表1:收集拔牙后牙槽窝不愈合病例的临床特征。
G:性别,男:女,个月菜单:个月,年:年,M:男,周:周TB:肺结核,PGCG:外围巨细胞肉芽肿,DVT:深静脉血栓形成。

巴德尔AbdullGaffar1法扎德·阿拉瓦迪2哈立德·甘杜尔3.
1 *Badr abdulgaffar,病理科,拉希德医院,迪拜,阿联酋*通讯作者:巴德尔博士AbdullGaffar,病理切片,拉希德医院,南区路梅塔,4545,迪拜,阿联酋,电话:0097142192948;传真:0097142719340;电子信箱:badraah009@yahoo.com
背景:在拔牙困难的情况下,为了控制止血,促进愈合,防止并发症的发生,通常会使用牙托。Alvogyl是一种由不同物质组成的膏体。有效成分保证了杀菌和镇痛作用,而非活性成分,蕨类植物衍生的彭哈瓦纤维有止血作用。据称,它是一种可吸收和自我消除的粘贴,很少并发症。
目的:目的:探讨应用阿沃吉勒后拔牙不愈合牙槽术后并发症的发生和类型,并确定纤维成分是否可吸收和自我消除。
方法:我们进行了回顾性分析了四年的40例拔牙的历史。
结果:我们发现7名患者有不愈合的牙槽和阿尔福格尔牙科敷料的历史。一些患者出现了并发症(牙槽骨炎、脓肿、窦形成、骨侵蚀和牙龈炎),从而阻止了后续的种植。组织学上,3例病例显示异物巨细胞反应与不同形状的膜状纤维成分,最初被混淆为真菌菌丝或寄生卵。
结论:牙医和口腔外科医生应该意识到这些潜在的并发症与Alvogyl和事实,它是不可吸收的,并不总是自我消除的口腔膏。病理学家还应了解这种异物的组织学表现,以避免诊断陷阱和不正确的处理,因为并不总是提供牙科敷料的历史。
艾尔沃基;牙科敷料;拔牙;不愈合插座
拔牙是有时与未愈合干套接字相关联(肺泡炎(AO)和局部并发症。有几种不同的牙齿和口腔药物用于促进在拔牙窝,治疗干插座愈合和预防并发症[1-3]的公共过程。Alvogyl是,在1951年[4,5]在德国文献首先描述公知的牙科敷料。其对拔牙窝的愈合作用的第一详细叙述是在1979 [6,7]。虽然它是由权利制造商是一种安全,高效的口腔和牙齿的药物,一些研究证实在提取插座的愈合不利影响,加重干燥的插座和鼓励感染[6,8,9]。我们报告的情况下,一系列例七拔牙后未愈合的Alvogyl的申请后插槽,3例证实与异物反应和局部并发症残留Alvogyl纤维。组织学上,异物最初混淆w ^第i个真菌菌丝和寄生虫卵。
这项基于描述性组织学的病例系列研究得到了拉希德医院医学研究委员会的批准。获得了患者的病历并检索了组织学标本。研究完全按照赫尔辛基世界医学会宣言进行。我们进行了回顾性研究在2011年5月至2015年2月的四年间,对346个口腔和牙科组织学标本进行了回顾。在分析之前,对收集的数据进行了匿名化和去鉴定。收集了拔牙后取出的口腔和牙科标本。有拔牙部位未能愈合或出现并发症病史的患者,例如,选择拔牙后的干窝作为病例纳入研究。拔牙后恢复平平、无任何投诉或并发症的患者被排除在所选病例之外。使用计算机检索搜索来收集临床标记的口腔和牙齿标本d为不愈合牙槽、干牙槽、拔牙后并发症和拔牙。从患者档案中检索牙科敷料和包装的应用历史及其类型。记录每位患者的年龄和性别。关于临床表现、拔牙数量、位置的临床数据术前临床印象,以及随访数据(如有)并收集任何相关的局部口腔病变或系统性疾病。还调查了以前的其他牙科或口腔外科手术史或外伤史。收集了吸烟、酗酒、糖尿病和骨质疏松症史。还记录了妇女口服避孕药的摄入量和绝经后的状况对每个收集病例的4-6μm厚切片进行常规苏木精-伊红(H和E)染色。对每个收集病例的所有H和E玻片进行审查。特殊染色剂,例如高碘酸希夫(PAS)、PAS与淀粉酶、阿尔西安蓝、Masson三色、von Kossa、Grocott甲胺(GMS)对每个病例进行普鲁士蓝铁染色。切片也在偏振光下检查,以检测任何折射异物。
在研究期间,我们发现40名患者接受了拔牙手术。7名患者在拔牙后出现牙槽不愈合和持续抱怨。其余33例患者均顺利康复。33例患者均无牙科充填或敷料史。7例出现拔牙后并发症的患者均有使用不同类型的牙科敷料/材料的历史,包括阿沃基、汞齐和杜胶(表1)。年龄范围为23 - 50岁,平均年龄37岁。男女比例为1.3:1。没有外伤或外伤性拔牙史。每个病人都拔了一颗牙齿,通常是上颌的臼齿。症状主要是疼痛,但有些人出现出血。临床表现为不同大小的压痛结节或肿块,但通常小于2.0厘米。 The clinical impression was varied and included infection, abscess, granulation tissue and cysts. Two cases were confused with neoplasms. All of the patients had Alvogyl, one in combination with amalgam and another patient had gutta percha points, as well. One patient (case 4) had her tooth extracted and dressing placed abroad. Another patient (case 7) had his tooth extracted in a private clinic. The remaining patients had their teeth extracted in our institution. Three of the patients developed AO, one with abscess and sinus formation and another one with bony erosion. Another patient had gingivitis. The remaining three patients had no complications. All of the patients had good oral hygiene, except one patient (case 2) who had a poor oral condition with generalized gum recession. Two of the female patients were married (case 1 and 4). They were being treated hormonally and medically for infertility. One unmarried female patient (case 2) was clinically suspected of intersex, but had not received medical or hormonal treatment. She was sexually inactive and had no history of oral contraceptive (OCP) intake. One patient (case 4) had a previous history of tuberculosis with chronic sinusitis. Another patient (case 7) was medically treated for recurrent deep vein thrombosis because of thrombophlebitis. We lost follow up of two patients. The remaining patients had a follow up that ranged from one year to three years. Two patients were not suitable for tooth implants because of their oral conditions and local complications. The patients without complications had successful tooth implants. All of the female patients were non-smokers and did not drink alcohol. None had OCPs intake, menopause or osteoporosis. The male patients were smokers, but had no history of alcohol intake.
组织学上,这些病例的炎症表现为轻度非特异性慢性炎症和明显的混合炎症合并脓肿形成(表2)。纤维化一般较轻。大多数病例显示钙化,从微钙化到大块钙化物质。没有发现类骨形成。3例出血。均无含铁血黄素色素沉积。3例出现不同强度的异物,并伴有异体巨细胞反应。4例未发现异物或异物反应。3例为鳞状上皮,其中2例为穿孔或溃疡的增生性炎症上皮。病例1、4和6显示类似的异物,由大小和形状不等的膜状结构组成(图1和2)。一些是细长的宽壁,另一些是较小的椭圆形或圆形。部分钙化或完全钙化(图1B)。 Foreign body type multinucleated giant cells were seen adjacent to the walls of these structures or “inside” them (Figure 1B). No eosinophils or neutrophils were seen in the vicinity of these structures. We did not find epithelioid granulomas in the case with a history of tuberculosis (case 4) or in the other cases. The walls of the fibers were polarizing. Some showed septated walls arranged in vegetablelike cell chambers. Some of these foreign materials were seen within an abscess or perforating through the surface epithelium with transepithelial elimination (Figure 2). These structures were positive for PAS and GMS (Figure 3). Some sections showed calcified Schistosoma ova-like or Trichuris ova-like structures (Figure 1B).
表1:收集拔牙后牙槽窝不愈合病例的临床特征。
G:性别,男:女,个月菜单:个月,年:年,M:男,周:周TB:肺结核,PGCG:外围巨细胞肉芽肿,DVT:深静脉血栓形成。
表2:收集病例的组织学特征。
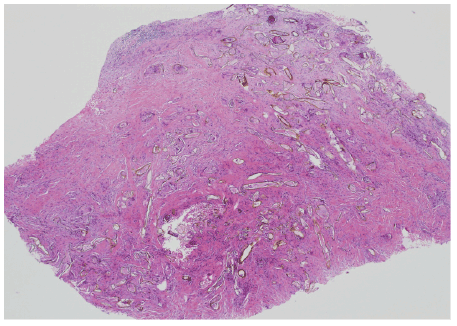
图1:一)一种纤维性结节,点缀着大小不一,形状从黄色到金色细长的膜状宽菌丝状结构。其他呈椭圆形至圆形(苏木精-伊红,原始放大倍数×20)。
图1:B)多核巨细胞部分吞噬结构;在拉长的膜结构的壁内可以看到一些巨细胞。一些结构从椭圆形到圆形,部分钙化,因此类似于寄生卵。没有嗜酸性粒细胞和中性粒细胞(H和E,×200)。
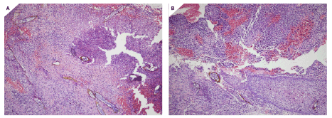
图2:一)脓肿腔内结构相似,有分散的异型巨细胞(H和E,×200)。
B)具有类似结构的炎症窦道穿过鳞状上皮(H和E,×200)。
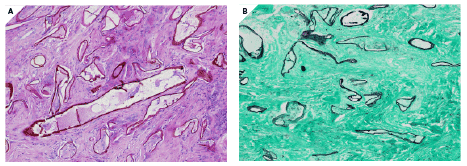
图3:一)PAS特殊染色突出宽菌丝样壁,部分有隔(H和E,×200)。
B)GMS特殊染色也为正和亮点的广泛菌丝状壁(H和E,×200)。
Alvogyl是一种由各种成分组成的口腔和牙科敷料膏,由一种厚厚的棕色纤维糊[10]组成。有效成分包括丁苯、碘仿和丁香酚,确保杀菌和镇痛作用。其他惰性成分包括橄榄油、留兰薄荷油、硫酸钠、碳酸钙和水。有趣的是,来自蕨类植物的Penghawar djambi,马来亚语中对印度尼西亚本土蕨类植物的称呼。这种纤维材料在应用于伤口和溃疡时具有止血和止血作用。一些人认为阿尔福格尔拔牙窝敷料是一种安全有效的干牙窝[3]处理方法。该产品已在临床实践中使用了很长时间。它主要用于有干牙槽史和外伤性拔牙的患者拔牙后敷料。然而,没有制造商的说明多长时间的膏体停留在插座,因为它声称是自我限制[10]。
另一方面,也有关于Alvogyl的不良副作用的报道。有报道称,应用阿尔福格尔后拔牙窝感染的患者较多[8,9]。此外,如果敷料长时间留在原地,可能会发生严重的并发症。一项研究表明,与对照组[6]相比,应用Alvogyl可延缓伤口愈合。这是在拔牙后一到两周内发现的。有作者认为不提倡在拔牙后系统应用阿尔福吉,治疗拔牙后感染及并发症[6,11]。应用阿福格尔治疗未愈合的牙槽是拆除敷料,大量冲洗牙槽,使用抗生素和口腔漱口水一个疗程。一些人强调定期观察愈合过程,以及[8]。有许多不同的方法来处理干窝[3]。一些作者提出了促进拔牙后愈合的替代方法。一些人建议使用广谱抗生素补充可吸收凝块稳定物质[2]。
其他认可使用氯己定凝胶的直接施加到插座[12]。一些作者已经研究了使用骨移植物,生物活性玻璃,冷冻干燥凝胶和激光[13,14]的。然而,似乎还有治疗复杂拔牙和AO [12]上最好的选择没有达成共识。如果必须使用Alvogyl或其他应用程序,最好是定期观察愈合过程,几天而不是几周内除去残留的敷料,以确保高效的自发愈合,防止异物反应和进一步的并发症[8,9]。一些局部和全身因素(吸烟,创伤,有机氯农药)被发现有拔牙[15-17]后的愈合过程产生负面影响。局部因素包括牙齿部位,外伤性提取和多个开采场地。系统性因素可能包括高龄,吸烟,有机氯农药,高血压和糖尿病。没有观察到性别差异。
在本综述中,使用Alvogyl敷料的患者出现了干窝和进一步的局部并发症,阻碍了他们的恢复和未来种植体的选择。本综述提示可能的有害因素包括激素紊乱,因为有2例并发症的患者正在接受激素治疗。我们的发现和其他以前的研究表明,蕨类植物衍生的纤维显然是不可吸收的,并不总是自鞘的。组织学上,大、宽、长Penghawar djambi纤维可能被粗心的病理学家混淆,特别是没有先前的牙科敷料史,与毛霉菌病的广泛菌丝。毛霉菌病是一种公认的并发症在口腔损害患者。正确识别的提示是在这些结构周围和“内部”存在异物,在这些结构周围存在隔膜而没有中性粒细胞。此外,较小的钙化结构可以模仿旧的钙化血吸虫卵。一些非钙化的卵圆形结构类似于Trichuris的卵。避免误解的线索是存在异物反应,没有嗜酸性粒细胞,没有侧或末端棘或结节。此外,在口腔内发现寄生虫卵是罕见的。 Other plant derived cellulose fibers were described in periapical lesions, cysts, postendodontic granulomas and extraction sockets[18,19]. Pathologists should be able to differentiate between these foreign bodies by morphology and use of histochemical stains and polarizing microscopy. Knowledge of a history of previous dental dressing should help.
综上所述,Alvogyl相关纤维是不可吸收的,并不总是自消除的。如果长时间放置,可能会引起异物巨细胞反应,进而导致进一步的局部并发症。临床医生应该警惕牙科和口腔敷料的潜在副作用,特别是那些不可吸收材料。在不了解牙科或口腔敷料史的情况下,病理学家应该了解这些纤维的组织形态,以正确识别它们,并指导牙医和口腔外科医生进行正确的诊断和后续处理。
我们感谢西比尔德科斯塔夫人,我们部门的分泌,为她的试卷形式和稿件准备和打字的援助。
作者透露没有向任何机构来源或资金支持拨款。利益冲突没有被放弃或由作者声明财务披露。
在此下载临时PDF
物品类型:原文
引用:AbdullGaffar B,Alawadhi女,自销K(2016)Alvogyl牙科敷料:复杂拔牙后未愈合插座的潜在原因:7例临床病理分析。诠释J登特口腔健康2(4):DOI http://dx.doi.org/10.16966/2378-7090.170
版权:©2016 AbdullGaffar B,等人。这是在Creative Commons署名许可,这允许在任何介质无限制地使用,分发和再现的条款分布式开放式接入制品,提供的原始作者和源记。
出版物历史:
所有Sc德赢娱乐国际i Forschen期刊都是开放获取的