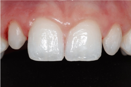
图1:病例的初步临床情况

马提尼美联社de Souza FI*马扎LCda Cunha Melo RAAraujo NS罗莎EP
巴西保利斯塔州立大学牙科学院,Araçatuba牙科材料与修复学系*通讯作者:Fernando Isquierdo de Souza博士,巴西牙医学院Araçatuba-Unesp,材料部Odontológicos e Prótese, Rua José Bonifácio, 1193-Araçatuba-SP-16015-050,巴西,e -mail: fernandofoa@hotmail.com
圆锥形牙齿的治疗对牙科团队来说是一个挑战,特别是对执行修复体的牙医来说,因为在大多数情况下只有很少的参与元素,这使得很难在涉及的元素之间获得解剖学和颜色一致性的美学。圆锥形牙齿是天然牙齿大小和形状的变化。这些变化对患者的微笑有美学效果,因为患牙比正常的小,有一个锥形的切面。最常用的修复方法是直接或间接陶瓷树脂复合修复,首选陶瓷树脂复合修复。然而,陶瓷材料的广泛应用使得获得更持久和可预测的结果成为可能,因为水泥为陶瓷材料提供了足够的粘附性能,这自然模拟了牙齿的美学;因此,这些新材料改变了上述情况。正确的处理方案和新型粘接陶瓷材料的使用,使得比复合树脂处理更为保守的方法获得良好的功能和美观效果。
圆锥形的门牙;层压贴面板;牙科陶瓷;锂二矽酸盐
圆锥形牙齿被归类为牙齿大小和形状的异常,其特征通常是尺寸比正常的小,尖尖取代了上颌侧门牙近平的表面特征。这种异常表现得更为频繁,影响约1%的人口,且在女性中更为常见。它也可能与发育不全有关,或者是一种综合征的特征体征的一部分[1-3]。
这种异常会转化为患者的审美不适,因为这些牙齿的外观与正常标准相差甚远。最常见的治疗方式包括直接或间接复合修复陶瓷树脂,前者是首选治疗方法。然而,由于尽可能广泛地使用陶瓷,以获得更可预测和持久的治疗结果[4]。
由于其优异的仿生特性、生物相容性、耐久性、机械强度和高的化学稳定性,即使在最小厚度的修复中,陶瓷也在修复牙科中迅速发展[5,6]。根据每个病例的需要,单一的陶瓷系统可以满足不同的需求,它可以修复冠和贴面,隐形眼镜,或微型陶瓷碎片。此外,在这种情况下,增强陶瓷系统——氧化铝、氧化锆,特别是在这种情况下,二硅酸锂能够提供增加的机械阻力,而不损害修复的美观效果[7,8]。
此外,实现间接修复对牙科技术人员来说是一个主要的挑战,特别是当涉及到年轻患者的前牙。复制特定技术方面的能力,如半透明区域或不同的阴影和纹理呈现在相邻的牙齿是区分这个案例的结果,其目的是使修复在与相邻的牙齿比较时可被识别。
当处理较薄的修复体时,在修复治疗结束时,有一个额外的因素至关重要:luting骨水泥的能力不会对修复体的最终颜色产生负面影响,即使是在很长一段时间内[9]。有各种各样的工具可以用于薄陶瓷修复。这些套件都配有色度指南,“试入”功能可以测试和选择最合适的水泥颜色。
因此,报告的临床病例在获得美学治疗结果方面遇到了一些有趣的挑战;例如,对患者的美学期望很高,年轻牙齿的特征是主要的白色斑块导致“乳白色”外观,以及需要制作薄修复体,这些修复体往往具有一定程度的透明度为了尊重案件的限制。
本文的目的是描述用二硅酸锂(IPS e.Max;Ivoclar Vivadent AG, Schaan,列支敦士登)用于上颌侧切牙圆锥形达到满意的解剖,以满足当前的美学标准,而不执行牙齿磨损。
一位20岁的女性患者抱怨说,12和22号牙齿(FDI牙谱系统)的直接复合树脂修复体的颜色和形状都不美观。此外,她报告说,由于担心破坏修复,她在日常活动(如吃饭)中的不确定性。
