时间较长的麻醉剂左旋布比卡因进行第二次渗透,导致打嗝完全消失。一周后重复相同的程序-灌注左旋布比卡因24小时通过在超声和电刺激的帮助下放置神经周围导管。48小时后,打嗝再次出现,每小时发作一次,因此决定再重复灌注24小时,拔出导管后三天,患者无症状。观察到左半膈肌抬高由于左侧膈神经麻痹,在胸部X光片上进行了观察,但没有明显的呼吸反应(图2)。在上述操作两年后,患者仍然无症状。

急性呃逆(少于48小时)通常由良性原因引起,如胃胀、快速摄入、胃部温度变化、过度吸烟或饮酒以及情绪紧张。持续48小时以上的打嗝被归类为持续性打嗝,持续2个月以上的打嗝被视为顽固性打嗝,称为“打嗝”ultus[3,6]。

图1:电生理研究

图2:麻醉阻断膈神经后几个月的胸片

急性呃逆的病因范围广泛,包括胃胀、饮用碳酸酒精饮料和非酒精饮料、冷热饮料、焦虑和压力。顽固性呃逆的存在可能预示着更严重的病理学;已发现100多个持续性和顽固性呃逆的病因例如,中枢神经系统损伤、膈肌刺激、迷走神经刺激、药物、代谢、心理、外科、感染或特发性原因,以及苯二氮卓类和皮质类固醇等药物[6]。

持续的打嗝会导致严重的发病率,如无法进食、体重减轻、疲劳、失眠、心律失常、焦虑、抑郁等情绪障碍,甚至自杀[1,3,4,6]。

存在几种药理和非药理治疗方式[1,6],但关于其安全性和有效性的科学证据很少[6]。传统治疗包括使用中枢神经系统抑制剂(溴化物、乙醚和硫酸镁)和兴奋剂(麻黄碱)、多巴胺阻滞剂(氯丙嗪、甲氧氯普胺、氟哌啶醇和氟哌利多)、抗癫痫药(丙戊酸钠、卡马西平)、钙通道阻滞剂(硝苯地平)和抗胆碱药(阿托品)[1,6]。最常用的是氯丙嗪、甲氧氯普胺、巴氯芬和丙戊酸钠[1]。

其他治疗方式包括针灸[4],麻醉阻塞舌咽神经[5]和膈神经[7,8],以及全身麻醉,放松和面罩通气[2]。

持续性呃逆的治疗是膈神经阻滞的一个指征。这种阻滞用于排除中枢病因,且打嗝对其他药物或膈神经电刺激无反应的情况[9]。

总结

从技术上讲,膈神经阻滞应立即从颅骨到锁骨。阻塞的位置是至关重要的,因此,建议使用超声波和电刺激来辅助放置。这种阻滞包括无肺病理的患者的部分、单侧膈肌瘫痪,其重要功能功能可忽略不计;然而,患有晚期限制性肺疾病或膈肌对侧移动恶化的患者可出现明显的呼吸症状[9]。

综上所述,膈神经阻滞是治疗常规治疗无效的持续性呃反症的有效方法。

利益冲突

作者称没有利益冲突。

参考文献
  1. 阿隆索·纳瓦罗H,卢比奥L,吉姆·内兹·吉姆·内兹FJ(2007)难治性呃逆:加巴喷丁的成功治疗。临床神经药理学20:186-187。[裁判。]
  2. Lierz P, Felleiter P(2002)麻醉治疗持续打嗝。Anesth Analg 95: 494-495。[裁判。]
  3. Martínez Rey C, Villamil Cajoto I (2007) [Hiccup:回顾24例]。Rev Méd Chil 135: 1132-1138。[裁判。]
  4. Schuepfer GK,Poelart JI,Konrad C(2003)全身麻醉或膈神经阻滞治疗慢性呃逆?麻醉分析96:907-916。[裁判。]
  5. 超声联合神经刺激治疗膈神经阻滞。J Anesth 55: 195-196。[裁判。]
  6. 卡尔vo E, Fernández-La Torre F, Brugarolas A(2002)颈膈神经阻滞治疗cáncer患者内嵌性呃反症。中国肿瘤学会94:1175-1176。[裁判。]
  7. Michálek P,KautznerováD(2002)联合使用超声和神经刺激治疗膈神经阻滞。Reg Anesth Pain Med 27:306-308。[裁判。]
  8. Canella C, Demondion X, Delebarre A, Moraux A, Cotten H, et al.(2010)超声对膈神经的解剖研究。欧元Radiol 20: 659-665。[裁判。]
  9. Moretto EN,Wee B,Wiffen PJ,Murchinson AG(2013)治疗成人持续性和顽固性呃逆的干预。Cochrane数据库系统第1版:CD008768。

在此处下载临时PDF

PDF

条信息

算术类型:病例报告

引用:Prieto Puga T,Moreno J,Guadalix JI,Fernández I,Rodríguez Cañete A等(2016年)膈神经阻滞用于治疗尼森眼底折叠术引起的持续性呃逆。J胃病治疗2(1):http://dx.doi.org/10.16966/2381-8689.111

版权:©2016 Prieto Puga T等人。这是一篇根据知识共享署名许可证条款发行的开放获取文章,允许在任何媒体中不受限制地使用、发行和复制,前提是原始作者和来源均已获得授权。

出版历史:

  • 收到日期:2015年11月26日

  • 接受日期:2016年1月13日

  • 发表日期:2016年1月18日