牙科和口腔卫生科学德赢娱乐国际

全文

下颌骨骨折患者治疗方案修复后3年功能由于生物力学并发症-临床病例报告

拉斐尔Manfro1 *维尼修法夫里2Gislaine费利佩•加西亚3.EstevoDerech安德森费尔南德斯菲利普3.马塞洛•卡洛斯Bortoluzzi4

1植入科主任SOEBRÁS;来的家伙,巴西
2巴西国立医科大学帕索基金会口腔外科教授,种植学系SOEBRÁS
3.巴西种植学系SOEBRÁS助理教授
4蓬塔格罗萨州立大学牙科学院,蓬塔格罗萨,巴拉那́,巴西

*通讯作者:Rafael Manfro教授,president Coutinho 264/903, Florianópolis, Santa Catarina, 88015-230,巴西,Tel: +55 48 32061410;电子邮件:manfroimplante2@hotmail.com

摘要

本文报告一例下颌骨骨折,其原因是种植体脱落导致悬臂增加,导致种植体周围骨质丢失。骨折采用刚性固定、四颗假体和新的假体治疗。作者讨论了可能的原因和预防。

关键字

牙科植入物;并发症;下颌骨折;临床报告

介绍

使用协议型种植体和修复体是下颌无牙颌患者的主要治疗选择。尽管成功率很高[1-3],但这种治疗也会出现一些并发症,如术后感染[4]、感觉神经障碍、[5]出血、种植体丢失[2,3]、假体骨折或松动[2,3],更少见的是下颌骨骨折[4,6,7]。

下颌骨骨折通常发生于绝经期下颌骨萎缩的女性[4,5,8-11]。

本文的目的是显示晚期下颌骨骨折的石膏,在种植体功能3年后,由于种植体治疗下颌骨骨折的常见因素与生物力学问题,其中一个种植体骨折后发生。

临床报告

女患者,47岁,来SOEBRÁS-FLORIANÓPOLIS/SC种植科就诊,主诉种植体远端疼痛,右侧疼痛,假体在种植体上方可移动。

根据患者的情况,她采用较低的方案进行康复,植入了5个假体,3年前,功能恢复1年后,左侧远端假体骨折。负责治疗的专业人员确认,由于远端悬臂增加,无需更换假体或对假体进行修复。

访问期间,增加成交量中观察到的后区右侧下颌骨和流动性在该地区的最末端的植入物,它是不可能的诊断是否产生的流动性被植入或下颌骨折(图1)。图像检查后,在皮瓣嵴处观察到一条透光线,一直延伸到种植体基底处,这表明下颌骨骨折无碎片脱离。我们还可以观察到,这是一个骨高度小的下颌骨,除了一个外,其他种植体显示边缘骨丢失(图2和3)。

图1:患者第一次就诊时的临床情况,在左侧下颌骨后区可以观察到缺乏种植体。

该骨折的手术治疗是移除3个种植体,因为他们有骨丢失,临床活动和安装新的种植体和新的协议类型的假体。

患者接受全身麻醉,通过口外通路,下颌骨折复位,用直板和2.4 mm固定螺钉固定(syntheso - oberdorf /Switzerland),之前在原型模型中个性化(图4和5)。

采用颊部切口,除中心种植体临床状况良好外,其余种植体均被移除。同时取出假体的碎片。另外安装了3个4.3 x 10毫米内六角和Vulcano表面植入物(Prosthesis Connection System - Arujá/SP-Brazil),其中,根据al-on 4技术,两个远端种植体的倾斜度约为450(图6)。安装在骨折区域附近的种植体基本不稳定,因此决定不使用即时负荷治疗。

图2:在下颌骨左侧和右侧远端种植体周围的ct切面可以观察到种植体骨折,提示下颌骨骨折。

图3:远端种植体的断层,可以确认下颌骨骨折而不脱离。

图4:带有个性化重建钢板和四枚剩余植入物的原型。可以观察到影响康复生物力学的种植体的线性排列。

术后没有发生任何并发症,60天骨结合后,通过安装3mm直的金属带微单元支柱(ConexãoSistema de Prótese - Arujá/SP-Brazil)并使用多功能导向模压重新开放。

在修复体测试之后,使用镍铬合金、丙烯酸、人造牙龈和丙烯酸牙齿铸造的金属基础结构安装了一种协议类型的修复体(德国经典贺利eus- kulzer /经典贺利eus- kulzer)。

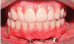
15天后进行临床对照,进行新的咬合调整和检查螺钉扭矩。3、6和9个月后进行临床对照,12个月后进行临床和x线片对照。在所有这些对照和图像中,观察到临床正常(图7和8)。

患者目前处于15个月的控制之下,迄今为止所进行的治疗已证明是成功的

讨论

由骨结合种植体治疗导致的下颌骨骨折是罕见的[4,6,7],通常与种植体安装在有严重萎缩的下颌骨[4-11]有关,固定穿透皮质基底区[4,7,10]和绝经妇女[5,7-10]。骨折通常发生在植入植入物期间或术后第一天。

作者认为,在本病例中,除了将固定物穿入下颌骨外,其中一种内固定物骨折后的受力分布是骨折发生的基础。

左侧远端种植体丢失后,在4个种植体中锚定修复体。尽管在使用4个种植体的较低方案的文献中显示了积极的结果[2,3,12,13],但由于最后一个种植体位于较低区域,其余种植体的排列导致左侧远端悬臂梁非常大,侧切牙和种植体排列形成的多边形也是非常不利的,因为它们处于线性位置。文献表明4个种植体协议的成功与种植体的位置和悬臂的大小直接相关[3,13,14]。

种植体丢失后的康复力导致右侧最后一个种植体受力过大,导致种植体周围进行性骨吸收。尽管患者抱怨假体在该部位出现活动和疼痛,但没有进行诊断,因为假体仍在使用,骨吸收增加并达到种植体的顶点。由于它是穿过下颌骨,这种渐进性的骨丢失导致种植体位置的下颌骨骨折。

下颌萎缩性骨折作为种植体治疗的并发症,由于涉及多种因素,治疗是一项艰巨的任务[4,10]。骨折线的方向,节段的脱离,植入物的使用和通路的类型都需要仔细规划。

图5:口外通道的外科方面,有固定的钢板。在下颌骨前区域,没有放置螺钉来安装种植体。

图6:植入物的安装和维护一个已经存在的。

图7:临床方面显示种植体的排列,减少悬臂和种植体周围软组织的正常方面。

图8:12个月时的对照x光片可以观察到骨折治疗和种植体周围的正常情况

最初的治疗方案是安装新的植入物,并通过铸造金属基础设施将植入物铁化,在立即负荷下对患者进行康复,以实现良好的固定,并将重建钢板固定在皮瓣前庭,同时也有利于早期功能的修复。

虽然在最初的治疗中种植体较少,但远端种植体是倾斜安装的,减少了两侧远端悬臂,增加了种植体之间的多边形。

本病例表明种植体的布置比固定的数量重要得多,是协议型修复成功的基础。

参考文献

  1. Felix GB, Nary Filho H, Padovani CR, Machado WM(2008)老年人下颌骨种植支持固定假体生活质量的纵向研究。Clin Oral implant Res 19: 704-708。[Ref。
  2. Gallucci GO, Doughtie CB, Hwang JW, Fiorellini JP, Weber HP(2009)固定种植体支持远端悬臂梁修复无牙下颌的5年结果。Clin Oral implant Res 20: 601-607。[Ref。
  3. Galindo DF, Butura CC(2012)采用all-on-four方案的立即加载下颌固定种植体修复体:一项对183例连续治疗的患者进行1年功能性修复的报告。Int J Oral颌面种植体27:628-633。[Ref。
  4. Almasri M, El-Hakim M(2012)种植牙相关的萎缩性下颌骨前段骨折。国际口腔颌面外科杂志41:646-649。[Ref。
  5. Raghoebar GM, Stellingsma K, Batenburg RHK, Vissink A(2000)萎缩下颌骨内植入物引起的下颌骨骨折的病因和治疗。口腔外科,口腔医学,口腔病理,口腔放射治疗89:553-558。[Ref。
  6. Soehardi A, Meijer GJ, Manders R, Stoelnga PJ(2011)萎缩性无牙下颌骨种植体相关下颌骨骨折的调查:荷兰口腔和颌面外科医生的调查。口腔颌面种植体26:1087-1093。[Ref。
  7. Chrcanovic BR, Custódio AL(2009)骨内种植体相关的下颌骨骨折。口腔颌面外科13:231-238。[Ref。
  8. Mason ME, Triplett RG, Van Sickels JE, par雷尔SM(1990)下颌柱内植入骨折:病例报告和回顾。口腔颌面外科杂志48:311-317。[Ref。
  9. Shonberg DC, Stith HD, Jameson LM, Choi JY(1992)下颌骨内固定骨折。口腔颌面种植体7:401-404。[Ref。
  10. 种植牙治疗下颌骨骨折的非外科修复治疗1例。口腔颌面种植体24:143-146。[Ref。
  11. Oh WS, Roumanas ED, Beumer J 3rd(2010)下颌骨折合并双皮质穿透,使用宽直径内种植体。J修复体19:625-629。[Ref。
  12. Antoun H, Belmon P, Cherfane P, Sithon J(2012)在无牙患者中即刻加载4 ~ 6枚种植体。牙周修复牙本质32:1-9。[Ref。
  13. Agliardi E, Panigatti S, Clerico M, Villa C, Malo P .(2010)四种种植体支持的无牙颌固定修复:单cohart前瞻性研究的中期结果。Clin Oral implant Res 21: 459-465。[Ref。
  14. 李强,李伟,李文华(2011)咬合倾斜度和负荷对下颌骨重建的影响:有限元研究。口腔颌面种植体26:527-37。[Ref。

在此下载临时PDF

PDF

条信息

文章类型:病例报告

引用:Manfro R, Fabris V, Garcia GF, Derech E, Felipe AF, et al.(2015)由于生物力学并发症,使用协议修复的下颌骨骨折患者的临床病例报告。牙科口腔健康1 (2):doi http://dx.doi.org/10.16966/2378- 7090.112

版权:©2015 Manfro R等。这是一篇开放获取的文章,在知识共享署名许可协议的条款下发布,该协议允许在任何媒体上无限制地使用、发布和复制,前提是注明原作者和来源

出版的历史:

  • 收到日期:2015年4月13日

  • 接受日期:2015年5月26日

  • 发表日期:2015年5月30日