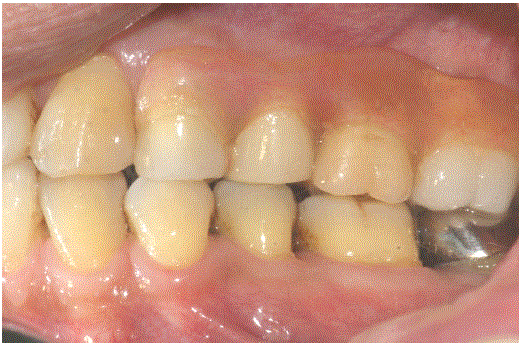
图1:横切面显示# 14,# 15有磁性附着,# 17有3个根分离后的内冠(2006)。
全文
Guey-Lin侯1、2 *
1中华民国台湾高雄长庚纪念医院牙科前主任2中华民国台湾高雄高雄医科大学口腔医学院高雄医学中心口腔科学研究所及牙周病学系教授
*通讯作者::侯桂霖,前教授,台湾高雄医科大学口腔科学研究所,电话:00886-7-7472606:电子邮件:hougl2001@yahoo.com.tw
通过回顾性和影像学评价对牙周和修复治疗的临床观察表明,受分叉累及(FI)影响的磨牙更容易减少临床牙周支持和失去临床附着体。本病例采用磨牙根分离、单侧CSCTD设计和磁附着治疗II类和III类分叉累及右侧上颌第二磨牙的方法。结果14年后内冠、下根和分叉顶周围牙周组织均有明显改善。综上所述,结合磁性附着体的CSCTD是治疗晚期磨牙分叉问题的有效方法。
臼齿与fi;CSCTD;mmagnetic附件
通过回顾性和影像学评价对牙周和修复体治疗的临床观察表明,受严重分叉累及(FI)影响的磨牙更容易减少临床牙周支持和失去临床附着体[1,2]。可预测和有效的治疗受影响的磨牙FI的进展牙周炎包括隧道准备、分叉成形术、根分离、根半切和根截肢,这些技术的成功率存在差异,其并发症仍有争议[3-8]。
然而,这些手术与一些并发症和问题有关,如残留的更深的根凹,牙菌斑控制困难,修复切除的磨牙的问题,以及根龋[5,9,10]。因此,如何解决这些并发症是最重要的使用根切除/分离技术和设计牙周假体制造。
在临床评价中,我们推荐冠套筒顶套筒义齿(CSCTD)作为治疗晚期牙周炎的牙周修复体,并指导预后[11,12]。该技术具有一些优点,如保持受损基台,易于菌斑控制,减少破坏性扭矩,并减少支撑基台上的水平力[11-13]。
关于使用CSCTD联合磁性附着体治疗II类和III类分叉的磨牙的报道很少或有限。为了治疗先进II类和III /或摩尔FI差的根形态后的剩余根根分离和/或切除,我们设计一个修改的方法,结合摩尔根分离专门磁附件一起,名字为“部分CSC伸缩与磁附件假牙。”
一名66岁男性,健康状况良好,主症为左上颌第二磨牙恶化,结缔组织受累。患者自6年前开始出现牙龈出血、轻度活动、牙龈萎缩、咀嚼困难等症状。他曾到多间牙科诊所求诊,被告知II至III级的流动磨牙必须拔除。根据牙周检查,上颌可见轻度牙龈萎缩,大量结石沉积,中度菌斑保留,II和/或III级磨牙FI 2nd摩尔。临床评估包括GI[14]、Pl[15]和牙槽骨丢失评分、探测深度(PD)和临床附着水平(CAL),从基线(2005)到治疗完成14年(2019)。
x线片显示右侧上颌2的分叉顶和下分叉区有17号的中度缺失nd摩尔。最终诊断为中度成人牙周炎伴II级和/或III级磨牙FI。
治疗
在基础牙周治疗前,指导患者进行彻底的菌斑控制,包括基础和常规的细致牙龈下刮治、根规划和龈下刮治,每周一次,持续3个月,随后用0.12%的葡萄糖酸洗必泰进行袋灌。每2 - 4周建立一次牙周支持治疗,持续12个月。
在根分离(#17)后(#17)构建左侧上颌部分CSC-套筒义齿单元(# 14 - #17)的磁性附着内冠(#15)(图1)。图2为部分CSCTD的横视图。带磁性附着体的CSCTD的颊侧和腭侧切面见图3和图4。图4为内冠(#14、#15、#17)的面部视图(图5)、右后视图(图6)和后颊面csc -望远外冠的外观(图7)。
图2:带磁性附着体的csc -望远冠的横切面图(# 14)。
图3:颊面csc -带磁性附着的套筒冠。(# 14)。
图4:带磁性附着体的腭面csc -套筒冠(#14)。
图5:面部视图显示# 14,#15,# 17(2019)的金色内冠。
图6:颊面(右后)显示内冠(#14,#15)和3根分离#17。
图7:13年后(2019年),后颊面出现#14、#15和#17的外套筒冠。
CSC套筒冠义齿根分离的主要目的是保护牙周骨量严重丢失的不良基牙,增加本体感觉,改善固位和牙周修复体的稳定性。第二个目的是在维护阶段建立一个有利于专业和个人斑块控制的环境。CSCTD设计似乎是一个更好的选择相比,卡扣的可摘局部义齿。
CSCTD与磁性连接恢复的临床评估揭示了在摩尔根分离(图1)后的内冠和毛细血管内的牙冠和毛细血管屋顶的牙周组织(图1)探测深度,临床附着水平和牙周健康在使用CSCTD具有磁性连接的牙周和假体疗法之后,大多数基台仍然在正常范围(≤3mm)内。
本病例报告显示,与第17例II级和III级磨牙FI无根分离相比,菌斑控制和牙周愈合显著。GI、PD和CAL评分也有类似发现。
