牙科和口腔卫生科学德赢娱乐国际

全文

病例报告
非外科牙周治疗氨氯地平致牙龈过度生长1例报告

Rosamma约瑟夫杰里定

1牙周科,政府牙科学院,卡利特,喀拉拉邦,印度

*通讯作者:Rosamma Joseph,印度喀拉拉邦卡利库特政府牙科学院牙周病学系教授,电话:9446070599;电子邮件:drrosammajoseph@gmail.com


摘要

牙龈增大是牙龈疾病的一个常见特征,是对各种局部和全身状况的过度反应。它与越来越多的药物有关,如钙通道阻滞剂、抗惊厥药和免疫抑制剂。牙龈过度生长会导致美观缺陷、言语障碍和咀嚼困难。药物引起的牙龈过度生长是牙周医师面临的一个挑战,其主要原因是对其发病机制的认识不足,难以选择合适的治疗方案,以及牙龈扩大的复发。本病例报告讨论非手术牙周治疗(刮治和根平面治疗以及药物替代)在氨氯地平诱导牙龈过度生长的重要性。

关键字

牙龈增生;氨氯地平;非手术牙周治疗

介绍

牙龈过度生长是钙通道阻滞剂(硝苯地平、氨氯地平、非洛地平)、抗惊厥药和免疫抑制剂的副作用。以前它被称为“牙龈增生”和“牙龈肥大”。这些术语并不能清楚地解释我们目前对宏观放大、组织学改变的牙龈的理解。“过度生长”是细胞和细胞间物质都增加的首选术语。

钙通道阻滞剂被用于各种心血管疾病的治疗,如心绞痛和高血压。自1984年以来,这些药物已被报道与牙龈扩大有关。硝苯地平最常与牙龈扩大有关,其发生率为14.7% ~ 83%[1]。与其他钙通道阻滞剂[2]相比,氨氯地平诱导的牙龈过度生长(33.3%)相对较少。Seymour等人是第一个报道氨氯地平引起牙龈过度生长的人,在文献[3]中只有少数报道了这种药物与牙龈过度生长的关系。

病历

一个50岁的男性患者被提到了牙周大学(Calicut)的牙科文学系,患有下牙龈肿胀的主要投诉,在前六个月内一直在增加。患者的病史透露,他正在服用高血压的药物,并在过去6个月内口服5毫克/天/天。

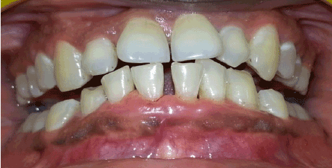
口腔内检查显示口腔卫生差,菌斑评分和牙石评分高,下前牙面、舌侧牙龈结节状增大(图1、2)。牙龈增大累及边缘、乳头状及附着龈。牙龈发炎,质地柔软,多处自发性出血。病人由于生长过快,说话和咀嚼有困难。根据1999年Eva Ingles关于牙龈过度生长的临床指标[4],将牙龈过度生长分为III级(明显过度生长,表现为牙龈侵犯临床冠,牙龈边缘轮廓凸出,颊舌尺寸约为3mm或以上)。探测袋深度大于6mm,乳头可伸缩)。

图1:第一阶段治疗前牙龈发炎、肿大

图2:I期治疗前的切牙视图

治疗计划包括口腔卫生指导,专业的口腔预防和医疗咨询,以考虑可能改变高血压药物。患者接受了I期牙周治疗,包括全口洁牙、根规划和0.2%洗必泰溶液口内冲洗。在一期治疗一个月后,牙龈过度生长的情况显著减少,出血评分也有显著改善,斑块评分和结石评分,但过度生长并未完全消退(图3)。患者转至医生,根据医生的建议,将氨氯地平改为氯沙坦/氢氯噻嗪联合用药。患者接受严格的口腔卫生治疗,3个月后复查。在召回时,牙龈过度生长完全缓解,下前牙探测袋深度小于4毫米(图4)。目前,患者处于维护期,每隔3个月定期召回。

图3:一期治疗后一个月,显著减少牙龈过度生长

图4:三个月后牙龈过度生长完全缓解

讨论

自1939年以来,药物诱导的牙龈扩大已经认识到苯妥林作为抗癫痫药物后几个月。在此之后,文献中出现了越来越多的药物诱导的牙龈过度生长报告,但诱导的确切机制仍未清楚。最常用的药物组是抗惊厥药,免疫抑制剂和钙通道阻滞剂。钙通道阻滞剂是一组专门开发的药物,以协助管理心血管条件,包括高血压,心绞痛,冠状动脉痉挛和心脏心律失常。钙通道阻滞剂可以基于其化学组成作为苯并噻嗪类衍生物(Diltiazem),苯基烷基胺衍生物(维拉帕米)或取代的二氢吡啶(氨基甲脒,Felodipine,IsRadipine,Nicardipine,NifeDipine,Nitrendipine,氧道平,尼莫氏素和Nisoldipine)来分类。钙通道阻断剂的作用机制是通过抑制心脏和平滑肌细胞细胞膜的钙离子流入,从而干扰或阻断骨髓内钙的动员。这组药物的主要副作用来自过量的血管舒张,表现为面部冲洗,头晕,头痛和水肿。Ramon等人。1984年发表了关于与硝苯地平相关的牙龈过度生长的第一个报告[5]。

与钙通道阻滞剂相关的牙龈过度生长的发病机制是模糊的。据报道,Nifemipine和氨氯地平可能干扰钙转运和钙依赖性过程。这些药剂可以减少牙龈成纤维细胞和T细胞中的细胞溶质钙水平,从而干扰T细胞增殖或通过牙龈成纤维细胞的活化和胶原合成[1]。Lucas等人。[6]和琼斯等人。[7]表明,牙龈过度生长的结果是由硫酸化 - 粘多糖(糖胺聚糖)和胶原蛋白的存在增加,以及丰富的活性成纤维细胞增加的细胞外磨碎物质的过度生产。牙龈扩大可能与口服卫生和斑块积聚不足有关[8]。难以确定增加的斑块积累是否在牙龈过度生长或扩大的牙龈的存在之前是由于口腔卫生实践无效。证据表明,斑块诱导的牙龈炎加剧了药物诱导的牙龈过度生长的表达[9]。细致的斑块控制和所得炎症的降低将抑制牙龈过度生长的发展和复发。 Hancock and Swan successfully achieved significant reduction of nifedipine-induced gingival overgrowth by thorough scaling and root planning and scrupulous plaque control [10]. Lederman D et al. opined that discontinuation of nifedipine has resulted in improvement of gingival condition within one week period [11].

牙龈过度生长的处理取决于控制牙龈炎症和维持有效的口腔卫生,并配合有效的I期牙周治疗,包括洁牙、牙根规划和适当的口腔卫生指导。在我们的病例中,我们能够通过非外科牙周治疗和高血压药物治疗的改变来显著减少牙龈过度生长。

参考文献
  1. Barclay S, Thomason JM, Idle JR, Seymour RA(1992)硝苯地平致牙龈过度生长的发生率和严重程度。临床牙周杂志19:311-314。[Ref。
  2. Jorgensen MG(1997)氨氯地平相关性牙龈增生患病率。J牙周杂志68:676-678。[Ref。
  3. Seymour RA, Ellis JS, Thomason JM, Monkman S, Idle JR(1994)氨氯地平诱导牙龈过度生长。临床牙周杂志21:281-283。[Ref。
  4. Ingles E, Rossmann JA, Caffesse RG(1999)药物诱导牙龈过度生长的新临床指标。Quintessence Int 30: 467-473。[Ref。
  5. Ramon Y, Behar S, Kishon Y, Engelberg IS(1984)硝苯地平致牙龈增生的初步报告。Int J cardiol 5: 195-206。[Ref。
  6. Lucas RM, Howell LP, Wall BA(1985)硝苯地平诱导牙龈增生。组织化学和超微结构研究。J牙周病杂志56:211-215。[Ref。
  7. 琼斯厘米(1986)与硝苯地平相关的牙龈增生。BR Dent J 160:416-417。[Ref。
  8. Hallmon WW, Rossmann JA(1999)药物在牙龈过度生长发病机制中的作用。对当前概念的集体回顾。牙周病2000 21:176-196。[Ref。
  9. Seymour RA, Thomason JM, Ellis JS(1996)药物诱导牙龈过度生长的发病机制。临床牙周杂志23:165-175。[Ref。
  10. Hancock Rh,Swan Rh(1992)尼菲普宁诱导的牙龈过度生长。通过控制斑块治疗的情况报告。J Clin牙周部19:12-14。[Ref。
  11. Lederman D, Lumerman H, Reuben S, Freedman PD(1984)硝苯地平治疗与牙龈增生的关系。口腔外科,口腔医学,口腔病理学,口腔放射学57:620-622。[Ref。

在此下载临时PDF

PDF

文章信息

文章类型:病例报告

引文:关键词:氨氯地平,非外科牙周治疗,牙龈过度生长国际牙科口腔健康2(2):doi http://dx.doi.org/10.16966/2378-7090.179

版权:©2016 Joseph R,等。这是一篇开放获取的文章,在知识共享署名许可协议的条款下发布,该协议允许在任何媒体上无限制地使用、发布和复制,前提是注明原作者和来源。

出版的历史:

  • 收到日期:2015年9月24日

  • 接受日期:2015年12月5日

  • 发布日期:2016年1月25日