图1:前处理矫形图显示清晰的上颌窦,在左上颌后牙槽骨段无骨透光性。冠内或根尖周无放射透光度。牙槽骨水平在正常范围内。

Adegbenga Otun*Ahmad一Qazali亚历山大了马克·钱伯斯
美国德克萨斯大学安德森癌症中心口腔肿瘤与颌面修复学系*通讯作者:美国德克萨斯州休斯顿77030,德克萨斯大学安德森癌症中心Pressler街1445号1400号,安德森癌症中心,德克萨斯大学休斯顿77030,德克萨斯大学安德森癌症中心,德克萨斯大学休斯顿77030,德克萨斯大学安德森癌症中心,德克萨斯大学休斯顿77030,德克萨斯大学安德森癌症中心,德克萨斯大学休斯顿77030电子邮件:aootun@mdanderson.org
背景:鼻型NK t细胞淋巴瘤是一种侵袭性和罕见的非霍奇金淋巴瘤,与eb病毒密切相关,主要累及和破坏面部中部结构,存活率低。该病在发病时是潜伏的,早期非特异性症状掩盖了潜在的肿瘤过程。
案例描述:患有慢性鼻窦炎症状的NK T细胞淋巴瘤的情况。基于后期牙科疼痛的初级保健医生(PCP)感染的牙科源性血统感染。口腔护理专家的推荐和评估专门排除了异常血容产的感染,但由于在没有鼻塞,外翻和肿胀的情况下,由于不寻常的呈现而未能认识到潜在的肿瘤过程。
临床相关性:它必须被临床医生识别,其中10%的头部和颈部恶性肿瘤是原产地的非鳞状细胞癌(SCC),当症状和临床症状处于方差时,必须包含在差异诊断中。当常规治疗未能改善患者报告的症状时,提示转诊到专家应脱离潜在的恶性过程。诊断延迟直接影响治疗发病率,治疗成本,生活质量和生存结果。
结外NK T细胞淋巴瘤;eb病毒;鼻质量;中线致命肉芽肿;放射治疗;化疗;头颈部恶性肿瘤
自然杀伤细胞(NK)是由骨髓中的淋巴母细胞多能干细胞发展而来的细胞毒性细胞。NK细胞代表了一种不同于t淋巴细胞的淋巴细胞[1,2]。NK细胞通过靶向和溶解正在发育的肿瘤细胞和被病毒或细菌[1]感染的细胞来保护宿主。
目前世界卫生组织(WHO)的分类[3,4]确认了两种形式的自然杀伤细胞淋巴瘤:结外NK/ t细胞淋巴瘤和侵袭性NK细胞白血病(ANKL)。结外NK/ t细胞淋巴瘤(鼻型)是一种罕见的侵袭性非霍奇金t细胞淋巴瘤[5,6],70%以上的病例主要累及鼻腔和副鼻部结构[6,7]。它在东亚、美洲土著和南美种族的个体中普遍存在,并遵循一种侵袭性的临床过程,死亡率很高[7,8]。邻近的腭、眼眶和副鼻窦的副鼻窦结构常因局部扩张而破坏,造成毁灭性的影响,无论是否伴有骨侵蚀。鼻型NK/ t细胞淋巴瘤曾被认为是中线致死肉芽肿的一个谱系,但免疫组化技术使我们能够更好地了解这种特殊疾病表现的恶性性质。它与其他肉芽肿性疾病(如结节病和瓦格纳肉芽肿病)不同,具有相似的破坏性表现,但在腭中有不同的临床过程,因此对这种毁灭性和致命的疾病有更好的治疗方案。这种情况的一个显著特征是,Epstein-Barr病毒总是与NK/ t细胞淋巴瘤相关,并被认为在淋巴瘤发生中起一种尚未确定的作用,并代表一个重要的诊断标准[9]。
由于鳞状细胞癌(SSC)约占头颈部恶性肿瘤的90%,其表现如溃疡不愈合、出血、疼痛、边缘卷曲或隆起、硬化等都得到牙医和医生的充分认识,促使医生及早进行专科转诊。然而,应该认识到,非ssc可能会出现不熟悉的模糊体征和症状,与潜在的肿瘤过程没有区别,从而导致诊断延迟,从而增加发病率和死亡率。
