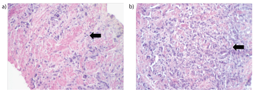
图1a & 1b:格里森型3:腺体大小和形状有明显变化,排列细胞的细胞核深染,胞浆稀少。基底细胞未见。cgg 1。

Vinay KSSujatha Siddappa*
印度班加罗尔,维多利亚医院校区,肾脏泌尿学研究所病理科*通讯作者:Sujatha Siddappa,印度班加罗尔维多利亚医院校区肾泌尿学研究所病理科,电子邮件:sujathasiddappa@gmail.com
背景:Gleason分级系统用于前列腺腺癌的报告,是一个重要的分级参数的预后和帮助作出治疗决定。针活检Gleason评分与大多数根治性前列腺切除术标本的最终评分,甚至血清前列腺特异性抗原水平都有很好的相关性。Gleason评分系统由1970年Dr. Donald Gleason总结的原始方案演变为2005年和2014年ISUP两次主要共识会议后的重大修改。Gleason分级系统的原始方案和最新修改仍存在较大局限性,导致2014年ISUP提出了新的“当代分级组系统”,并被2016年WHO前列腺肿瘤分级采用。
摘要目的:一项观察性研究,比较传统Gleason分级系统与当代分级分组系统在前列腺核心活检报告中的作用
材料与方法:一项2016年8月至2017年7月在印度卡纳塔克邦班加罗尔维多利亚医院校区肾泌尿学研究所病理科接受的前列腺核心活检研究(为期一年的研究期)被纳入。前列腺癌患者治疗后的活组织检查和不包括任何腺体成分的活组织检查不包括在内。采用10%福尔马林进行核心活检(每个病例6个核心)。所有的芯子都被嵌入,切片在3 - 5微米处切割。苏木精、伊红染色,病理检查。根据“格里森评分系统”和“当代等级分组系统”,对每个案例的单个核心进行筛选和独立报告。最终印象中提到了最高的格里森分数/组级。
结果:在研究期间,我们总共接收了46个活检样本。46例中17例为前列腺腺癌,2例为不典型小腺泡增生(ASAP), 2例为高级别前列腺上皮内瘤变(HGPIN),其余为良性前列腺组织。应用Gleason / Contemporary分级系统对17例前列腺癌进行进一步分类,其中2例(11例);I级组[GS 3+3=6/10], 2例(11例;ⅱ级[3+4=7],7例(41. 76%);ⅲ级组[GS 4+3=7/10], 4例(23。ⅳ级组[GS 4+4=10], 2例(11例;76%) -等级V组[GS 5+4=9/10]。17例中有12例(70例)出现神经周侵犯。55%)。 Average PSA levels were 37. 35 ng/dL. Lymphovascular emboli were not seen in any of the cases.
结论:Gleason系统用于前列腺癌是一个重要的和普遍的(WHO认可的)预后分级系统。它经受了4-5年的时间考验。虽然随着时间的推移,通过协商一致会议进行了修改,但它有一些主要的限制。为了克服这些限制,最近提出了一个新的当代年级分组制度。新的当代年级分组系统简化了5个年级,可能的最低年级为1,年级分层更加准确。新的分级系统已被2016年世卫组织接受。
从病理学家的角度来看,低倍镜检查时基于腺体结构的前列腺核心活检报告能提供更好的分数信息。由于我们习惯了传统的GS,所以我们应该报告Gleason分数,同时也要与CGGS评分一致。我们建议在前列腺活检被广泛接受和实践之前,采用现代分级分组系统和传统Gleason系统进行报告。新的分级系统更简单,更准确地预测前列腺癌生物学。它也得到了世界卫生组织的认可。
格里森评分系统;当代年级分组制度;前列腺核心活检;国际泌尿外科病理学会;世卫组织
国际泌尿外科病理学会;世卫组织
Gleason分级系统用于前列腺腺癌的报告,是一个重要的分级参数的预后和帮助作出治疗决定。超声引导下的前列腺核心活检Gleason评分与大多数根治性前列腺切除术标本的最终评分有很好的相关性,甚至与血清前列腺特异性抗原(PSA)[1]水平也有相关性。格里森评分系统是由唐纳德·格里森博士基于1959年的一项研究提出的。Gleason分级系统定义了五种组织学模式或分级,其中一端分化程度最高,另一端分化程度最低。世界卫生组织(WHO)在2004年将格里森分级系统作为前列腺癌分类的一部分。该系统也构成了许多其他癌症分期系统的基础,如AJCC/UICC。然而,自从它开始以来,已经提出了许多修改来更新原来的格里森系统。在这个方向上最重要的一步是2005年发表的国际泌尿病理学协会(ISUP)共识。这次会议在70多名泌尿外科病理学家的共识基础上,对现有的格里森系统进行了许多必要的改革。2014年在芝加哥举行了另一次重要会议。 It included not only pathologists but also other specialty doctors from urology and oncology who are involved in treatment of patients with prostatic adenocarcinoma [3]. Although many changes were made to the original Gleason system in 2005 and in 2014 meetings, there still exist a lot of shortcomings in its current use for prostatic carcinoma reporting either in prostatic core biopsies or the radical prostatectomy specimens. To address the same, a new grading system was proposed by the group from John Hopkins’s hospital. This new prostatic grading system has benefits like more accurate grade stratification than the Gleason grading system [4].
2016年8月至2017年7月在印度卡纳塔克邦班加罗尔的肾脏泌尿学研究所病理科接受的前列腺核心活检也包括在内。六分仪活检(每例6个核分别代表左上、中、下叶和右上、中、下叶),10%福尔马林。所有的核都被嵌入,切片在3-5微米。苏木精伊红(H & E)染色,病理检查。根据Gleason评分系统(GS)和当代评分分组系统(CGGS)分别独立报告每个病例的个体核心。
GS是基于腺结构/组织学模式。GS定义了五种组织学模式,其中一端分化程度最高,另一端分化程度最低。主要模式是最常见的模式和第二种模式是第二种最普遍的模式被注意到并加在一起得到最终格里森分数。
我们报告了主要的和次要的模式并把它们加在一起得到格里森分数。格里森分数是单独提供的核心。最后的印象中提到了最高分。
为了正确理解和分类形态模式,本文借鉴了现有的Gleason系统对CGGS进行了研究。
如果>95%形成/融合/筛状腺体或核心腺体缺失的病例,< 5%形成良好的腺体成分不包括在分级中。形成/融合/筛状腺体也可以是小成分的一部分。CGGS被报道为最终印象中提到的最高等级的单个岩芯。
我们在报告中提到了GS评分和CGGS评分。其他未被纳入分级系统的组织病理学参数,如神经侵袭(PNI)、淋巴血管栓塞(LVE)也被提到并纳入组织病理学报告。
相关特征如不典型小腺泡细胞增殖(ASAP)和高级别前列腺上皮内瘤变(HGPIN),在特定病例的组织病理学报告中也有提到(图1-4)。
图1a & 1b:格里森型3:腺体大小和形状有明显变化,排列细胞的细胞核深染,胞浆稀少。基底细胞未见。cgg 1。
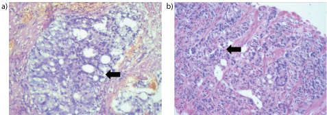
图2a和2b:Gleason型4:融合前列腺的筛状形态和融合腺体的腔cggs2和3形成不良。
图3 (a)及(b):Gleason型5:肿瘤细胞呈单细胞浸润型和片状,并试图形成模糊的腺体cggs4和5。
图4:神经周围侵犯:神经纤维伴神经周围肿瘤侵犯。
在研究期间,我们总共收到了46个核心活检样本。46例中17例为前列腺癌,2例为ASAP, 2例为HGPIN,其余为良性前列腺组织。
17例前列腺癌病例采用Gleason / Grade组系统进一步分类如下
2例(11。76%) -ⅰ级组(GS 3+3=6)
2例(11。76%) -二级组(GS 3+4=7/10)
7例(41。- III级组(GS 4+3=7/10)
4例(23。ⅳ级组(GS 4+4=8)
2例(11。76%) -等级V组(GS 5+5/5+4/4+5=9-10)
17例中有12例出现PNI(70例)。55%)
29例有PSA值。平均PSA水平为37。35毫微克/分升。未见LVE。
迄今为止,GS是前列腺癌预后的重要预测指标,有助于外科医生和肿瘤学家决定临床治疗。GS与其他肿瘤分类不同的是,它是基于腺型或结构,而不是肿瘤细胞的形态,在世界范围内广泛使用。虽然2005年和2014年ISUP分级共识会议对原有的GS进行了重大修改[6-9],但仍然存在一些重大限制。目前格里森系统最重要的问题是,
针对上述缺点,提出了新的CGGS。该系统基于来自约翰霍普金斯医院的数据,其中包括2万名接受手术治疗的患者和5000名接受放射治疗的患者。这在一个多中心和多机构的研究中得到了验证。这个新的CGGS只包括五个不同的年级组,这些年级组基于之前在研究格式中提到的修改过的Gleason评分组。这一新的分级系统已被世界卫生组织接受并纳入2016年前列腺癌分类的一部分。本研究将生化复发作为不同级别[4]的预后终点。通过将其他组织学因素如反应性基质纳入常规评估[10],该报告系统可以进一步优化。在我们的观察性研究中,研究周期为1年,与根治性前列腺切除术没有相关性。为了预后的目的,癌症复发必须随生化复发进行长时间的随访,这在我们的研究中没有做。比较传统和现代年级分组系统的病理研究数量有限。
Gleason系统是一种重要且普遍使用的前列腺癌分级参数,可根据腺体结构对患者进行预后和分类。它经受了4-5年的时间考验。虽然随着时间的推移,通过协商一致会议进行了修改,但它有一些主要的限制。为了克服这些限制,最近提出了一个新的当代年级分组制度。新的当代分级系统简化了5个等级,可能的最低等级为1级,具有更准确的等级分层。新的分级系统已于2016年被世界卫生组织接受并纳入前列腺癌分类。
从病理学家的角度来看,低倍镜检查时基于腺体结构的前列腺核心活检报告能提供更好的分数信息。由于我们习惯了传统的GS,所以我们应该在报告分数的同时,也要与CGGS的评分保持一致。如果没有GS的评分,最初可能很难遵循CGGS。我们建议在传统格里森系统(GS)的基础上,采用现代等级分组系统(CGGS)进行报告,直到它被广泛接受和实践。我们也认为神经周围侵犯,淋巴血管栓塞和任何相关的HGPIN,虽然不包括在任何分级系统中,但它们应该在最终印象中被提及,以便有助于治疗泌尿科医生作出治疗决定。
在此下载临时PDF
文章类型:研究文章
引用:Vinay KS, Siddappa S(2018)前列腺腺癌穿刺活检报告- gleason分级与当代分组分级系统:单中心经验。临床研究开放获取4(1):dx.doi.org/10.16966/2469-6714.133
版权:©2018 Vinay KS等。这是一篇开放获取的文章,在知识共享署名许可协议的条款下发布,该协议允许在任何媒体上无限制地使用、发布和复制,前提是注明原作者和来源。
出版的历史:
所有Sc德赢娱乐国际i Forschen期刊都是开放获取的