图1:Astra Tech新型种植体EV在种植体的根尖区域有更深的线设计。
全文
新型Astra技术植入EV在常规临床实践中的应用
赫尔穆特·G Steveling1*JosédeSanJoséGonzález2.
1.口腔外科专家,主要关注植入物,KertergstraßeGernsbach,德国2.一般牙科,德国
*通讯作者:Helmut G Steveling,口腔外科专家,主要专注于种植学,Kelterbergstraße Gernsbach,德国,电子邮件:赫尔穆特。steveling@t-在线
新鲜提取插座中立即植入物放置是一种经过验证的和科学的记录良好的治疗选择。植入系统是成功的关键,以及临床和解剖要求以及外科医生的经验。新的阿斯特拉科技植入物EV已被优化,适用于符合即时植入物安置的要求。使用患者案例,作者呈现了程序的规格和特征,以及在实践中的执行。
种植牙科的常规临床实践需要安全且尽可能高效的程序。今天,这种平衡可以通过使用即时植入物植入协议来实现。在新鲜拔牙窝中安装植入物是一种经过临床验证和科学证明的程序,通过该程序可以获得良好的美学效果和可预测的长期成功[1-4]。该手术具有许多优点,例如无需皮瓣清创即可微创进入肺泡(保留血供,无疤痕等),对周围组织的最佳支持(保留牙槽骨高度和宽度),以及减少治疗步骤(患者舒适度高)。
然而,特别是在敏感的前牙区,决定立即进行技术要求很高的种植体植入需要精确的诊断和严格的风险评估。先决条件是无炎症的牙槽腔、完整的面部骨板、稳定的软组织状况、经验丰富的外科医生和合适的植入系统。其中一个系统是Astra-Tech植入系统EV及其新的Astra-Tech植入EV(Dentsply Sirona),该系统专门用于即时植入。
植入系统正在不断地进行修改,以确保长期成功且无并发症。Astra Tech Implant EV经过了优化,以满足确保新鲜拔牙槽和准备不足部位[5]的初步稳定性的特定要求。这是通过加深种植体根尖部分的螺纹来实现的(图1)。由于种植体的其余部分不受这种适应的影响,钻孔方案保持不变。在诊所和实验室中,使用已知的协议遵循一种经过验证的方法。
对临床医生来说,适应型植入物的主要优点是在植入时的处理。根尖部分的锥形和较深的螺纹轮廓使种植体更容易安装在拔牙槽和准备不足的位置。在残留的基底骨中,由于缺乏与拔牙窝壁的接触,改善初期稳定性是很难实现的。
Astra Tech EV的所有已知属性保持植入系统不变。Astra Tech植入物EV继续利用:
- 记录良好的骨速度表面[6-8](用于改善骨整合的化学改性钛表面);
- 可靠的锥形密封设计[9,10](锥形,自定心种植体基台连接,精确配合);
- 经过验证的微线[11,12](种植体颈圈生物力学骨刺激微线);和
- 复杂的连接轮廓[13,14](植入套环区域的邻接的收缩以保护边缘骨)。
除根尖部分外,整个种植体的外部尺寸仍然相同。
最初的情况
患者用骨折12牙齿参加了诊所。他报告说他在事故发生牙齿。X射线诊断证实了骨折的初始怀疑(图2)。诊断出牙12的横向骨折。在这种情况下,主要选择试图保护牙齿或提取物;仅仅是骨折的诊断并不能排除牙齿保存。
图2:牙根横断12。
决定治疗的关键因素是裂缝线的路径。在根的纵向断裂的情况下,牙齿保存似乎不可能。类似地,在横向骨折中,使用恢复性牙髓措施永久地保护牙齿是极其困难的
治疗决策
鉴于齿12上的断裂线(深横向骨折)的路径,在这种情况下认为牙齿保存的可预测性低,因此考虑了立即植入物的提取。支持立即植入物放置的各种论据。例如,可以有效地防止大量的骨吸收和萃取插座区域中的软组织取出的软组织。皮瓣手段意味着外科创伤是低的,其优点包括增强的美学结果(无瘢痕)。快速的假肢康复和减少的治疗次会话也使这个治疗方案成为一个有吸引力的选择。
在这种情况下,满足了直接植入物放置的所有先决条件:
- Inflammation-free提取插座
- 完整的面骨板和完整的骨窝
- 稳定的软组织状况
尝试牙齿保存与立即植入物放置:为了获得最佳结果,决定提取牙齿并执行立即植入物放置。实现必要的主要稳定性是即时植入物安置成功的重要前提。对于新鲜提取插座,文献中描述了超过30ncm的扭矩[15]。Astra Tech Inclantane EV,具有其在顶端部分的更深的线程设计,适于满足该要求,因此在这种情况下是首选。
外科手术
在尽可能保留牙槽壁的同时,小心地拔除断裂的牙齿12(图3),牙冠与牙根分离并保留以进行临时修复。植入期间,种植体位于腭部。与相邻牙齿的距离约为1.5 mm,与颊板的距离约为2.5 mm。Astra-Tech种植体EV(直径3.6 mm,长度11 mm)使用标准钻孔方案插入(图4)。根尖区域较深的螺纹轮廓加强了植入物的“自切功能”,使其能够相对轻松且压力较小地插入拔牙窝(图5)。与面部骨板的间隙(跳跃间隙)由于腭部定向,没有填充增强材料。经验表明,间隙出血似乎是立即植入的好方法。植入物暂时用愈合基台(直径5.0 mm,高度3.5 mm)密封(图6)。
图3:仔细拔除12颗牙后,完整的牙槽。
图4:将Astra Tech EV植入到新鲜的拔牙槽中。
图5:初级稳定性实现。植入物在其最终位置(三维取向)。
图6:用愈合基台覆盖种植体。
临时修复
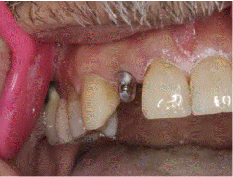
手术后一天,对伤口进行检查,并进行第一次临时治疗,方法是相应地制备12号牙齿的牙冠,并用夹板将其固定到相邻的11号和13号牙齿上(图7)。愈合四周后检查,组织无刺激,牙龈稳定。再过四周,取出暂时附着的牙齿碎片,并将扫描柱放置在第12区域的种植体上进行数字化口腔内扫描(图8和图9)。在这个时候,有一个形成良好的涌现轮廓。安装扫描柱、清除周围牙列的唾液并使用扫描粉后,使用口腔内扫描仪(真清晰度,3M)对情况进行扫描,并将数据发送至实验室。为了实现最简单的临时修复,将一个整体式基牙(直接基牙EV)拧到种植体上(图10),并将相应的愈合帽粘到预制牙上(图11)。然后,通过点击将带有现成牙齿的愈合帽固定到基牙上,并进行精确定位。
图7:一)用愈合基台覆盖种植体。
(b)使用复合材料将牙齿片段12(冠冠)夹在相邻的牙齿上。
图8:一)插入后8周。
(b)拆除临时修复。
图9:扫描柱的放置以进行口内数字扫描。
图10:一个基台(直接桥台EV)作为临时修复的基础。
图11:将预制的牙齿(额外口腔)粘在愈合帽上。
与计划中的即刻种植体植入和(临时)即刻修复相比,由于需要采取紧急行动,因此无法充分利用牙齿断裂后的数字工作流程。如果可以计划植入,作为数字化工作流程的一部分,可以订购单个Atlantis基牙进行暴露或立即加载。直接基牙有不同的高度和直径,其形状类似于准备好的牙齿。预制桥台适用于无角种植体的临时修复。相应的愈合帽卡在基牙上,最初可直接用作牙龈成形器。
稍后 - 如在这种情况下 - 它用于固定具有预制齿的临时表冠,例如,作为长期临时修复的基础(图10和11)。
CAD/CAM基牙的制造
实验室中可获得来自intranal扫描仪和所有必要的患者信息的数据。通过构造数据集和(可选)数字蜡构造的(可选)构造的数字蜡,将数字文件加载到亚特兰蒂斯平台上(亚特兰蒂斯,少斯通卡)。在这里(虚拟邻接设计)基于理想的冠状形状设计各个基台,并考虑到诸如周围齿和软组织解剖学(图12-16)的参数。然后将虚拟草案设计发送到牙科实验室进行检查。在批准过程中,3D编辑器可用于修改邻接的设计。一旦CAD设计被批准,基台由涂有氮化钛(锡)的金阴影钛制造。氮化钛涂层可用于增强美学结果,特别是在前部区域。虽然纯钛可能在牙龈地区产生灰色闪光,但氮化钛涂层的温暖金色调促进了天然外观。
图12:亚特兰蒂斯设计(VAD)软件中数字印象的表示。
图13:基于数字数据的蜡样制备。
图14:亚特兰蒂斯的形状与相邻和相对的牙齿相关。
图15:金色的亚特兰蒂斯桥台。
图16:在实验室专有的CAD软件中设计冕。
最终修复
虽然亚特兰蒂斯基台由Sirona制造商(浓度)产生,但实验室专注于植入冠。核心文件(基台设计)已成功导入实验室的专有CAD软件。这用于设计削减冠,其特征在于使用各个参数来确定陶瓷贴面的厚度(图17)。陶瓷嵌体必需的物理模型由Atlantis使用3D打印机制造。将冠从相对不透明的氧化锆材料研磨(图18)。为了实现鲜艳的着色和自然光学效应“从内部”,冠被定制,污渍在烧结之前与患者的牙齿相匹配(图19)。进行手动陶瓷嵌体进行匹配先前确定的现有牙齿的阴影。邻接和皇冠现在由制造中心提供。冠圈精确贴合,并在用基台塑造后转发到临床(图20)。
图17:切割氧化锆冠的设计。
图18:烧结前的铣床。
图19:磨牙被涂成与患者牙齿相配的颜色。
图20:一)亚特兰蒂斯桥台,印刷模型。
(b)模型上的烧结锆氧化锆(封口)冠。
(c)完成氧化锆冠。
临时修复(图21)被移除。观察到健康的软组织情况(图22)。详细检查证实种植体周围情况稳定,骨整合种植体位于位置12。为临床提供桥台,桥台螺钉单独包含,以防止在实验室插入后螺钉松动(图23)。为了运送到诊所,用实验室螺钉将基牙插入模型中,并连接插入键(图24)。使用专用转移键(Atlantis Insertion Guide,AIG)将基牙拧到植入物上既简单又安全(图25)。首先,将转换键放置在相邻的齿上,并验证正确的配合。钥匙应牢固固定,以确保准确放置在植入物中。
图21:在拆除前不久进行临时修复。
图22:插入基牙前的临床情况(健康轮廓的种植体周围软组织)。
图23:Atlantis基台,带有匹配的新螺钉,用于连接种植体。
图24:使用实验室螺钉将桥台固定在打印模型上,并安装打印的插入键。
图25:用特殊的塑料插入键插入桥台。
然后将支台插入亚特兰蒂斯插入指南。轻微的阻力表明它的位置是正确的。基台与种植体连接后(图26),取下钥匙,用聚四氟乙烯胶带密封螺钉进入孔(图27),安装全瓷冠(图28)。种植体冠完全插入牙弓。随后的x射线图像证实了正确的吻合(图29),也显示了可能的水泥残留;因此,应使用辐射不透明的材料(例如,温度键合)。假体修复后的x光片也记录了近端骨[16]的初始位置。在一个清晰连贯的计划下,可以用种植体支持的修复体迅速替换牙齿12(图30)。
图26:患者专用亚特兰蒂斯基台(材料:氮化钛涂层,GoldHue)。
图27:用聚四氟乙烯胶带密封螺钉检修孔。
图28:安装了全陶瓷冠后立即临床情况。
图29:植入种植体支持的修复体后随访X射线图像。
图30:a)安装后七天。全瓷冠无缝融合。
(b)植入物周围组织看起来健康自然。
使用Astra Tech新型种植EV即刻种植不需要外科医生、修复医生或牙科技术人员的日常工作发生任何变化。临床和假体方案保持不变;仅在种植体的根尖部分采用螺纹设计。锥形和较深的螺纹切口确保了更大的初级稳定性,为安全的即刻植入提供了基础。牙科医生受益于一个简单的程序植入新的拔牙窝和准备下的截骨术。
Astra Tech Inclants EV-A在常规临床实践中具有重要优势的看似小的变化:即使立即植入物的安全性提高了安全性。
- Lang NP, Pun L, Lau KY, Li KY, Wong MC(2012)对种植体放置于新鲜拔牙槽至少1年后的存活率和成功率进行了系统的研究。临床口腔种植体Res 5: 39-66。[裁判。]
- Mangano C,Raes F,Lenzi C,Eccellente T,Ortolani M等。(2017)单个植入物的即刻加载:一项为期2年的前瞻性多中心研究。国际牙周病学修复凹痕杂志37:69-78[裁判。]
- Nevins M,Wang HL(2019)植入治疗。临床方法和成功的证据。2钕版本,Quintessence出版,美国150. [裁判。]
- Noelken R,Geier J,Kunkel M,Jepsen S,Wagner W(2018)软组织移植,口服植入物位置和角度在面部颌骨上立即插入和众所周置的植入物的面部硬和软组织厚度的影响。临床植入凹痕REC 20:674-682。[裁判。]
- Currie F,Tilly C,Falk J(2019)不同的根尖植入设计及其对初始稳定性的影响(P-BR-147)。临床口腔植入研究30:174。
- Ellingsen JE, Johansson CB, Wennerberg A, Holmén A(2004)氟改性钛种植体改善固位和骨-植体接触。Int J Oral颌面种植体19:659-666。[裁判。]
- 壁虎o,毕尔汉,毕尔金T(2009)一项24周的前瞻性研究比较了二氧化钛砂砾喷砂牙科植入物的稳定性,无氟化物处理。int j口腔颌骨植入物24:684-688。[裁判。]
- Berglundh T,Abrahamsson I,Albouy JP,Lindhe J(2007)植入物的骨愈合,氟化物改性表面:狗的实验研究。临床口服植入物18:147-152。[裁判。]
- Harder S, Dimaczek B, Açil Y, Terheyden H, Freitag-Wolf S, et al.(2010)种植体-基台连接处分子渗漏在体外内锥形植入邻接联系对内毒素渗透性的紧张性研究。临床口头Investig 14:427-432。[裁判。]
- Toia M,Galli S,Cecchinato D,Wennerberg A,Jimbo R(2019)OsseSpeed EV植入物的临床证据:一项新引入系统的回顾性研究和特征描述。Int J牙周病修复凹痕39:863-874。[裁判。]
- Lee DW,Choi Ys,Park Kh,Kim CS,Moon是(2007)微生物对边缘骨水平维持的影响:3年的前瞻性研究。临床口腔植入物18:465-470。[裁判。]
- Hansson S(2003)边缘骨水平的锥形植入界面改善了支撑骨中应力的分布。轴对称有限元分析。临床口腔植入物RES 14:286-293。[裁判。]
- Abrahamsson I,Berglundh T,WennströmJ,Lindhe J(1996)在不同植入系统的Peri-incomant硬组织。狗的比较研究。临床口服植入物7:212-219。[裁判。]
- Moon IS, Berglundh T, Abrahamsson I, Linder E, Lindhe J(1999)牙种植体与角质化黏膜之间的屏障。在狗身上进行的实验研究临床牙周杂志26:658-663。[裁判。]
- Greenstein G,Cavallaro J(2017)植入物插入扭矩:其在实现可恢复牙科植入物的主要稳定性方面的作用。兼职持续教育38:88-95。[裁判。]
- WOLFART S(2017)ImplantatProothetik。Einpatientenorientierteskonozept。Quintessenz Verlag,396。
在此处下载临时PDF
文章类型:案例报告
引用:Steveling HG, de San José González J(2020)采用适应性种植体即刻植入拔牙槽。国际牙科口腔健康6(4):dx.doi.org/10.16966/2378-7090.324
版权:©2020 Steveling HG等人。这是一篇根据知识共享署名许可证条款发行的开放获取文章,允许在任何媒体中不受限制地使用、发行和复制,前提是原始作者和来源均已获得授权。
出版历史记录:
