牙科和口腔卫生科学德赢娱乐国际

全文

研究文章
一种治疗大型施奈迪膜穿孔的新方法-A案例系列

Dagba作为1,2Mourlaas J2奥乔亚杜兰D2,3铃木T2 *曹SC2Froum SJ2

1私人诊所,法国巴黎
2阿什曼牙周病和种植牙学系,纽约大学牙科学院,纽约,美国
3.私人诊所,秘鲁利马

*通讯作者:Suzuki Takanori,美国纽约大学牙科学院Ashman牙周病与种植牙学系临床助理教授,E-mail: taka@nyu.edu


摘要

在后颌骨的肺泡骨高度和鼻窦的附近通常是植入物放置的限制。上颌窦增强已经证明了文献中的高成功率,目前通常用于使植入物放置在萎缩后颌面中。然而,这项技术有可能产生并发症,这可能影响和危及最终的结果。施李膜的穿孔是最常报告的并发症,发病率范围为10%至44%。目前已有几种修复鼻窦膜穿孔的方法。然而,这些解决方案可能会增加手术的长度,并且是技术敏感的。本案例系列的目的是呈现一种简单的新颖技术,用于在横向接近窦落地升高期间处理窦膜(> 10mm)的大型窦穿孔,胶原海绵抬高,与后进入手术相关联3-6周穿孔。

关键字

窦;上颌窦增大;穿孔;窦并发症;胶原蛋白;窦膜修复

介绍

在上颌后牙槽骨高度不足和靠近窦底往往是植入的限制[1]。侧壁入路窦道增强是一种常用的增加骨高度和放置传统长度种植体的技术。上颌窦增强术在文献中已显示出很高的成功率,目前已被常规应用于萎缩的后上颌放置种植体[2-4]。然而,这项技术有可能产生并发症,这可能影响和危及最终的结果。Schneiderian膜穿孔是最常见的并发症,发生率为10 - 44%[5-8]。上颌窦膜穿孔可导致移植物材料丢失、感染、水肿、窦病理、伤口开裂和手术失败。

目前已有几种修复鼻窦膜穿孔的方法。一种方法是用一种可以是生物材料(如屏障膜)或生物材料(如上皮下结缔组织移植物)的材料来重建膜的容器功能。另一种方法是修复细胞膜本身。这可以通过机械的使用缝合线或化学的使用纤维蛋白胶来实现。然而,这些解决方案可能会增加手术的长度,并且是技术敏感的。

胶原蛋白是哺乳动物结缔组织中最丰富的结构蛋白。它是软骨、角膜、血管、肌肉、肌腱、骨骼和牙齿的组成部分。胶原蛋白的三维结构使其成为具有良好力学性能的纤维结构蛋白。胶原蛋白是一种生物材料,在牙科中用作伤口敷料和屏障膜。由于其良好的细胞相容性和低抗原性,可作为组织工程支架和促进组织再生。此外,胶原蛋白具有良好的止血能力,可在短期内被再吸收[10]。由于这些原因,胶原蛋白海绵可能是一种可靠的生物材料,以加强愈合穿孔的Schneiderian膜。事实上,作者在之前的LASFE术后3到6周的再入路手术中成功地实现了侧入路窦底抬高(LASFE)。在最初的手术中,在穿孔后,一个胶原蛋白海绵被放置在受伤的膜和外侧骨壁内侧之间。据我们所知,在牙科文献中没有这种方法的报道。

本病例系列的目的是提出一种新技术,在LASFE中使用胶原蛋白海绵治疗大窦膜穿孔(> 10mm)[11],并结合穿孔后3-6周的再入路手术。

材料和方法

本研究的临床数据来源于纽约大学牙科学院(NYUCD)种植体数据库(ID)。该数据集是从纽约大学阿什曼牙周病和种植牙科患者的常规治疗中提取的去识别信息。该研究获得了NYUCD审查委员会的豁免地位,因为该研究涉及牙周病科和种植牙科,没有身份证明。身份证经纽约大学质量保证办公室认证,符合所有机构审查委员会(IRB)和健康保险便携性和问责法的要求。

本病例系列的数据集包括使用侧窗入路技术接受窦道增强术的患者,这些患者发生了巨大的Schneiderian膜穿孔(>10 mm)并已报告(图1a-1e)。在这些患者中,窦底以下必须有< 5mm的嵴骨,才能考虑纳入本研究。共选取8例患者(10例鼻窦,1例女性,7例男性),年龄35 ~ 75岁,平均53.5岁。

图1:术前:咬合视图

图1 b:op:横向视图

图1c:术前:手术部位CBCT片

本研究排除标准包括:1)因各种原因不能进行标准口腔手术的患者;2)每天吸>10支烟的患者;3)怀孕或哺乳的女性(表1)。

程序说明

所有入选的患者均接受抗生素方案:术前1小时给予2.0 g阿莫西林,术后500 mg每日3次,持续7至10天。例外包括对青霉素过敏的患者,他们在手术前1小时服用600 mg克林霉素,术后每天2次服用150 mg,持续7至10天。所有患者术后使用0.12%葡萄糖酸钠洗己定冲洗,每天两次,持续2周。

所有穿孔(>10 mm)在手术期间使用位于骨窗延伸后窦侧壁和穿孔的Scheiderian膜之间的可吸收胶原膜(collapape®,Integra LifeSciences Corp., Plainsboro, NJ)修复(图1f)。采用可吸收缝线(4-0 Chromic Gut, Johnson & Johnson, New Brunswick, NJ)完成皮瓣一期缝合(图1g和1h)。然后在3到6周的愈合时间后进行鼻窦再入路手术,以实现鼻窦增强手术。抬高全层皮瓣,暴露初始骨窗,需要剥离软组织(图2a),以便能够抬高愈合的施耐德膜(图2b)。由于在之前的手术中没有使用移植物材料来填充鼻窦,因此鼻窦被移植了无机牛骨基质(ABBM) (Bio-Oss®(图2c和2d)和可吸收膜(Bio-Guide)®,Geistlichpharma,Princeton,NJ)被放在窗户上方。

图1D:抬高皮瓣以暴露鼻窦手术部位

图1E:Schneiderian膜穿孔>10 mm

图1 f:位于窦壁和穿孔窦膜之间的可吸收胶原膜(CollaTape®)

表1:再入式鼻窦增强术的临床结果
++:膜增厚,再入时已脱离窦壁
+:膜加厚并在重新进入时连接到窦壁上
±:再入处再穿孔

图1 g:胶原膜放置示意图,正面图

图1 h:皮瓣的一次闭合,达到无张力(维乔4-0)

图2:再入时前骨窗上方的部分厚度皮瓣

图2 b:新厚窦膜剥离

图2 c:新厚窦膜的升高

图2 d:植骨及植入物

结果

在先前描述的协议后,八名患有12例鼻窦的患者已经治疗了大型穿孔。在重新入口LASFE期间,植入物同时置于所有患者中,代表共15种植入物。愈合膜的临床评估显示出完全闭合,80%的病例中的显着增稠。虽然剩余的20%显示小的不情愿穿孔,但仍然记录膜厚度的增强。在这些病例中成功完成了Lasfe,其中延伸膜升高导致膜的塌陷,从而封闭穿孔(图3)。

讨论

许多作者对窦膜穿孔进行了分类。Fugazzotto和Vlassis[12]根据射孔位置和范围提出了五类分类。2007年Hernandez等人提出了另一种针对射孔孔径[11]的分类。他们将穿孔分为3类,小(<5毫米),中(5-10毫米)和大(>10毫米)。大射孔似乎是最具挑战性的;因此,文献中描述了几种管理它们的技术。流产手术而不进一步操作受伤的膜是一种选择[13]。另一方面,一些作者提出了膜穿孔时的修复方案[14,15]。然而,这些方案可能会增加手术的长度,因为鼻窦膜由于厚度低而难以处理。在本案例系列中,该技术包含两阶段方法。 The purpose of this protocol is to simplify the management of perforated membranes (>10 mm) and to ensure their reparation before grafting. Once a large perforation occurred, decision was made to stop further elevation of the membrane. After a 3 to 6 weeks delay, completion of the SAP was achieved during re-entry surgery. This time frame has been reported as the required period for the soft tissue to heal [16-18].

在软组织[19]愈合过程中,血凝块的稳定和成熟是至关重要的。因此,CollaTape®(Integra LifeSciences Corp., Plainsboro, NJ)的使用旨在增强早期愈合阶段。胶原蛋白海绵作为空间维持器,提供3D胶原蛋白支架,允许细胞通过损伤区域募集[20,21]。然后,这些细胞的活动就会产生一个典型的结缔组织[16,18,22]。同时,根据制造商的要求,collapape的吸收将在10到14天内发生。据报道,胶原蛋白具有低抗原性和高生物相容性。

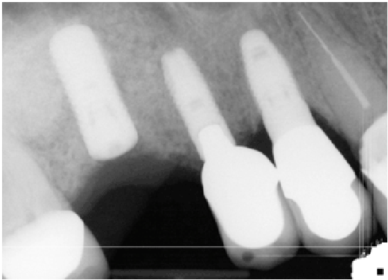
图3:手术的射线图图像

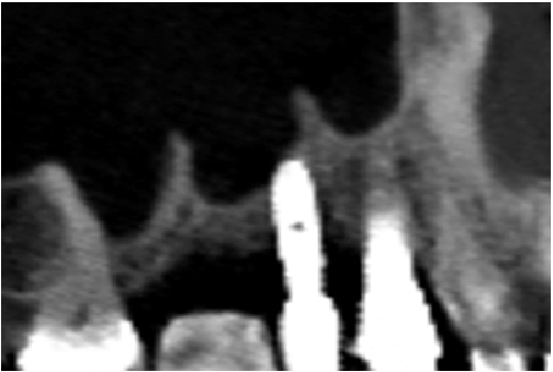
图4:随访1年的影像学资料

在本病例系列中,所有受试者均观察到膜增厚。这一观察结果似乎与胶原蛋白海绵的支架特性有关。Ahn等人在[23]中也曾描述过类似的发现。在他们的研究中,使用CollaPlug®治疗大穿孔,然后流产。6个月后再入完成LASFE,窗区SM较厚,SM和窦底之间没有粘连,因此易于实现LASFE。

为了增加易用性和可靠性,并减少LASFE的时间,应在第一次手术时进行骨窗的重新设计。考虑到重要的解剖障碍,应该扩大窗以进入隔膜,如果需要,在避免动脉的同时切除隔膜。最近的一篇文献综述报道,[23]调查的8,923例鼻窦中有28.6%存在隔。此外,有窦动脉的比例从47%到100%。虽然53%的动脉显示直径小于1毫米,但受伤的动脉可能会增加该区域的出血并使手术复杂化。因此,这种常见的解剖学障碍不应被忽视。

结论

经过2年的随访(图4),该病例系列保持了100%的成功率。SM的增厚使手术更容易,并减少再入手术的长度。在本病例系列的局限范围内,所提出的方案似乎是治疗大SM穿孔的一种简单而可靠的替代方案。然而,需要更多的病例和组织学结果的临床研究来证实这些临床结果。

参考文献
  1. (4)上颌窦底自体骨髓植骨术。J口腔外科杂志38:613-616。[参考。]
  2. 华莱士SS,Froum SJ(2003)颌骨窦增强对内塞牙科植入物存活的影响。系统审查。ANN SURDONTOL 8:328-343。[参考。]
  3. Del Fabbro M, Testori T, Francetti L, Weinstein R(2004)上颌窦移植物存活率的系统综述。国际牙周病修复杂志24:565-577。[参考。]
  4. Aghaloo TL, Moy PK(2007)哪一种硬组织增强技术最成功地为植入物提供骨支持?Int J口腔颌面种植体22:49-70。[参考。]
  5. 窦道提升术中Schneiderian膜穿孔的三维分析。实践加工美学凹陷13:160-163。[参考。]
  6. MISCH CE(1993)上颌窦升降和亚中海的高度。Contemp植入凹陷25:545-574。[参考。]
  7. Jensen J, Sindet-Pedersen S, Oliver AJ(1994)使用种植体重建上颌萎缩的不同治疗策略:98例患者的结果。口腔颌面外科52:210-216。[参考。]
  8. Kasabah S, Krug J, Simunek A, Lecaro MC(2003)能否预测上颌窦黏膜穿孔?医学学报(Hradec Kralove) 46: 19-23。[参考。]
  9. Miyata T,Taira T,Noishiki Y(1992)胶原蛋白工程用于生物材料。校准母乳9:139-148。[参考。]
  10. Tomizawa Y(2005)局部止血剂的临床益处和风险分析:综述。J艺术品器官8:137-142。[参考。]
  11. Hernández-alfaro F,Torradeflot MM,Marti C(2008)鼻升升力期间Schneiderian膜穿孔的患病率和管理。临床口腔植入物19:91-98。[参考。]
  12. Fugazzotto PA,Vlassis J(2003)简化的鼻膜穿孔的分类和修复系统。J Surgontol 74:1534-1541. [参考。]
  13. Becker St,Terheyden H,Steinriede A,Behrens E,Springer I,Wiltfang J(2008)窦楼抬高期间施奈迪膜的41个穿孔的前瞻性观察。临床口腔植入物19:1285-1289。[参考。]
  14. 刘志强,刘志强(2003)鼻窦膜穿孔修复术。国际牙周病杂志23:593-597。[参考。]
  15. Testori T,Wallace SS,Del Fabbro M,Taschieri S,Trisi P等人。(2008)使用稳定的胶原屏障膜修复大型鼻窦膜穿孔:具有组织学和射线照相证据的手术技术。INT J宿醉恢复凹陷28:9-17。[参考。]
  16. Amler MH(1969)人体拔牙伤口组织再生的时间序列。口腔外科,口腔医学,口腔病理学27:309-318。[参考。]
  17. Evian CI,Cutler S(1994)自动牙龈移植物作为即时植入物的上皮屏障:案例报告。j课程65:201-210。[参考。]
  18. Trombelli L, Farina R, Marzola A, Bozzi L, Liljenberg B, et al.(2008)人类拔牙槽的建模和重塑。临床牙周杂志35:630-639。
  19. Burkhardt R, Lang NP(2014)牙周整形外科和黏膜增强的基本原理——述评。临床牙周杂志41:S98-107。[参考。]
  20. Luitaud C, Laflamme C, Semlali A, Saidi S, Grenier G, et al.(2007)开发一种具有潜在临床应用价值的工程自体腭黏膜样组织。应用生物医学杂志83:554-561。[参考。]
  21. 胶原蛋白海绵:医学应用的理论与实践。生物医学材料学报11:721-41。
  22. cardaropoli g,araújom,lindhe j(2003)牙齿提取位点骨组织形成的动态。狗的实验研究。J Clin Superontol 30:809-818。[参考。]
  23. Ahn JJ, Cho SA, Byrne G, Kim JH, Shin HI(2011)未植骨窦膜抬高后的新骨形成:人类组织学发现。Int J口腔颌面种植体26:83-90。[参考。]
  24. 上颌窦隔的患病率、位置和形态:系统综述和meta分析。临床牙周杂志39:769 -773。[参考。]

在这里下载临时PDF

PDF

条信息

Aritcle类型:研究文章

引用:Dagba As,Mourlaas J,Ochoa Durand D,Suzuki T,Cho Sc,等。(2015)一种治疗大型施奈迪膜穿孔的新方法-A案例系列。INT J DENT口腔健康1(5):DOI http:// dx.doi.org/10.16966/2378-7090.137

版权:©2015 Dagba AS等。这是一篇开放获取的文章,在知识共享署名许可协议的条款下发布,该协议允许在任何媒体上无限制地使用、发布和复制,前提是注明原作者和来源。

出版历史记录:

  • 收到日期:2015年7月15日

  • 接受日期:2015年9月15日

  • 发表日期:2015年9月21日