Muller HP等人的[3]研究表明,约44%的III类FI磨牙在牙周手术后被拔除,而不考虑回访和龈下洁牙。对探诊时出血且≧5mm的病灶部位,每2 ~ 3个月进行评估,进行专业预防。他们得出结论,选择治疗方式的决定似乎取决于磨牙FI的程度和牙齿类型。
一些研究人员报道,不管操作者的技能和牙周炎的严重程度如何,II类和III类上颌分叉缺损的治疗方法有限且难以预测的成功似乎主要取决于类磨牙FI和根的形态[3,4,6,13]。他们得出结论,诸如分叉解剖、牙槽骨和牙齿之间缺损的大小以及面对缺损的剩余牙周组织的数量等因素也很重要。
在目前的报告中,在磨牙根分离后牙周组织的愈合得到了显著的改善,使用磁性附着设计制造CSCTD似乎比没有根分离的磨牙更可预测的结果。这一发现有力地表明,这种具有根分离和磁性附着的特殊设计对治疗II类和/或III类FI磨牙是一种有价值的技术。
有关CSCTD的成功待遇有关的文件的大部分报告是报告[11,12]。1999年,HOU GL,等人。[13]介绍了使用根分离和CSCTD的摩尔毛骨菌的长期治疗相关的病例课程研究,并CSCTD为6.7±1.9岁。最近,HOU GL,等人。[16,17]还记录了两项长期研究表明,具有前进的较高的牙科炎,患有次级咬合创伤5.1-39岁,具有较高的臼齿的磨牙非常出色和显着提高。结果表明,它不仅在牙周柔软和硬组织愈合中的有效和突出,而且还通过三明治技术提高了II和III类FIS的臼齿的存活率。
本报告的长期临床评价表明,使用CSCTD联合磁附着设计治疗磨牙FI是一种有价值和有效的方法。
- Hirschfeld L, Wasserman B(1978)对600例治疗过的牙周患者骨丢失的长期调查。J牙周病杂志49:225-237。[Ref。]
- Ross FI, Thompson RH(1978)上颌磨牙分叉受累根保留治疗的长期研究。J牙周病杂志49:238-244。[Ref。]
- (1)分叉牙的管理。回顾性分析。J临床期刊22:911- 917。[Ref。]
- [侯国良,陈顺福,蔡传忠(1996)分叉入口维度。与牙周治疗相关的CEJ到分叉入口的分歧、角度和长度。高雄医学杂志12期:705-715。[Ref。]
- (1)多根牙的牙周治疗。5年后的结果。临床J期2:126-135。[Ref。]
- Carneval G, Febo GD, Tonell MP, Marin C, Fuzzi M(1991)牙周修复治疗牙根间病变的回顾性分析。国际J周期修复凹痕11:189-205。[Ref。]
- Langer B, Stein SD, Wagenberg B(1981)根切除术的评价。十年的研究。J牙周病杂志52期:719-722。[Ref。]
- [王振华(1980)分叉问题。病因、发病机制、诊断、治疗及预后。临床杂志7:73 -95。[Ref。]
- Majzoub Z,KOM S(1992)颌骨牙齿牙齿形态,在上颌第一磨牙中。J Surgontol 63:290-296。[Ref。]
- Mardam-Bay W,Majzoub Z,Kon S(1994)颌骨和颌骨臼齿的病因和管理的解剖考虑因素,具有传承的参与。int J宿醉恢复凹陷14:399-409。[Ref。]
- Yalisove IL(1966)皇冠和袖子 - 应对局部假牙的保持器。J Prosthet Dent 16:1069-1085。[Ref。]
- 严重晚期牙周炎的牙周和修复治疗的纵向研究。中国邓杰14:16。
- 侯国良,蔡传忠,魏士金等(1999)根分离联合冠套筒冠义齿治疗磨牙分叉病变。一个纵向研究。J牙周病杂志70:1098-1109。[Ref。]
- 王志强,王志强(2003)妊娠期牙周病。一、流行程度和严重程度。牙医学学报21:553- 551。[Ref。]
- 周志强,张志强(2003)牙周病与妊娠的关系。2口腔卫生与牙周状况的相关性。牙科学22:121-135。[Ref。]
- Hou GL, Hou LT(2019)三明治技术治疗严重晚期牙周炎继发性咬合创伤的疗效:5.1-39年的长期研究。实习医师J登特与口腔健康[Ref。]
- HOU GL(2020)CSC伸缩阶段严重高级牙周炎的伸缩率,使用牙周假肢治疗次级咬合创伤性。案例系列的长期研究5.1-19.3岁。进步口腔健康。
在此下载临时PDF
文章类型:病例报告
引用:侯gl(2020)带磁性附着体的CSC套筒冠义齿治疗III类磨牙分叉病变1例报告。国际牙科口腔健康6(6):dx.doi.org/10.16966/2378-7090.338
版权:©2020 Hou GL.这是一篇根据创作共用署名许可条款发布的开放获取的文章,该条款允许在任何媒体上无限制地使用、发布和复制,前提是注明原作者和来源。
出版的历史:
