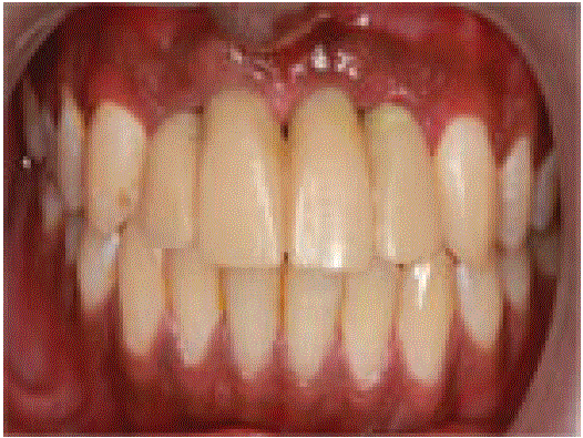
图1:初始组织结构显示牙间乳头闭塞。
全文
阿马尔·博奇布亚*
尼泊尔加德满都尼泊尔医学院修复学系助理教授*通讯作者:Amar Bhochhibhoya,助理教授,尼泊尔医学院,加德满都,尼泊尔,尼泊尔,电子邮件:Amarbhochhibhoya@gmail.com.
将牙萌出轮廓和牙龈结构转移到最终铸型对于种植支持的固定修复体实现卓越和可预测的美学效果至关重要。本文介绍了一种简化且经济的技术,该技术可精确保留软组织轮廓,其中包括使用临时修复体最后的印象是什么。
脱出轮廓;软组织成型;种植支持固定修复体
使用种植体支持的固定修复体修复缺失的前牙对微笑线高的患者提出了美学挑战,特别是当牙龈体积损失时[1,2]。在这种情况下,很难获得轮廓良好的修复体,具有合适的牙突轮廓和牙龈结构,与相邻的天然牙相协调[3]。
当缺少多个牙齿时,存在相邻的肺泡骨的吸收,这导致丧失蛋白核粉乳头的软组织丧失[4-6]。软组织体积改善改善美学的校正需要多种外科手术,这在某些情况下可能是不可能的[1]。使用中期假体的牙龈调节可以有助于提高Peri植入物牙龈和软组织的形状和轮廓,避免额外的矫正手术[4,7-10]。适当的牙龈配置不仅模仿自然出现简介,而且确保了对手术和假体组分的理想调整,显着影响围植入组织的健康,并有助于维持适当的口腔卫生[3,10]。定制的临时假体有助于软组织的成型,以实现计划的最终假体的确切宫颈轮廓和出苗剖面[11]。选择性压力应用的牙龈组织重塑是一种简单而非创伤的方式来增强牙龈结构[12]。
移除临时假体后,种植体周围的软组织会塌陷和收缩,从而阻止口内软组织结构转移到最终铸型。预制坯料印模覆盖物不考虑临时修复形成的软组织形态[3,13]。已经报道了几种改进的印模技术,用于准确传递有关软组织的信息[13,14]。这篇文章描述了一种简化的印模技术,该技术保留了种植体周围和桥体部位的软组织轮廓,这些软组织轮廓是在使用临时种植体支持的固定义齿进行牙龈调节后获得的。
- 在使用临时种植体支持的固定义齿对软组织进行调节后,对种植体周围和桥体部位进行塑形和引导,以达到所需的脱出轮廓,该轮廓显示出足够的愈合,以形成印模(图1-3)。
- 通过聚乙烯硅氧烷印模材料(Elitehd +,Zhermack,德国)对临时注入的固定牙科修复进行腻子洗涤印象。在设置并检查精度后,取消印象(图4)。
- 移除临时假体并放置愈合基台。在愈合基台和桥体部位周围注射聚乙烯硅酮印模材料,以保持软组织轮廓。
- 将植入物类似物固定到临时假体上,并将假体重新定位在聚乙烯硅酮印模中(图5)。
- 将橡胶牙龈复制材料(Gingitech、IvoclarVivadent、Lichtenstein)注入印模。聚合后,随后将印模倒入IV型牙石(印度Kalarock)中,形成最终铸型(图6).牙龈软组织轮廓转移到最终的铸型上,这使得最终修复体的颈部轮廓易于勾勒(图7)。
图2:定制临时固定假体。
图3:软组织成型后的牙龈轮廓。
图4:临时假体上的聚乙烯硅酮印模。
图5:临时假体位于印模中。
图6:检索明确铸造。
图7:软组织建筑和出现型材转移到最终演员。
所提出的技术允许将种植体周围和桥体部位的模制软组织轮廓轻松准确地转移到最终铸型上,这有助于实现可预测的美学效果。在这种技术中,临时修复体本身被用作印模压盖。这种技术是直接的、经济的,并且需要最少的armamentarium。计划的最终假体的颈部轮廓与定制的临时假体的颈部轮廓相同,从而最大限度地减少了插入最终假体期间软组织扩张的机会。该技术的主要缺点是,在最终石膏成型之前,患者必须保持不进行临时修复e这会造成软组织塌陷的风险。
