图1A和B:初步情况显示联合国美学笑容
全文
Nissaf Daouahi.1 *Dalenda Hadyaoui.2Zohra Nouira.2Belhassen Harzalah.2穆尼尔Cherif2
1固定的假期和美学牙科,牙科医院,突尼斯寺院的审查和审美牙科的损伤2 突尼斯摩尼斯特大学牙科医院牙髓炎和陶瓷假体研究实验室LR16ES15
*通讯作者:Nissaf Daouahi,固定的假期和美学牙科,牙科医学院,Monastir,突尼斯的审查牙科,电话:+ 216 50725047;电子邮件:nissafdaouahi@gmail.com.
一名25岁的女性患者呈现隐藏的微笑,并对上颌前牙之间的颜色差异困扰。她在中央门牙的流动性中报道了前部区域的牙痛。
口腔口腔检查显示出严重变色和脊髓末端治疗的左侧切口;流动性与牙齿的龈下骨折有关,侵犯生物宽度。除去裂缝段后,牙周探测表明需要重新建立的生物宽度。它也透露了一种厚厚的牙龈生物型;牙龈厚度为2毫米。在前齿上注意到近侧侧面的树脂复合修复物。另外,检测到2中央门牙的轻微的MAL位置和差异。
治疗计划包括左侧中央入管中的冠延长,在上颌切牙中漂白上颌和下颌拱和最大陶瓷重建。
微笑;美学;中央门牙;皇冠延长;陶瓷
由于审美需求显着增加至于最佳美学不再可接受的程度。这就是为什么在美学区安置美学上令人愉悦的修复物,成为一个具有挑战性的目标。事实上,它是强烈的,根据不同专家之间的合作,包括假期和牙科学者。审美一体化强烈地基于粉红色和白色组织之间的和谐;在交界处与微笑与脸部之间的和谐[1-3]。
美学牙科最重要的任务之一是在恢复或更换它们时的上颌前齿的宽度之间建立和谐比例。金色比例概念作为微笑设计理论的基本概念。
治疗考虑包括应满足的冠部,齿间间距和美容期望的形状和阴影匹配。仔细的康复计划和上颌前牙冠形态特征的知识,作为前牙齿的美学性能的影响因素,也是必要的[4,5]。根据Spear FM和Kokich Vg [6]的情况下,建立正确的前齿比例取决于优化牙龈状况和乳头水平,并且认为是建立上颌前齿的正确位置的过程中的一个重要步骤。
根据美国牙周病学会[7]的报告,为了在美观区达到正确的牙龈状况,冠状延长手术是牙周医师最常用的牙周手术之一。它提供足够的龈上牙齿尺寸,以进行适当的修复,并在牙龈差异的情况下提高美观。参考正常解剖,它也提供了重建正确的Zenith位置的机会。因此,除了生物宽度重建外,它的适应症可能包括存在牙龈下骨折和或存在缺陷的牙龈下边缘,为了进行修复,需要增加牙齿的长度[7,8]。识别每一种牙龈生物类型是很重要的,因为不同的愈合倾向。Olsson和Lindhe认为,角化牙龈的宽度、厚度和门牙的形状决定了牙周生物类型,影响牙周治疗的结果[9-11]。
嘴唇,牙龈组织条件,颜色,形状和牙齿位置的位置是管理审美笑容的基本参数。应在计划中策略康复[1-3]时进行。中央门牙应该是微笑中显示的最占优势的牙齿。根据最近的研究,证实,专业人士与非专业人士之间的相似性已经证实了牙科美学感知中央门牙的主导地位。可以毫不含糊地减少横向切牙的宽度约0.5mm。然而,不接受平均中央门牙长度的任何减少[12,13]。当中央门牙终结和严重依赖时,微笑的康复似乎是一个具有挑战性的任务。事实上,由于材料的光学性质和行为的差异,在前牙中的侵入性和微创修复在前牙中的侵入性和微创修复不足。此外,由于减少组织水平的粘合技术的可能性有限,核心的美学恢复造成问题[14]。
这个临床报告涉及微笑的审美康复;中央门牙被严重受损和变色。为了满足审美需求,计划与冠延长和E最大陶瓷修复相关的漂白。
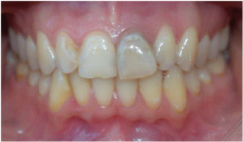
一名25岁的牙科学生患者介绍了Monastir牙科诊所的美学牙科系。她要求改善牙齿的颜色(图1)。此外,她报告了她左侧中央门牙的移动性(牙齿#21)。检测到上颌前齿之间的差异[图2]。她报告说她在内部漂白时没有令人满意的结果。她还患有该地区的牙科中度疼痛。
图2:显示中央门牙之间的差异的正视图
口腔口腔检查显示出严重褪色和肢体治疗的左侧切牙(图3)。该流动性与牙齿的龈下骨折有关,侵犯生物宽度(图4)。除去裂缝部分后,牙周探测表明生物宽度的涉及需要重新建立。它也透露了一种厚厚的牙龈生物型;牙龈厚度为2毫米。在前齿上注意到近侧侧面的树脂复合修复物。另外,检测到2中央门牙的轻微的MAL位置和差异。
图3:严重褪色和肢端治疗左侧切口
图4:裂缝中央门牙
计划在左中切牙进行冠延长术(图5),上颌弓和下颌弓均进行漂白,上颌切牙进行Emax陶瓷修复。照片首先是用佳能700D相机拍摄的。为了进行初步的美学分析。诊断铸型被打蜡。上蜡包括了微笑设计中所有需要的元素,从牙齿比例,轴向倾斜和牙龈顶,切牙排列和孔和牙龈结构。
图5A B:皇冠结婚
在外科手术之前进行基于金属柱的临时修复,然后根据新的边缘进行修饰[图6]。
图6A B:临时
进行美学冠延长以产生足够的Supritival齿尺寸,以进行适当的恢复,从而在右中央门牙的生物宽度重新建立。粘膜膜皮瓣升高以进入肺泡嵴。无论如何,1.5mm肺泡骨重新衰减是在肺泡骨和颊骨中的整理线之间重新创建3mm,包括生物宽度的距离,包括生物宽度。为了不会使操作现场暴露于口腔环境并提供安全的愈合过程缝合,最后,在牙龈的重复后主张[15]。根据新的牙龈利润率,将引导愈合过程的临时恢复在精制的准备内重新定义和修改。它与保留的帖子有关。它用丁香醇临时水泥粘合。手术与牙龈边距的最终定位的时间跨度约为4个月,定义了一段稳定性
在这种情况下,在陶瓷修复之前漂白是必要的。它减少了变色,便于使用超薄和半透明的E max修复。这是在办公室里用油管表演的。
在漂白后愈合周期和颜色稳定性后,使用审美柱和核心进行中央门牙的恢复。然后,使用CAD / CAM技术进行e计划和E最大陶瓷修复物(图7)。它们使用Variolink树脂材料(专业集,FL-9494 Schan / Liechtenstein)键合,并根据Magne和Cascione(2006)方案描述的协议。根据基台的颜色选择不同的树脂粘合材料的不同色调,以优化审美结果。由于策划的多学科方法,结果是美观上可接受的,并且满足患者(图8)。
图7:微创修复
图8:最终结果。
在考虑美学特征和功能参数的情况下,可以获得成功的前路修复[16-18]。宽高比(W/H)是指导临床医生为患者提供合适的牙齿外观[19]的可靠工具。
锥形门牙似乎是男性和女性的最具吸引力,比广场和三角形。该事实是通过最近的系统审查来证实,该综述处理Dentogingiva美学参数的偏移问题[13]。中央门牙切入边缘的位置对于美学感知有所关注;它应该是平行于两分的计划。根据最近的研究[14],垂直不对称小于0.6的垂直不对称是不可接受的。
为了与人造牙齿的光学性质相匹配,是美学牙科的重大挑战[20,21]。chaiyabutr y等。[22]致力于影响最终审美结果的因素;他证实,潜在的牙齿邻接颜色,水泥颜色和陶瓷厚度显着影响CAD / CAM玻璃玻璃锂二氧化冠的所得光学颜色。根据他的研究,将邻接齿的底层从较轻到更暗的行为转变为透光器的差异。此外,半透明水泥不应用于陶瓷厚度为1.5mm的固井冠部;由于临床上不可接受的颜色变化范围。
其他人建议使用不同颜色的复合材料来调节所得颜色,因为制造商引入了几种用于超薄修复体的粘合剂系统,其包括追加复合材料的各种颜色和相应的预选浆料。在一方面还报道了尝试浆料与相应的LUTING复合物之间的对应关系的高吻合[23-25]。另一方面,根据Al Ghazali N等人,注意到试着糊剂与相同阴影的延伸复合物之间的临床上显着的颜色差异。[26]。美国女大学医学院于2013年确认,通过该研究在武汉大学口腔医学院教育部口头生物医学工程实验室进行,试图浆料的颜色协议和相应的戒备复合材料并不总是实现,特别是对于较暗和更多的应用不透明剂[27]。
