临床研究:开放存取sci Forschen德赢娱乐国际

全文

病例报告
通过短暂的植入物进行康复,在保守植物中进行无奇患者母细胞瘤:案例报告

Belini Freire玛雅埃尔顿Goncalves ZenobioHayder蛋戈麦斯Roberta paula Colen Bustamante霍塔贾米尔Awad Shibli毛里西奥•格列柯Cosso

巴西PUCMINAS牙科部牙科研究部

*通讯作者:Prof. Élton Gonçalves Zenóbio, DDS, MS, PhD, Department of Dentistry PUCMINAS Dental Research Division - implanology and periodontalology, Brazil, Tel: +55 (31) 33194414;电子邮件:zenobio@pucminas.br


介绍

成釉细胞瘤是一种生长缓慢的多形性肿瘤,纤维间质呈滤泡状或丛状。虽然被认为是良性肿瘤,但由于它能浸润小梁,即使在手术切除后也会复发,具有侵袭性和复发性[1-3]。

成釉细胞瘤是牙源性肿瘤中最常见的肿瘤,发病率为11%。大约80%的成釉细胞瘤发生在下颌骨,下颌骨支和角是最受影响的区域[4]。

诊断通常是在一个人的生命的第四和第五十年之间,除了独生子型,它通常被诊断在20到30岁的患者。

在大多数情况下,除了面部不对称性外,这些几乎无症状。该肿瘤可以作为放射学考试中的辐射性区域存在[5]。

治疗方式的决定取决于成釉细胞瘤的类型(实心型、多囊型、单囊型或周围型)、位置、大小和患者的年龄。据信独联体型是侵袭性最小的,对保守手术最有利[5,6]。此外,手术后患者的审美和功能康复对口腔外科医生来说是一个巨大的挑战。对于此类患者,可选择即刻骨重建和种植体植入治疗[7,8]。

本文报告一例15岁的单囊造釉细胞瘤患者,在切除保留6年的病变后,采用超短种植体修复。

病例报告

一名15岁的男性被转介到米纳斯吉拉斯州教皇天主教大学牙科学院的颌面外科和创伤学部门,表现为下颌左侧后侧无症状水肿。

x线检查显示存在广泛的单房透光图像,包括下颌角和体部,并有牙根吸收的证据(图1a和1b)。临床牙周检查(探诊时出血或深度改变,牙周临床插入缺失,牙菌斑指数良好)表明牙齿牙周健康良好。临床及放射检查提示成釉细胞病变。

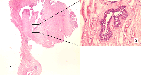
患者在全身麻醉下进行了病灶切除、刮除和拔牙36、37和38次。组织学诊断为单囊性成釉细胞瘤伴壁浸润(图2a和2b)。

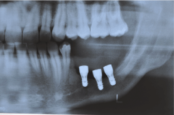
在移除造釉细胞瘤病变的手术后23个月,将3个种植体(RN标准加,瑞士Straumann - 4.1 mm/ 6mm)安装在剩余的骨中(图3)。种植体手术后5个月,安装金属陶瓷假体(图4)。使用x线照片和临床检查对患者进行监测,包括假体安装后24、36个月、造釉细胞瘤切除术后72个月(图5)。

讨论

成釉细胞瘤表现出的侵袭性和破坏性行为,往往导致患者选择对病变部位进行切除治疗,这对患者的口腔康复有显著影响[7,8]。

因此,多学科方法在患者的康复中非常重要[3]。复发病例可以在预后考虑,并且在文献中,它们通常在初始治疗后平均在32个月内检测到;并通过骨重建的边缘颌下切除术和节段性悬崖切除术来治疗,主要用皮质髂嵴移植,松质髂嵴骨移植,近端胫骨骨移植物和腓骨自由瓣。基本重建可以涉及使用非血管化骨移植一起通过牙科植入物和植入物支持的假体恢复丢失的牙齿。

在这种情况下,成本节约与复发风险的统计平衡有利于种植牙的牙科康复,因为在第二次手术后没有观察到进一步的复发。

立即重建骨缺陷位置的牙科植入物与implant-supported假肢和康复第二阶段可以改善下颌功能和面部的和谐病人一旦牙科植入物允许恢复咀嚼物功能,语音和美学在颌面部康复,从而有助于提高患者的生活质量[9,10]。

然而,各自的手术切除这些肿瘤可能会导致残骨减少,这使得定期植入是不切实际的。因此,短假体可能是一种可行的替代治疗[11]。

有研究表明,颌后区短种植体植入成功率与传统种植体相似[12-14]。然而,关于在单囊性造釉细胞瘤刮除术中植入短假体的文献报道甚少。一些研究数据显示,在肿瘤切除后即刻植骨重建的区域安装传统长度的种植体成功率很高[15-17]。此外,安装在短种植体上的假体成功率与传统大小种植体支持的假体相似[18,19]。

图1:x线照片显示左下颌第一磨牙有一个大的透光性病变和牙根吸收(36)
图1B:轴位计算机断层扫描(CT)图像显示扩张的下颌病变

图2:20X递增-病变伴有囊腔
图2 b:增加400X -显示有壁画浸润肿块的区域。

图3:18个月随访-手术切除病灶后放置植入物。

在有创伤和严重骨吸收的区域或肿瘤切除的部位使用短假体已经成为一种可行的选择。在这种情况下,选择安装这种类型的植入物不仅减少了治疗成本和时间,而且由于患者已经进行了植骨手术,因此其发病率更低。恢复后的三年保存显示没有假体或假体的失败。

图4:牙合调整后的金属-陶瓷修复体。

图5:24个月后拍摄安装假体的x光片

结论

单囊造釉细胞瘤的治疗涉及多学科的方法,包括肿瘤切除手术、病理分析、使用种植体支持的患者的美容和功能康复;在低高度骨残留组织中安装短植入物可能是一种可行的、不那么激进的康复选择。

的利益冲突

没有与本文相关的潜在利益冲突的报道。

参考
  1. Torres-Lagares D, Infante-Cossío P, Hernández-Guisado JM, Gutiérrez-Pérez(2005)下颌造釉细胞瘤。回顾文献并报告六例病例。口腔溃疡10:231-238。[Ref。
  2. Gomes CC, Duarte AP, Diniz MG, Gomez RS(2010)综述文章:造釉细胞瘤发病机制的最新概念。口腔病理杂志39:585 -591。[Ref。
  3. saler HF, Tarawneh F, Fourkas P, Antoniades DZ, Athanasiou AE(2010) 1例滤泡造釉细胞瘤患者的外科、正畸和修复修复:1例报告。Eur J Dent 4: 192-196。[Ref。
  4. Fregnani ER, da Cruz Perez DE, DE Almeida OP, Kowalski LP, Soares FA, et al.(2010) 121例成釉细胞瘤的临床病理研究及治疗结果。国际口腔颌面外科杂志39期:145-149。[Ref。
  5. Ramesh RS, Manjunath S, Ustad TH, Pais S, Shivakumar K .(2010)下颌骨单囊性造釉细胞瘤:一个不寻常的病例报告和文献回顾。2: 1。[Ref。
  6. Bisinelli JC, Ioshii S, Retamoso LB, Moysés ST, Moysés SJ,等(2010)囊性成釉细胞瘤的保守治疗。美国矫形外科杂志137:396-400。[Ref。
  7. Chiapasco M, Colletti G, Romeo E, Zaniboni M, Brusati R(2008)下颌骨肿瘤切除术后自体骨移植和口腔种植体重建的长期结果。临床口腔种植体Res 19: 1074-1080。[Ref。
  8. Cuesta-Gil M, Ochandiano Caicoya S, Riba-García F, Duarte Ruiz B, Navarro Cuéllar C,等。口腔颌面外科杂志67:2485-2496。[Ref。
  9. Schoen PJ, Reintsema H, Raghoebar GM, Vissink A, Roodenburg JL(2004)下颌假体保留种植体在头颈癌患者口腔康复中的应用。治疗计划的回顾和基本原理。口服Oncol 40: 862-871。[Ref。
  10. Schoen PJ, Raghoebar GM, Bouma J, Reintsema H, Burlage FR, et al.(2008)头颈癌患者在切除肿瘤手术中同时放置种植体的口腔功能修复康复:治疗结果和生活质量的评估。国际口腔颌面外科杂志37:8-16。[Ref。
  11. Raviv E,Turcotte A,Harel-Raviv M(2010)短牙科植入物降低肺泡骨高度。Quintessence int。41:575-579。[Ref。
  12. Anitua E, Orive G(2010)上颌和下颌骨短种植体;一项随访1至8年的回顾性研究。牙周病杂志81:819-826。[Ref。
  13. Anitua E, Orive G, Aguirre JJ, Andía I(2008)后牙区短种植体5年临床评价:回顾性研究。J牙周病79:42-48。[Ref。
  14. Sonh DS, kim WS, lee WH, Jung HS, Shin H(2010)烧结多孔表面种植体修复无牙颌后牙的回顾性研究:长达9年的功能。Implant Dent 19: 409-418。[Ref。
  15. 关键词:下颌骨,成骨细胞瘤,骨膜内种植体,节段性下颌骨切除术,游离腓骨隔皮瓣重建整形外科113:80-87。[Ref。
  16. Troulis MJ,Williams WB,Kaban LB(2004)分类术分类,骨骼重建和颌骨肿瘤儿童的口腔康复协议。J口腔颌骨杂草62:335-343。[Ref。
  17. 张玉梅,蔡春英,魏福成(2006)下颌骨节段切除术后的完全康复。J外科医生94:538- 545。[Ref。
  18. Grant BT, Pancko FX, Kraut RA(2009)后下颌短种植体的疗效:回顾性研究。口腔颌面外科杂志67:713-717。[Ref。
  19. Stafford GL(2010)短跨度种植体支持悬臂式固定修复体的生存率。基于证据的登特11:50 -51。[Ref。

在此下载临时PDF

PDF

条信息

文章类型:病例报告

引用:Freire-Maia B, Zenóbio EG, Gomes HG, Bustamante RP, Horta MC, et al.(2016)单囊性成釉细胞瘤保守手术后短种植体康复病例报告。临床研究开放获取2(1):doi http://dx.doi.org/10.16966/2469-6714.109

版权:©2016 Freire-Maia B,等。这是一篇开放获取的文章,在知识共享署名许可协议的条款下发布,该协议允许在任何媒体上无限制地使用、发布和复制,前提是注明原作者和来源。

出版的历史:

  • 收到日期:2015年12月24日

  • 接受日期:2016年1月22日

  • 发表日期:2016年1月25日