牙科和口腔卫生科学德赢娱乐国际

全文

病例报告
一个美学挑战:单片陶瓷贴面与金属冠瓷融合的结合案例报告

Suhasini Mandiga丹尼斯Estafan

美国纽约大学牙科学院,牙科整形及综合护理科,牙科美容科

*通讯作者:Denise Estafan,美国纽约大学牙科学院牙科整形与综合护理学部,牙科美容系副教授及主任,E-mail: de1@nyu.edu


介绍

修复牙科是一门替代人类牙齿结构的艺术和科学。据说,釉质和牙本质单独是低强度的材料,但当结合在一起时,会有一种独特的结合,可以持续终生。多年来,人们一直在寻找模仿自然生物工程的完美牙科材料,从单片金属设计到双层金属陶瓷或多晶陶瓷设计,再到单片陶瓷设计美学康复的成功不仅取决于材料的选择或使用的实验室,更重要的是,了解如何利用不同修复材料的独特特性,以实现可预测的,功能和美丽的结果,为每个个案。

目的

本病例报告的目的是描述在微笑区使用两种不同的修复材料的治疗方式,以达到可接受的美学结果。采用单片压制的二硅酸锂和熔合到高贵金属的陶瓷作为修复材料。

例描述

一名48岁的西班牙裔男性在牙科诊所就诊,主诉变色和裂缝存在于他16岁的贴面上。检查发现5个褪色的贴面,有几个磨损和裂纹扩展区域,现有的冠与复发龋坏。他前牙的萎缩显示出他现有修复的边缘。他对自己的微笑不满意,想要一个比他现有的外表看起来更白、看起来尽可能自然的微笑造型。

结论

通过在微笑区成功匹配两种不同的材料,实现了愉快微笑的恢复,达到了专利要求。

背景

将两颗不同基底结构的中切牙进行匹配,对临床医师和实验室技术人员,尤其是对审美要求高的患者,都是一个巨大的修复挑战。对于一些病人来说,使用两种不同的材料是有必要的,在这种情况下,一个基本的了解材料的特性变得非常重要的利用其优点和缺点。一个分类系统所使用的斯特凡诺Gracis等。[2]牙科陶瓷和陶瓷材料分为1)玻璃基体陶瓷2)3)树脂基体陶瓷多晶陶瓷给临床医生更好地理解of the materials that they are using.

本病例所选用的两种材料是单片加压二硅酸锂和金属烤瓷。

单片压制二硅酸锂

整体指的是一种材料在其结构上是同质的。陶瓷以整体形式制作的能力是有利的,因为它的机械性能在整个修复过程中都优于双层修复材料,双层修复材料是将两种不同的同质材料融合在一起,在它们之间创建一个薄弱的连接。单片二硅酸锂是一种玻璃陶瓷,由70%的小连锁棱镜二硅酸锂晶体随机分散在玻璃基体[3]中。这种晶体的大小和取向使其在不影响光学特性的情况下,可将抗弯强度提高至400 MPa[4],即使在有磨牙史的患者中,也可进行保守的牙齿准备。单片压制二硅酸锂已被证明在应用、美观、强度和对牙良好的磨损兼容性方面具有巨大的潜力[5,6,7]。

金属烤瓷

烤瓷-金属烤瓷冠以其良好的结构性能和良好的美观性能,在临床上得到了广泛的应用。Behr等人的一项研究表明,前牙[8]烤瓷冠5年以上生存率为96.4%,10年以上无屑率为98.2%。冠的亚结构是由高贵金属合金(超过60%的贵金属即金、钯,其中铂的40%必须是金)、贵金属合金(超过25%的贵金属含量)或非贵金属合金(低于25%的贵金属含量)制成。然后,长石瓷层被允许在高温烤箱中熔合到金属底座上,以使其更美观。虽然这是一种双层修复材料,但它仍然被广泛使用,因为它具有良好的边缘光洁性,可以掩盖任何残端颜色,对对牙具有良好的磨损兼容性,并具有长期有效的历史文献[8,9]。

病例报告
病史及主诉

一名48岁的西班牙裔男性在牙科诊所就诊,主诉变色和裂纹,发展了他16岁的贴面。他对自己的微笑不满意,抱怨牙龈周围有黄色和黑色的边缘,想要一个微笑改头换面,让自己的笑容更白,更明亮,显得尽可能自然。病人报告说,在过去的五年里,在工作压力期间,他意识到咬紧牙关和磨牙。患者无其他医学禁忌症或过敏,并表现出良好的口腔卫生。