提出的病例强调了包括肿瘤过程的重要性,在鉴别诊断的患者谁呈现非特异性症状,对传统治疗无效。无论最初的表现是良性的,这些病例都应该由普通牙医或初级保健医生尽早转介到口腔和颌面外科医生或耳鼻喉科(ENT)专家进行额外的影像学和诊断检查。
一名43岁的西班牙裔男子于2016年11月下旬在德克萨斯大学MD安德森癌症中心接受口腔肿瘤和颌面修复服务,作为白血病部门的转诊。他表现为面中部肿块累及鼻腔,伴有口腔内扩张和糜烂,但硬腭无穿孔。此外,有广泛的淋巴瘤浸润累及上颌左唇牙龈。
患者出现症状的病史始于2016年10月中旬,患者因持续鼻塞和鼻子瘙痒就诊于初级保健医生,持续时间为2周。他的初级保健医生给他开了一个为期一周的全身抗生素治疗和类固醇为基础的鼻减充血剂作为初始治疗,因为他是一名园林设计师。最初的治疗对症状没有反应,在向主治医生就诊的2周内,症状进展到严重的左侧上颌窦压力和上颌左侧后牙咬合疼痛。基于新的报告,PCP向他的牙医提出了一个转诊,以确定和管理提出的牙源性症状。
2016年11月初,患者在第二次初级保健医生就诊后的一天内前往当地牙医诊所就诊。进行了全面的临床评估和影像学检查(图1)。患者没有出现面部不对称或面部皮肤变化。口腔内检查显示口腔黏膜正常完整,口腔内结构解剖正常。刺激后上颌后左象限牙齿热测试结果为阴性,叩诊测试结果为非局部性轻度压痛。患者牙周健康,口腔卫生良好。除上颌左第二前磨牙根无症状保留外,临床上无明显龋损(#13)。矫形断层扫描显示双侧上颌窦无浑浊,上颌牙槽骨水平在正常范围内,冠状面内没有显示龋病或相关的根尖周放射透度。根尖解剖正常,无吸收、扩口或移位。x线片上发现残留根#13,根尖周无相关的放射透光度
图1:前处理矫形图显示清晰的上颌窦,在左上颌后牙槽骨段无骨透光性。冠内或根尖周无放射透光度。牙槽骨水平在正常范围内。
经过临床检查和适当的影像学检查,确定其表现的症状是非牙源性起源,可能是上颌窦起源。治疗建议是由口腔和颌面外科医生进行手术摘除保留根#13。取药前给予1周疗程的抗生素治疗(阿莫西500mg b.i.d × 7天)。保留的#13根被平安无事地取出(图2),如果症状持续,建议患者寻求耳鼻喉科专家的进一步评估。
图1:(左)拔牙前和(右)拔牙后保留的13号根尖的根尖周x线片。周围牙槽骨正常的小梁结构。
保留根拔术后2周,患者向耳鼻喉科医生报告,上颌牙龈和上颚有症状的面中部肿块迅速扩大和口腔内非典型组织增生。鼻咽镜检查发现一个鼻窦肿块,并对异常组织样本进行活检并提交组织学评估。免疫组化染色显示CD3、CD30、CD56穿孔素、颗粒酶B阳性,ALK-9阴性,提示NK t细胞淋巴瘤。
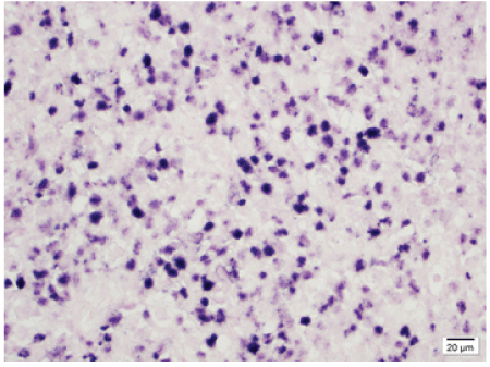
在组织学上证实为高度怀疑淋巴结外NK/ t细胞淋巴瘤后,患者转至当地医院进一步检查并提出治疗建议。由于他呈现的症状的复杂性,他的护理被转到德克萨斯州休斯顿的MD安德森癌症中心,在白血病/淋巴瘤科进行多学科管理。进一步的手术活检和免疫组化检测证实淋巴瘤和原位杂交eb病毒编码RNA(图3)在恶性细胞中呈阳性,证实了结外NK t细胞淋巴瘤(鼻型)的诊断。
图3:病理切片显示EBER阳性NK/ t细胞。