- WöhrlePS(2003)诺贝尔完美美容扇形植入物:新设计的理由。临床植入凹痕REC 5:64-73。[裁判。]
- N,Barzilay I(2003)一种改进的印模技术,用于精确注册Peri植入软组织。j可以dent assoc assoct 69:80-83。[裁判。]
- Yiqing H,Yuting H,Wang J(2018)记录临时种植体支持的固定部分义齿牙龈形态的技术。J假牙凹痕120:495-497。[裁判。]
- 林RV(1960)提取后肺泡工艺的轮廓变化。J Prosthet Dent 10:25-32。[裁判。]
- Saadoun Ap,Touati B(2007)植入物的软组织衰退:它仍然是不可避免的吗? - 第二部分。实践程序Aesthet Dent 19:81-87。[裁判。]
- Rompen E,Raepsaet N,Domken O,Touati B,Van门E(2007)在美学区中的牙龈会聚基台的面部面部的软组织稳定性:试验临床研究。J Prosthet Dent 97:119-125。[裁判。]
- Kan JY,Rungcharassaeng K,Lozada J(2003)上颌前部单种植体的即刻放置和临时化:1年前瞻性研究。国际口腔颌面部种植体杂志18:31-39[裁判。]
- Lefkove MD,BEALS RP(1990)立即加载悬垂性悬浮液中覆盖的圆柱植入物:钛等离子体喷涂螺杆技术。J Ormalantol 16:265-271。[裁判。]
- Babbush Ca,Kent Jn,Misiek DJ(1986)钛等离子体喷涂(TPS)螺丝植入物,用于重建伪造下颌骨。j口腔颌骨蓟马44:274-282。[裁判。]
- 达瓦彭班M,Martinez H,Celletti R,Tecucianu JF(2001)审美植入物恢复的三种术语方法:出现简介概念。练习程序Aesthet Dent 13:761-767。[裁判。]
- Ganddini MR,Tallents RH,Ercoli C,Ganddini R(2005)在美学区制造水泥固位单单位种植体支持临时修复体的技术。J假牙凹痕94:296-298。[裁判。]
- Neves FD,Silveira-Júnior CD,CoróV,Silva Neto JP,Simamoto-Júnior PC(2013)种植支持修复体中的牙龈调节:临床报告。口腔种植杂志39:483-485[裁判。]
- 徐伟,Jivraj S(2006)种植牙科的印模技术。Br Dent J 201:429-432[裁判。]
- Azer SS(2010)《为种植体支持的牙冠创建定制牙龈脱出轮廓的简化技术》。Proshodont杂志19:497-501[裁判。]
在此处下载临时PDF
文章类型:案例报告
引用:Bhochhibhoya A(2020)使用临时假体作为印模应对的前面积中多种牙科植入物的美学恢复的改良印象技术。INT J DENT口头健康6(5):DX.DOI.ORG/10.16966/2378-7090.326
版权:©2020 Bhochhichoya A.这是一篇根据知识共享署名许可证条款发行的开放获取文章,允许在任何媒体中不受限制地使用、发行和复制,前提是原始作者和来源均已获得授权。
出版历史:
