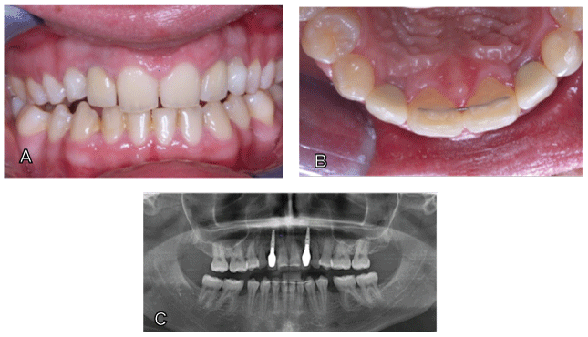
图1:十岁的女孩内部临床视图一见钟。
A.以中心闭塞的两个钳口的正面视图(清晰可见的DiaStema和Infrousted Molorars)。
B.上牙齿拱门牙齿的咬合视图。
C.矫形图(妊娠14,13,12,22,23,24,25,45)。

Dirk Nolte.1,2 *Souha Braikeh.1本杰明·库尔福特1安特耶·克劳斯3.罗伯特Linsenmann1
1口腔颌面外科实习,Sauerbruchstr. 48,德国慕尼黑*通讯作者:Dirk Nolte,口腔和颌面外科的实践,Sauerbruch Street 48,D-81377慕尼黑,德国,电话:0049 89 7480 9999;电子邮件:dirk.nolte@mkg-muc.com.
案例报告:她的矫形小臣称为10岁的患者,牙齿14,13,12,22,23,24,25和45(n = 8)。初始治疗开始于初级齿移植73÷22,83×12和磨牙35°24,在所有四个象限中造成平衡数量的磨牙。用如前所述[1-3]的技术进行一次牙齿移植。上下颌骨中的牙齿拱门被正畸医生改革和发展。十一年后,患者再次呈现21岁以取代胎牙植入物的原发性牙齿移植剂。
结果:在position12和22的移植乳牙已经到位了11年,并帮助确保软,骨组织的良好合作开发。而不需要大量的骨扩大有关措施进行了明确的照顾,在位置12和22植入病人。在第24位前磨牙移植留在地方不受干扰。咬,提高在此期间正畸医生实现美观的效果。
结论:儿时期和内渗植入物中的自生牙齿移植组合在晚期青春期产生可靠的患者患者的可靠性和功能康复。这些患者的早期检测对于该治疗方案至关重要。
自生牙齿移植;原发性牙齿移植;磨牙移植;内静脉植入物;发育不全;两相移植概念
治疗多个牙齿患者的患者对医生在植入物学中的医生提出了重大挑战。由于颌爪的多个区域缺乏牙齿喷发,患者的垂直和矢状平面患者的颌骨增长降低了覆盖物的众所周知的后果和外部面部轮廓(碟子面)的相关地理变化4]。
最近发表的一篇关于多牙缺失(少牙)患者治疗的系统综述分析了不同的治疗方案(种植、移植、保留乳牙、义齿)的存活率和成功率[5]。作者发现,对于13岁以下的患者,自体牙移植和留下乳牙是一种可靠且最具成本效益的治疗年轻患者的方法,平均生存率为94%。此外,对于年龄超过13岁的患者,内腔植入术是一种可靠的替代疗法,平均生存率为95%。留下的乳牙平均存活率为90%,而提供常规修复措施的存活率仅为60%[5]。
本病例报告描述了一个10岁的患者的临床过程,他在21岁的青少年晚期使用早期混合牙列自体牙移植和内种植技术进行了明确的治疗。这证实了在一个合适的治疗窗口内结合这两种治疗方案可以为患者的咬合康复提供非常好的结果。
一个10岁的患者在象限II提到我们通过她的正畸医生进行咨询,由于在总(图1A-1C)与缺乏象限我三个恒牙的八颗牙齿发育不全,四个恒牙,一恒牙在象限IV,且不乏象限III。由于患者在在预约的时间年轻时是,主齿73和83仍然存在(图1C)。由于在上钳口(N = 7)的大量缺失牙齿的,我们决定于以下正畸手术的概念,它包括以下四个主要措施(图2):
在矫正专家关闭DiaStema之后,手术措施可以及时开始。图3A和3B显示了手术和缝合术后一周的临床和放射线情况。移植物的灵活夹板用TTS夹板(钛创伤夹夹,麦芽糖,巴塞尔,瑞士和复合,Ivoclar Vievadent,Schaan,Liechtenstein)进行了另外六周。将初级齿移植物置于最新的牙齿空间中的位置12和22中,同时由于垂直骨骼生长的广泛缺乏缺乏缺乏无皮膜,将磨牙移植设定在略微的无皮膜中(图3b):白色箭头表示相当大的位置24和25的垂直骨质损失,由于浅发的致褐色臼齿。黄色箭头表示夹板内的三个移植物的位置。在第12和22号位置中的两个原发性齿移植物以及24位的婚前移植,在去除夹板时六周后没有显示任何并发症(图4)。常规后护理期间牙齿氟化,患者排出进一步正畸治疗。提出建议,在移植后三个月内没有早于通常施加的力量的三个月移动移植的牙齿。
患者在矫正者伴随治疗后1.5年后,现在11.5岁,牙齿正常,稳定(图5A)。标记的根长度缩短了根长度,表明生理剥离(图5B)。在所有移植物中可见纸浆腔的湮灭。在24中,磨牙移植的位置可以看到显着的垂直骨长,现在到达水泥搪瓷结(白色箭头)。此外,可以检测到纸浆腔的初级牙齿移植剥离的增加和类似的牙齿移植的爆发,这被认为是移植术的愈合过程中的重要反应[6]。
图6显示患者5.5年后,现在17岁。从那时起,牙齿矫正治疗取得了进展,其目的是矫正牙弓。乳牙现在稍上位。为了避免患者过早丢失,正畸医生没有尝试挤出乳牙。第12位和第22位的主牙移植现在显示了显著的根尖吸收迹象,这意味着,从外科角度来看,如果牙齿过早脱落,应立即引入种植学措施。
另外四年后,在21岁时,患者一旦她的原发性牙齿移植变得松动。此后患者迅速提供植入物。在促进松动的初级牙齿期间,只有含有骨置换材料的提取伤口(Bio-OSS,Fa。Geistlich,Baden-Baden,Germany),只能通过填充酶促措施进行轻微的肺泡措施。2.5月后,将植入物插入八周后(2×诺贝尔活性植入3.0×11.5,Zurich,Switzerland)和Prosthetics。图7显示了具有全陶瓷冠的植入物的假体护理后临床和X射线情况。可以实现高效的咬合饲养(图7A),与植入物周围的区域的美学上令人愉悦的柱状导致相关联(图7A和B)。OPG显示稳定的嵴骨状况(图7C)。位置35和45中的剩余较小的间隙被患者被患者出现问题。根据要求建议这些差距中的假体措施,因为这些间隙对于植入物太小。
在上下钳口中具有七颗牙齿的患者的这种情况下,下颌中的一个妊娠显示,在早期混合牙列的患者中可以实现满足临床结果,其具有自身牙齿移植的方法,以及在后期的青春期,随着内塞植入的技术。这种治疗的方法已在早期为2006年[1]中已经在最近发表的系统审查中确认了这种治疗方法[5]。作者从他们的结果中得出结论,植入总体的植入率非常良好,但在13岁以下的儿童年龄组中没有。在这些情况下,牙齿的自生移植和离开初级牙齿的生存和造成更好的成果成功。传统的假体措施,如粘合剂桥或假牙,生存率和成功率低于其他治疗方案。因此,此案报告再次突出,“时间窗口”在多齿患者患者的治疗措施中成功的重要性。当时10岁的患者仍然有较低的原代犬可用于自生移植,这是一种幸福的巧合,从而允许在上颌中共同开发骨和软组织生长。
自体牙移植是目前文献中少有报道的一种方法。自那时起,有了关于自体牙移植成功率的科学数据[3,7]。根据我们的临床经验和其他工作组,颚骨发展最重要的时间窗口之间9和13岁的可以使用的技术成功地弥合主要自体牙移植牙齿替换一样稳定的发育不全或创伤性损失的上门齿。Tschammler等首次提供了定量证据,证明自体牙移植可显著增加骨和软组织生长。该方法的5年平均生存率为87%[3]。在本病例报告中,两颗牙的功能移植共持续了11年,直到由于松动增加而不得不选择性拔除。迄今为止,这是世界上第一次有文献报道了如此长的牙移植存活时间。正畸医生的咬合提升以及随后在位置12和22的成功种植证实了这与发育不全区可靠的骨形成有关(图7A-7C)。种植过程中不需要采取主要的增骨措施。种植期间唯一的技术挑战是有限的牙间空间要求直径缩小种植体。
自从五十年前的Bjercke和Slagsvold首次描述以来[8-10],婚前自聚体持续物已成为一项长期既定的技术,历史记录超过90%的生存率[11-14]。由于成为常识,即自身牙齿移植方法对移植面积的骨和软组织的发育具有良好影响。最近已经定量证明了这种观察[15]。在本例报告中,它令人印象深刻地记录了在妊娠式35移植到妊娠位置24之后,在预先在显着的垂直灌注系(图1c)中的初级摩尔中,可以实现骨高的显着增加。这种垂直骨长显然是在图3B中看到的相对5B:垂直骨缺损在婚前移植后的1.5岁内完全解决了(图5B,白色箭头)。磨牙移植展示了手术后11年的阳性活力探测。纸浆腔的湮灭可以被解释为愈合过程后至关重要的反应(图7c)[4]。与治疗前的基本情况相比,胚胎植入物最终插入后的美学和功能,得到了高度令人愉悦的结果(图7A-7C)。
图1:十岁的女孩内部临床视图一见钟。
A.以中心闭塞的两个钳口的正面视图(清晰可见的DiaStema和Infrousted Molorars)。
B.上牙齿拱门牙齿的咬合视图。
C.矫形图(妊娠14,13,12,22,23,24,25,45)。
图2:正畸和手术规划(详细介绍文字)
图3:的35→24自体移植后的临床和放射照相的情况下,73→22和83→12。
A.用钛创伤夹板去除缝线后一周的临床观点仍然原位六周。
B. OP矫形正面图,具有通过黄色标记箭头表示的移植位置。白色箭头表示初始移植区域中的初始垂直骨折。
图4:临床视图去除钛创伤夹板后六周。皮肤部12,22和24中的三个移植器在没有任何牙龈刺激的情况下稳定地发现。
图5:临床和X射线发现1.5岁以后持近。
A.咬已同时被正畸医生提出,该纵裂略有复发。
B.移植的初级齿和移植的磨牙由黄色箭头标记。在双牙齿移植的两种后,根长的顶端吸收是可见的,没有炎症符号。与早期的OP X射线检查相比(图2),区域24(白色箭头)的垂直骨高度显着增加,现在实现了非移植的健康侧的高度。
图6:临床及X线表现7年后-OP。
A.正常的对齐持续了两大体的17岁的女孩。在正畸疗法中排除了正畸疗法中的过膜13,12和22,23中的移植和非移植的初级齿。
移植乳牙B.渐进根尖骨吸收是可见的。
图7:临床和X射线调查结果11年后21岁的患者。
A.面部观点
B.咬合视图,透露后正畸咬伤后令人愉悦的临床情况。
C.已经取出了初级移植物并被内塞植入物取代,而无需精细化骨增强程序。
鉴于本病例报告,术语“时间窗口”对于正畸师,牙医和颌面外科医生之间的跨学科合作来说是一个完全新的含义。初级齿移植术,只有尚未完全剥离,只有尚未完全脱模,需要患者在早期混合牙列中给予原位原位。此后,由于第二牙列的后来喷发,有必要耐心等待婚前移植。在“两相移植概念”期间,我们已经解决了早期混合牙列(6-10岁)的原发性牙齿移植和初色混合牙列(10-14岁)中的初级移植术语问题。“两相移植概念”[16]。这个概念最初是为儿童和青少年的创伤性蛀牙而开发的。它允许儿童(6-10岁)的牙齿创伤性丧失的儿童通过原发性牙齿移植(I相)接受固定的假体康复。到目前为止,此年龄段的唯一可选择的替代治疗方案是可拆卸假牙或粘合剂桥的假体结构,代表患者及其父母的显着心理社会负担[17,18]。患者满意于两种类型的自聚体持续性,如问卷评估的优异[3,15,19]。
在10岁以下的创伤性牙齿损失的情况下,婚前移植是在晚期混合牙列(II期)中10至16岁以上的年轻患者的牙齿替代的长期选择[8-14]。在I II阶段中的前后牙齿连续移植后,II期的婚前移植[16],Circially取决于在密切咨询中的矫正者,牙医和颌面外科医生治疗团队的决策和经验with the patient’s parents. Ultimately, the decision as to whether to carry out premolar transplantation at the age of 12 to 14 or to permanently insert an implant later in life at the age of 18 at the earliest in the aesthetically challenging area of the upper front remains a challenging multidisciplinary task.
具有初始牙齿和次牙和内塞植入的自生齿移植的技术可靠地治疗具有多个牙齿的患儿。重要的是,医生知道每种类型的自生牙齿移植的最佳时间。因此,强制性主义者,牙医和颌面外科医生之间的早期跨学科规划是强制性的,因为只能在完成落叶牙齿的剥离之前发生自生牙齿移植。自生牙齿移植可靠地支持骨骼和软组织生长,因此将孩子们留下可移除的假牙,这与儿童和父母相似的高度接受。
在这里下载临时PDF
文章类型:案例报告
引文:Nolte D,Braikeh S,Kurfurst B,Krause A,Linsenmann R(2018)案例报告:多种牙齿刺激 - 11年后重新更新。INT J DENT口头健康4(4):DX.DOI.ORG/10.16966/2378-7090.266
版权:©2018 Nolte D等人。这是在创意公约归因许可的条款下分发的开放式文章,其允许在任何媒体中不受限制地使用,分发和再现,只要原始作者和来源被记入。
出版历史记录:
所有Sc德赢娱乐国际i Forschen期刊都是开放获取的