计算机断层扫描与颌面面积的对比和基地的头骨显示广泛的软组织肿瘤测量5.5×5.3×5.4厘米,左鼻腔和扩展到左前筛骨的空气中细胞,与当地扩展和骨破坏内侧墙进入左上颌窦。肿块的上部延伸累及左眼眶和鼻泪管。影像学显示双侧颈部淋巴结肿大,左侧突出;部分结节中央坏死。
白血病/淋巴瘤肿瘤委员会推荐的治疗方法是对头颈部进行联合化疗和靶向放疗,以控制局部疾病。放疗计划包括在临床治疗体积(CTV)的危险器官,如唾液腺和相关结构的颌骨由于肿瘤的范围。与口腔肿瘤科和颌面修复科协商,要求提供基线放疗前的颌面评估。
口腔肿瘤科会诊的目的有两个方面;1.目的:在放射治疗开始前,识别和处理局部感染和预后无希望的牙齿,以降低发生颌骨放射性骨坏死(ORN)的风险。2.由于局部破坏性肿瘤导致鼻底穿孔和硬腭形成口鼻/鼻窦通讯的高风险,评估是否需要上颌闭孔假体。这种并发症会导致言语和吞咽障碍(口腔期),以及进食时食物和液体的鼻腔反流,对功能和社会心理造成不利影响。
病人是流动的口腔肿瘤服务和明显的痛苦迹象的表现,局部侵袭性肿瘤。他的病史直到被诊断为癌症,他的健康状况相对较好,尽管有点肥胖。他没有潜在的系统性疾病,也没有长期服用药物。他没有个人或家族的癌症病史。他不吸烟,也不报告消遣性毒品使用,只在社交场合平均每周饮酒1单位。他是一名庭院设计师。
口腔外检查发现无症状的面部中部不对称,累及左侧鼻腔与左侧脸颊、眶下区域和上颊间隙(图4)。在II级和III级有相关的双侧颈部淋巴结肿大。在口腔内,患者表现为口腔内肿物累及左侧突出的硬腭,上覆角化粘膜腭中部坏死,腭骨外露,但未穿孔(图5)。
图4:面部不对称性突出左侧肿胀扭曲的鼻孔和颧骨和初虫轮辋。双侧颈部转移性节点疾病明显和触诊。
图5:(左)口腔内表现,中腭坏死,左上颚泛红肿胀。(右)上颌左唇牙槽黏膜有淋巴瘤浸润,坏死的蜕膜延伸至中线。
该患者因口腔组织无牙齿疾病而出现低风险的ORN,经评估后开始放疗以控制肿瘤,从口腔肿瘤的角度被清除。它决心不捕捉记录牙齿解剖的初步印象上颌闭孔的制造假肢在这个被任命为没有oro-antral沟通和改变口腔组织的可能性高呈现任何记录捕捉准确严谨的适合未来的闭孔假肢制造。
2016年12月初,针对鼻腔病变和双侧锁骨上淋巴结的同步化疗DeVIC(地塞米松、依托泊苷、异环磷酰胺和卡铂)和调强放疗(IMRT)作为标准算法方案开始治疗。
2017年1月的第一周,在开始治疗4周后,他因呼吸窘迫和严重呼吸困难和呼吸喘鸣症状出现在MD Anderson癌症中心的急诊室。胸部x光显示多个离散的肺团块,最初被认为是肺部真菌感染。肺肿块活检显示NK/ t细胞淋巴瘤远处肺转移。头部和颈部的计算机断层扫描证实了顽固性和进展性疾病,并在一线治疗后出现脑转移。由于广泛的暴发性疾病,合理的治疗被修改为姑息目标,利用免疫疗法布伦妥昔单抗和地塞米松。病人三周后死于疾病并发症。
结外NK/ t细胞淋巴瘤(ENKL)是一种侵袭性罕见的非霍奇金淋巴瘤,占亚洲和中美洲非霍奇金淋巴瘤的7-10%。ENKL由于其非特异性的早期表现,由于症状的多样性,早期诊断该疾病过程充满了困难。无论专业如何,所有牙医都必须站在癌症预防的最前沿,并在他们的临床实践范围内包括对所有新和已建立的患者的头部、颈部和口腔组织的常规和系统的定期评估。这种临床检查必须伴有特定的问题,这些问题可能会揭示潜在疾病过程的细微早期症状,如愈合缓慢的溃疡、肿块、吞咽困难、发音困难和耳痛。如果这种症状在常规治疗后持续超过两周,应立即转介并由适当的口腔医学、口腔颌面外科或耳鼻喉科专家进行进一步评估。
发病机制尚不清楚,但与Epstein-Barr病毒密切相关,该病毒可能作为一种肿瘤病毒。世界卫生组织的标准要求在样本中鉴定epsteinbarr编码RNA(核糖核酸),以确定NK/ t细胞淋巴瘤[8]的诊断。免疫组化标记nk细胞CD56或t淋巴细胞CD3抗体有助于确诊。
起源于牙源性的疼痛是一种不寻常的最初表现,如本例中所见,鼻受累和肿胀更为常见[2]。根据其表现,本病常被误诊为其他硬腭中线破坏疾病之一,如韦格纳肉芽肿病、结节病或可卡因引起的腭中线破坏[10]。在文献中也有报道称,眼眶ENKL同样是致命的,经常在初始阶段被误诊为眼眶蜂窝组织炎,导致失明,因为诊断延迟[6]。
在过去的十年中,早期ENKL患者的总体生存率有了显著的提高。这是由于治疗方案的改变,从顽固性的含蒽环类化疗方案,如CHOP(环磷酰胺,羟道霉素(阿霉素),Oncovin(长春新碱)和泼尼松龙),传统用于淋巴瘤/白血病的含铂方案,如DeVIC(地塞米松,依托泊苷(VePesid),异环磷酰胺、顺铂)联合同期辐射(CCRT)[11]。蒽环类化疗方案之所以难以实施,是因为肿瘤细胞膜上表达的多药耐药基因p -糖蛋白产物(MDR1),会主动将蒽环类药物从细胞质中泵出,使其失效。然而,p -糖蛋白对铂(顺铂)或含有l -天冬酰胺酶的方案没有效果,如SMILE(类固醇,甲氨蝶呤,异环磷酰胺,l -天冬酰胺酶和依托泊苷),因此有效地对抗结外NK淋巴瘤。Jimenez-Perez等报道了1期和2期疾病患者联合化疗放疗治疗的总缓解率(RR)为82%,完全缓解率为79%。在Tse等人的另一篇论文中,报道的[2]较高的ORR为89.7%,CR率较低为69%。另一种治疗方法是针对EBV上调的淋巴瘤细胞PD-1/PDL1(程序性死亡配体)和CTLA4(细胞毒性t淋巴细胞相关蛋白4),使用检查点抑制剂,如Pembrolizumab或nivolumab[12,13],一种人源化抗PD-1单克隆抗体。这些特定的分子PD-1/PDL1和CTLA4负责肿瘤产生负免疫应答、抵抗检测和促进增殖的能力。
结外NK/ t细胞淋巴瘤是一种高度侵袭性的淋巴瘤,如果不及时处理,特别是如果出现较晚,预后差,死亡率高。在没有明显的牙源性来源或牙槽感染的情况下,常规治疗对症状没有反应,应提醒初级保健医生或普通牙医注意更隐蔽的疾病过程,并及时转诊专家评估和适当的影像学检查。
没有一个
在此下载临时PDF
文章类型:病例报告
引用:Otun A, Qazali AA, Won A, Chambers M(2018)自然杀手t细胞淋巴瘤(鼻型)早期表现为牙源性疼痛。口腔健康杂志4(3):d .doi。org/10.16966/2378 - 7090.261
版权:©2018 OTUN A等人。这是在创意公约归因许可的条款下分发的开放式文章,其允许在任何媒体中不受限制地使用,分发和再现,只要原始作者和来源被记入。
出版的历史:
所有SC德赢娱乐国际I Forschen期刊都是开放式访问权限