检查和诊断

临床和x光检查发现5个变色的贴面(第6、7、8、10、11号牙),有一些磨损和裂纹扩展区域,现有的冠(第9号牙)有复发性龋。牙面分析显示面中线与上颌牙中线一致。咬合分析显示1类咬合可接受的覆咬合和超过jet。在治疗前、治疗中和治疗后,使用照片、研究模型的清晰度和诊断性蜡模来讨论和评估患者的担忧、目标和期望。微笑评估显示牙齿的角度和比例在正常范围内。上前牙的牙龈顶显示良好的对称性,但均匀的后退显示现有修复的边缘和下面的牙齿结构。前切牙孔较正常少,外观磨损。(图1a-1d)在微笑时,唇线正常显示80- 100%的牙齿结构,0- 2mm的牙龈,且微笑线是直的,不符合下唇的解剖结构。

治疗

治疗方案包括拆除现有的修复体和腐蚀#6-11,评估基础桩和芯#9的状况,使用压制的单片二硅酸锂贴面#6、7、8、10、11和金属烤瓷#9进行修复。由于患者有磨牙病史,9号选择金属舌而不是瓷舌(图3d)。

单板的准备

使用金刚石钻从第6、7、8、10、11颗牙齿上去除现有的贴面,并按照牙齿表面的轮廓进行准备,尽量保留牙釉质。颈缘延伸至牙龈嵴,以与整个龈缘平行的肩线结束。这条终点线在近端间继续,并与相邻的牙齿保持齐平。贴面包裹在舌侧的切缘上。任何尖锐的线角都用优质的钻石钻磨圆(图2a-2c)。

图1:a)术前右侧位视图b):术前正位视图c):术前左侧位视图d):术前上颌咬合视图

皇冠准备

在移除9号牙的现有冠后,存在一个金属铸造桩和核,并有复发龋坏。龋齿是用圆形钻子挖出来的。临床判断是保持桩核完整,因为之前的根管治疗无症状,并将边缘改善至90度肩缘,延伸至牙龈下(图2b-c)。

印象和妥协

用颊指数来验证预备牙齿的牙齿减少程度。在自然光源下进行阴影选择,使患者满意。用浮石浆清洁预备好的牙齿。#000绳索浸泡在包裹在第9号牙齿周围的固定剂中,最后的印模采用中等和轻体乙烯基聚硅氧烷。利用诊断蜡制成的腻子基质,用Luxatemp制作了一件临时修复。去除多余的闪光材料,检查并消除阻塞,以避免过度压力。釉被应用和固化在临时增加临时美学。进行了小的调整,并将满意的临时修复的诊断印象送到实验室,以便更好地沟通所需的变化。

插入

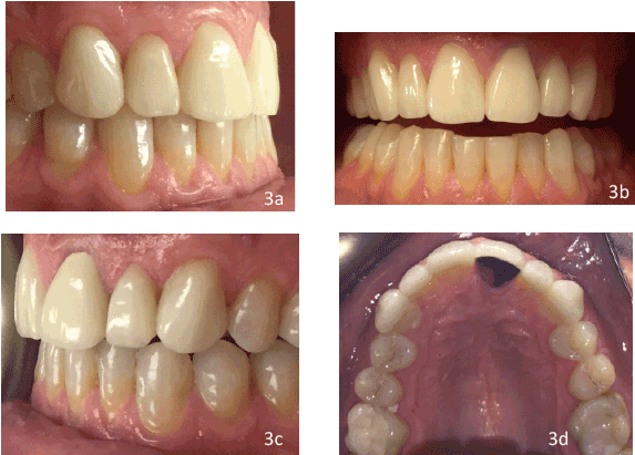
从实验室返回后,对模型进行了5个单板和1个冠的贴合度和颜色一致性检查。临时修复被拆除,牙齿被用浮石浆清洁以清除任何碎屑。永久性修复尝试和检查适当的配合,边缘精度,接触,阴影和整体美学。最终修复体#6-11的内表面用35%磷酸预处理20秒,彻底清洗,干燥,然后硅烷化60秒,并让其干燥。第6-11颗牙齿被很好地隔离,用35%磷酸治疗15秒,冲洗并轻微干燥。隔离是重做。两瓶胶粘剂(全胶粘剂)混合后,用空气稀释。单片二硅酸锂贴面#6、7、8、10、11使用树脂胶结(选择2),与高贵金属金属冠#9使用树脂改性玻璃离聚体胶结(FujiCem)(图3a-3d)。清除多余的水泥,重新检查触点。检查咬合以获得正确的犬类指导,并拍摄最终照片。 In the next visit, a lab fabricated occlusal guard was delivered after adjustment was made to ensure proper canine guidance in all excursive movements.