为了获得美观的结果,也必须创造健康的牙周条件通过修复前后的最佳软组织轮廓。
然而,条件是一些临床局势,包括深层制备利润率和骨折,不利地不适合成功的恢复程序。在这种情况下,为了改善锥形冠的外科延长的解剖条件。强烈建议使用明确的准备边距,允许对日常斑块控制的边缘贴合和最佳通道进行高度控制。此外,临床表冠的足够长度是最佳保留恢复所需的[28-33]。
将天然牙齿的光学性质与人造牙齿相匹配是审美牙科的重大挑战。在美学修复体周围创造健康的牙周条件也是通过修复件的最佳软组织曲线获得美学上接受的结果的重要因素。
- Claman L,Alfaro MA,Mercados A(2003)跨学科方法改进了前题的临床结果。J PROSTH DET 89:1-5。[参考。]
- 西蒙Z(2010年)在实现牙龈和谐方面的挑战。J CALIF DEN ACAGIN 38:583-590。[参考。]
- Ahmad I(2005)前牙齿美学:牙龈视角。BR Dent J 199:195-202。[参考。]
- Pinho T, Neves M, Alves C(2012)成人的多学科管理,包括牙周学,正畸学,种植体和修复术。口腔颌面矫形外科142:235-245。[参考。]
- Dundar M,Gouner Ma,Cal E(2003)使用IPS empress 2固定部分义齿恢复前颌骨部分透明区域的多学科方法:临床报告。j假肢89:327-330。[参考。]
- Spear FM,Kokich VG(2007)审美牙科的多学科方法。Dent Clin North Am 51:487-505。[参考。]
- 美国牙周病学(2003年)实践简介调查:私人牙周实践中的特点和趋势。芝加哥:美国牙周病学院2004。
- Perez Jr,Smukler H,Nunn Me(2007)冠延长前后Supraossey Gingivae的临床评价。j渡期子78:1023-1030。[参考。]
- Fletcher P(2011)使用创新比例计的美学冠的生物学理由。int J宿醉恢复凹痕31:523-532。[参考。]
- Bednarz W(2011)牙周软组织的厚度超声检查 - 电流可能性和观点。DENT MED PROBL 48:303-310。[参考。]
- Sin Y-W,Chang H-Y,Yun WH,Jeong S-N,Pi S-H等。(2013)牙龈生物型与缩放和根刨成果的协会。J Periondontal植入物SCI 43:283-290。[参考。]
- Shetty S,Pitti V,Babu Cis,Kumar GPS,Jnanadev K(2011)以评估自然牙列中经常性审美牙科比例的有效性。j保加凹陷14:314-317。[参考。]
- Del Monte S,Afrashtehfar Ki,Emami E,Abi Nader S,Tamimi F(2017)偏好设计审美参数:系统评价。j假肢凹痕118:717-724。[参考。]
- Machado AW, Moon W, Gandini LG Jr(2013)上颌切牙边缘不对称对正畸医师和普通人微笑美学感知的影响。口腔颌面矫形外科143:658-664。[参考。]
- Huynh G,Lang Bn(2007)临床冠的手术延长:重建牙科的牙周概念。牙周病学3:193-201。[参考。]
- De Andrade OS,HiRATA R,Celestrino M,Seto M,Siqueira S JR等。(2012)终极陶瓷贴面:一种用于微创层压贴面的实验室引导式制备技术。j CALIF DENT ACACE 40:489-494。[参考。]