检查时,发现侧切牙的颜色和解剖结构都不令人满意(图1)。尽管中切牙占主导地位,但总体而言,微笑的构成令人满意,构成了一个和谐的整体,从而揭示了仅对锥形牙进行修复干预的必要性。
图1:病例的初步临床情况
患者的上下牙弓用添加的硅酮(Express XT;3MESPE,美国明尼苏达州圣保罗市)模制,铸型被提交给牙科实验室,以便为模型上蜡。
使用诊断上蜡,一个口罩与添加硅酮(Express XT;3MESPE, St. Paul, MN, USA)准备模型供患者批准,以及在去除现有修复体时使用的临时修复体。治疗方案包括使用二硅酸锂陶瓷(IPS e.max Press;Ivoclar Vivadent, Schaan,列支敦士登)。
在用于树脂修复的砂盘(SofLex Pop-on;3M ESPE, St. Paul, MN, USA)。没有戴在牙齿上执行组织,只删除已有的复合(图2)。两个牵开器连线插入2牙齿的牙龈缝隙借助适当的工具,与规按照患者的牙龈生物型(00和0号超包;Ultra dent Products, South Jordan, UT, USA),印模使用添加硅酮(Express XT;3MESPE, St. Paul, MN,USA)。
图2:复合树脂修复体去除后的临床表现
印模再次送到牙科实验室,用于制作贴面。颜色选择是在数码照片和Vita classic色度指南(Vita Zahnfabrik GmbH, Germany)的帮助下进行的,与实验室常规操作一样(图3)。
图3:陶瓷的颜色选择摄影。观察在过渡期间bisacrílica树脂在牙12
在大约2周的陶瓷修复时间内,患者接受双丙烯酸复合树脂(Protemp 4;3MESPE, St. Paul, MN, USA)。根据制造商的指示(图3),在树脂凝固时间完成后,将临时修复体倒入通过成型诊断蜡制成的面具中,并放置在患者的牙齿上。
牙科化验所提供的贴面切缘厚度为0.4 ~ 2.0 mm;这些已经被证明是“耐水的”,其特征是在去除临时修复后简单地将修复放置在牙齿上。在这一阶段,我们评估了修复体对牙基质的适应性和近端接触的准确性。
此外,还有一种“防潮”陶瓷修复,它是使用贴面水泥的阴影引导,这是专门为薄部件的胶结开发的。这一阶段对于将要使用的luting水泥的颜色选择至关重要,这样它就不会对修复体的最终颜色产生负面影响,因为我们的目标是完全专业地复制自然牙齿。用试入浆润湿后,选择颜色证明‘WO’用于修复体的胶结(RelyX Veneer, 3MESPE, St. Paul, MN, USA)。之后,我们开始修复骨水泥的过程。
用二硅酸锂增强的陶瓷属于酸敏陶瓷,因此易于酸蚀刻和硅烷化。用10%氢氟酸刻蚀修复体的内表面20s,然后用水清洗和干燥。之后,应用37%磷酸1 min,再用水清洗干燥,然后应用硅烷(RelyX陶瓷底漆;3M ESPE, St. Paul, MN, USA)。在等待制造商推荐的溶剂蒸发后,这一过程结束于粘合剂系统的应用(Single Bond 2;3MESPE, St. Paul, MN, USA),并使用20[10]的空气喷射去除多余的粘合剂。
在贴面准备好进行粘接的情况下,使用37%磷酸对牙齿进行20秒的蚀刻。清洗和干燥牙齿后,涂抹一层粘合剂(Single Bond 2;3MESPE,St.Paul,MN,USA),并使用压缩空气将多余的粘合剂去除10秒,相对隔离。
将RelyX Veneer (3MESPE, St. Paul, MN, USA)水泥直接应用于修复体的内表面,使修复体正确定位于牙齿上。暴露于固化光(VALO, Ultra dent Products, South Jordan, UT, USA)引发两侧颊部和腭部聚合5s后,使用探针和牙线去除近端表面多余的水泥。然后,每个表面接受40s的养护光,以完成水泥的养护(图4)。
图4:这是这个案子的最后一个方面
图5:修复体胶结2年后的美学效果。前视图
图6:修复体胶结2年后的美学效果。右侧视图
图7:修复体胶结2年后的美学效果。左视图
图5-7从不同角度显示了2年随访后的美容治疗效果。
为了寻找一个美丽的微笑,或者一个符合当今审美标准的微笑,陶瓷修复技术得到了越来越多的应用。其目的是促进牙齿形态的改变,例如,除替代直接或间接的树脂修复外,还可以通过闭合张力来促进有色牙齿的颜色变化。由于陶瓷的特点,这些改变很可能会成功进行,这些特点包括更长的临床寿命,更低的易感色素沉着,更少的骨折,高生物相容性,转化为满意的机械强度和高美学[11,12]。
据临床研究报道,在使用20年后,陶瓷贴面的存活率为82.93%,其中44.83%的失败率是在这段观察期间由于骨折引起的[13],而在与牙本质基质粘结的块体中[12]。除其他因素外,这种高成功率归因于牙齿结构的保存,因为残余牙釉质的厚度越大,就越有可能与陶瓷[14]有效结合。
自1980年首次报道陶瓷层压材料的使用以来,陶瓷和粘接剂材料的不断发展和动态进步使得这些材料的使用取得了重大进展,这些进展直接反映了剩余牙齿结构的磨损。目前,我们生活在微创概念的现实中[15-17],并在其范围内操作,本病例报告描述了在不进行任何牙齿准备的情况下,在重要的上颌侧切牙锥体中制造陶瓷层板。
在这种情况下,通过使用CAD/CAM处理手册或甚至压片制作的陶瓷二硅酸锂增强系统可以被认为是最好的选择之一,正如在本例中,因为最近的临床研究[18]显示了非常良好的结构完整性修复[19],即使在后牙中也不存在骨折或“碎裂”等机械故障[20,21]。
考虑到本案例中所使用的陶瓷修复体的厚度,值得注意的是,所使用的luting剂的颜色随时可能发生变化,从而对修复体[22]的最终美观效果产生负面影响。与其他研究相比,本临床病例中使用的水泥是完全光固化的,这表明这些材料具有很高的颜色稳定性,因为它们的组成中不含胺。然而,实验室研究显示[23]的不透明度随时间变化。
然而,没有临床研究报告长期随访,以适当的评估手段,以验证这些前牙修复在不同的口腔内条件下的颜色稳定性,这是不可缺少的需求,在当前的牙科阶段,这是一个因素,构成了评价治疗执行的限制。然而,长期的颜色稳定性是预期的,因为没有临床或摄影条件的变化,可能会影响治疗的结果,患者仍然满意。最后,只有在完成精心设计的前瞻性临床研究后,我们才能准确地回答这个关键问题:在实验室测试中观察到的变化在多大程度上与实际修复的临床表现相对应?
本病例报告描述在去除现有的直接复合树脂修复体后,不进行任何牙齿准备,用陶瓷修复体对侧切牙圆锥进行解剖矫正。在2年的随访期间,二硅酸锂增强陶瓷修复体与邻牙无缝结合,对周围牙龈无损伤。
作者对本研究中提到的产品或公司没有经济利益。
在此下载临时PDF
物品类型:病例报告
引用:Martini AP, de Souza FI, Mazza LC, da Cunha Melo RA, Araújo NS,等(2016)锥形侧切牙层压贴面的美学治疗:a2年随访。国际牙科口腔健康2(4):doi http://dx.doi.org/10.16966/2378-7090.180
版权:©2016 Martini AP,等。这是一篇开放获取的文章,在知识共享署名许可协议的条款下发布,该协议允许在任何媒体上无限制地使用、发布和复制,前提是注明原作者和来源。
出版的历史:
所有Sc德赢娱乐国际i Forschen期刊均为开放存取