讨论

匹配两个具有不同亚结构的中切牙可能是一个挑战。虽然目前市场上已有较好的无金属修复材料,但在某些临床情况下仍需要使用传统的金属烤瓷。在任何情况下,临床医生对材料特性的良好理解,使其能够在期望的情况下有效地选择颜色,以达到可接受的结果。常见的审美材料的总体比较如图5所示。当陶瓷的耐久性向右增加时,其光学性能就会下降,反之亦然。在权衡修复材料的优缺点时,必须考虑所有因素和变量,以实现美学和功能的平衡,并取得整体治疗成功。

图2:a)术后右侧视图b):术后正面视图c):术后左侧视图d):术后上颌视图

图3:a)术后右侧视图b):术后正面视图c):术后左侧视图d):术后上颌视图

选择修复材料时需要考虑的因素包括:

磨牙症史

尽管陶瓷材料在过去是有功能障碍的病人的禁忌,但最近的进展表明并非如此。研究表明,单片材料,如二硅酸锂,其抗骨折能力是多层陶瓷的两倍,因此是紧咬或磨牙患者的首选[10,11]。

牙齿的功能需求

口腔后部的牙齿需要比前牙更坚固的材料。同样,固定局部义齿框架或种植体基台也需要具有优异力学性能的修复材料。方形脸的咀嚼肌肉更强壮,咀嚼方式比椭圆形脸对牙齿的影响更有害。

高强度氧化铝和氧化锆牙冠修复体的发展,促使了对受外力作用牙齿的无金属牙冠修复体需求的增加。但某些咬合距离不足或覆咬合较深的咬合,并不适用全瓷修复。

反对齿列

考虑对牙的材料,如天然牙,树脂复合材料,陶瓷,金属也很重要。许多研究报道,陶瓷基板比牙釉质对对牙结构产生更多的磨损,氧化锆的磨损率更高[12-15]。

图4:术后微笑观

制剂设计

预备的边缘主要取决于最终选择的修复材料。保守的牙齿预备是治疗的标准。保存牙釉质以实现牙釉质粘接是牙科领域最重要的研究成果之一。

树桩遮荫和最终遮荫的选择

影响光学特性的变量包括:残端阴影的选择,最终阴影的选择,以及实现最终阴影选择所需的牙齿减少量,luting剂的颜色和厚度,修复材料的透明度。

未经训练的眼睛可以很容易地发现值上的细微差别,而色相和色度则不能。用一种更透明(价值更低)的材料来遮盖深色的残肢阴影,需要更多的牙齿准备。据说,掩蔽应该在修复的子结构中进行,而不是在重建中进行,因为技术人员对修复的深层[17]有更好的控制价值。

在某些临床情况下,可能需要在面部表面进行更大的牙齿减少,以便实验室技术人员能够在修复的陶瓷堆砌过程中管理最后的阴影匹配。一个树桩阴影比相邻树桩阴影暗。

另外,通过选择具有不透明基结构的修复材料,可以避免不必要的牙齿准备。根据Stephen Chu的说法,[19]牙齿的透明度低,最好使用金属陶瓷修复体或基于CAD-CAM的陶瓷,而牙齿的透明度高,最好使用全陶瓷修复体。

在本病例报告中,选择单片加压二硅酸锂,因为其单片特性为磨牙患者提供了更好的力学性能,同时具有优越的生活美学。我们对9号牙使用全瓷或金属烤瓷的利弊进行了权衡,考虑了金属桩所需的减少量、颜色偏好、周围修复材料的选择、功能需求、患者病史和成本。

结论

没有一种材料对每种情况都是理想的,因为每种材料都有优缺点。在本病例中,使用两种不同的材料修复了6颗上颌前牙,达到了患者和临床医生满意的笑容修复(图4)。

致谢

该病例报告曾作为海报在纽约大学牙科学院展示,并获得:

DSG Americus牙科实验室颁发的2015年纽约大学美学海报大赛DSG Americus奖

图5:牙科常用陶瓷的比较

作者信息
  • Suhasini Mandiga博士是纽约大学牙科学院的应届毕业生,2015届美学牙科荣誉毕业生。

  • Denise Estafan博士目前是纽约大学牙科学院(New York University College of Dentistry)牙科重建和综合护理部(Division of reconstruction and Comprehensive Care)普通牙科部(Department of General Dentistry)的牙科美容部(aesthetic Dentistry)副教授和主任
工具书类
  1. Helvey G(2010)单片与双层修复:近距离观察;远景-道森。第三卷,第二期,2010年7月至8月。[Ref。
  2. Gracis S, Thompson VP, Ferencz JL, Silva NR, Bonfante EA(2015)全陶瓷和类陶瓷修复材料的新分类系统。Int J prosthod 28: 227-35。[Ref。
  3. Powers JM, Sakaguchi RL (2006) Craig 's Restorative Dental Materials.第12版。圣路易斯,Mo: Mosby;2006:469。[Ref。
  4. E.max力量。
  5. Etman MK, Woolford MJ(2010)两种陶瓷冠系统的三年临床评价:初步研究。口腔修复医学杂志。103:80-90。[Ref。
  6. Fasbinder DJ, Dennison JB, Heys D, and Neiva, G (2010) A Clinical Evaluation of Chairside二硅酸锂CAD/CAM Crowns A TwoYear Report。J Am Dent Assoc 141: 10S-14S。[Ref。
  7. M Gehrt, S Wolfart, N Rafai, S Reich, D Edelhoff(2013) 9年服务后锂二硅酸盐冠的临床结果。临床口腔调查17:275-84。[Ref。
  8. Behr M, Zeman F, Baitinger T, Galler J, Koller M(2014)烤瓷-金属贵金属合金单冠的临床表现:脱落、复发龋病、牙周炎和固位丢失。国际口腔修复杂志27:153-160。[Ref。
  9. Federlin M, Hiller KA,和Schmalz G(2010)铸金与陶瓷部分冠的对照前瞻性临床裂口研究:5.5年的结果。Am J Dent 23: 161-167。[Ref。
  10. Sulaiman TA,Delgado AJ,Donovan TE(2015)四年期二硅酸锂修复体的存活率:一项回顾性研究。J假肢凹痕S0022-3913:00212-7。[Ref。
  11. Baladhandayutham B, Lawson NC, Burgess JO(2015)疲劳加载后陶瓷修复体的断裂载荷。J Prosthet Dent 114: 266-271。[Ref。
  12. 摘要:瓷对修复牙齿咬合面之影响。J Prosthet Dent 61: 133-137。[Ref。
  13. Hudson JD, Goldstein GR,和Georgescu M(1995)三种不同修复材料引起的牙釉质磨损。J Prosthet Dent 74: 647-654。[Ref。
  14. suputtamokol K, Anusavice KJ, Suchatlampong C, Sithiamnuai P, Tulapornchai C(2008)贴面锂二硅酸盐基陶瓷冠的临床性能和磨损特征。凹陷板牙24:667-673。[Ref。
  15. Oh WS, Delong R, Anusavice KJ(2002)影响牙釉质和陶瓷磨损的因素:文献综述。J修复Dent 87: 451-459。[Ref。
  16. 克里斯滕森GJ(2005)牙本质和牙釉质的粘合:2005年的情况如何?J Am Dent Assoc 136: 1299-302。[Ref。
  17. Yugo Hatai(2014)极端掩蔽:在具有挑战性的情况下使用二硅酸锂粘结修复实现可预测的结果。Int J Esthet Dent 9: 206-22。[Ref。
  18. Chu SJ, Mieleszko AJ(2014)非重要变色牙齿的颜色匹配策略:第一部分。实验室陶瓷贴面制造解决方案。J estthet Restor Dent 26: 240-246。[Ref。
  19. 朱淑娟(2007)美学修复牙科中可预测色彩管理的临床步骤。登特诊所N Am 51: 473-85。[Ref。

在此下载临时PDF

PDF

条信息

Aritcle类型:病例报告

引用:Mandiga S, Estafan D(2015)美学挑战:利用单片陶瓷贴面和陶瓷融合到金属冠的案例报告。牙科口腔健康1(5):doi http://dx.doi.org/10.16966/2378-7090.128

版权:©2015 Mandiga S,等。这是一篇开放获取的文章,在知识共享署名许可协议的条款下发布,该协议允许在任何媒体上无限制地使用、发布和复制,前提是注明原作者和来源。

出版的历史:

  • 收到日期:2015年7月27日

  • 接受日期:2015年8月21日

  • 发表日期:2015年8月28日