- Radz GM(2011)最小厚度瓷器修复。北美牙科诊所55:353-370。[参考。]
- (2011)陶瓷与氧化锆修复材料的颜色研究进展。Dent Mater 27: 97-108。[参考。]
- Sarver DM(2004)正畸学中的化妆品牙科原理:第1部分。前牙的形状和比例。am j orthod牙齿矫形器126:749-753。[参考。]
- Van Noort R(2007)牙科材料介绍。第2版,圣路易斯,elsevier 247-50。21. [参考。]
- McLean JW,Hubbard Jr,Kedge Mi(1979)科学与牙科陶瓷艺术。Quintessence,芝加哥333. [参考。]
- Chaiyabutr Y, Kois JC, Lebeau D, Nunokawa G(2011)基牙颜色、水泥颜色和陶瓷厚度对CAD/CAM玻璃陶瓷二硅酸锂增强冠光学颜色的影响。J假体凹陷105:83-90。[参考。]
- Chadwick Rg,McCabe JF,Carrick TE(2008)与临床成功相关的单板审判浆果的流变性质。BR Dent J 204:E11。[参考。]
- 邢W,江T,MA X,梁S,Wang Z等。(2010)评估树脂水泥的美学效果,试着在校友上的浆液浆料。J Dent 38:E87-E94。[参考。]
- 王X,JM(1999)树脂水泥和试用糊之间的颜色差异。中华寇羌义薛ZA ZHI 34:58-59。[参考。]
- AL Ghazali N, Laukner J, Burnside G, Jarad FD, Smith PW,等在体外学习。J Dent 38:E78-E86。[参考。]
- Zinting Xu,Chen X,Li,R,Wang Y,Li Q(2014)尝试浆料的协议以及对陶瓷贴面的最终颜色的相应LUTING复合材料。J Prosthodont 23:308-312。[参考。]
- Baima RF(1986)延长临床冠长。J Prosthet Dent 55:547-551。[参考。]
- 通过计算机辅助密度测定图像分析(CADIA)评估牙周翼片手术后,Kornman Ks(1988)重塑春季肺泡骨的重塑。J Clin Superontol 15:558-564。[参考。]
- Bragger U, Lang N, Chirugische P (1988) Verlangerung der klinischen Krone, Schweizerische Monatsschrift filr Zahnmedizin 98: 644-651。
- LANZA A,DI FRANCESCO F,DE MARCO G,FEMIANO F,ITRO A(2017)PES / WES指数在天然牙齿上的临床应用:案例报告和文献综述。案例代表凹陷。[参考。]
- Elias AC, Sheiham A(1998)口腔满意度与牙齿数量和位置的关系。J Oral Rehabil 25: 649-661。[参考。]
- Levin Ei(1978)牙科美学和金色比例。J Prosthet Dent 40:244-252。[参考。]
在这里下载临时PDF
文章类型:病例报告
引文:Daouahi N,Hadyaoui D,Nouira Z,Harzalah B,Cherif M(2020)冠延长的贡献优化美学。INT J DENT口头健康6(6):DX.DOI.ORG/10.16966/2378-7090.334
版权:©2020 daouahi n,等这是在创意公约归因许可的条款下分发的开放式文章,其允许在任何媒体中不受限制地使用,分发和再现,只要原始作者和来源被记入。
出版历史记录:
