临床研究:开放存取sci Forschen德赢娱乐国际

全文

研究文章
E-Cadherin和Vimentin在宫颈癌转移中的意义

Pragati Agnihotri1Kafil Akhtar.*1舍希德一个西迪基2Rana K Sherwani1

1印度阿利加尔穆斯林大学贾瓦哈拉尔·尼赫鲁医学院病理科
2印度阿利加尔阿利加尔穆斯林大学贾瓦哈拉尔·尼赫鲁医学院放射治疗系

*通讯作者:Kafil Akhtar博士,Jawaharal Nehru Medical College,Aligarh Muslim University,Aligarh副教授。(U.P),印度,电子邮件:Drkafilakhtar@gmail.com

摘要

目标和目标:评估E-钙粘蛋白和波形蛋白的表达及其特异性模式是否可以预测侵袭性,并可作为早期诊断的标志物,关联治疗反应,揭示E-钙粘蛋白和波形蛋白活性的预后重要性。

材料和方法:通过氧杂环蛋白和曙红切片对所有嗜哪种肠道和侵袭性上皮鳞状病变进行评估宫颈病变和侵袭性上皮鳞状病变,并通过E-Cadherin和Vimentin的免疫组化表达。还研究了患者随访和治疗相关变化。

结果:其中癌前病变111例(37.0%),恶性病变189例(63.0%)。10例中,高分化9例(90.0%),中分化8例(80.0%),低分化1例(10.0%)E-cadherin染色为4+。1例(10.0%)高分化癌显示1+(弱和局灶性)染色,1例(10.0%)中分化癌显示3+(强和局灶性)和4+(强和弥漫性)阳性。低分化癌1例(10.0%)波形蛋白2+(强、局灶性)阳性,3+(弱、弥漫性)和4+(强、弥漫性)阳性各3例(30.0%)。Fischer精确检验' p值' <0.05,具有统计学意义。结论:E-cadherin和Vimentin的免疫组化表达模式有助于预测预后和制定治疗方案。这些生物分子也可作为进一步研究肿瘤微侵袭的生物标志物,用于早期诊断和患者的生存。

关键词

宫颈癌;免疫组织化学;E-钙粘蛋白;波形蛋白

介绍

宫颈癌是女性第四大常见癌症,总体排名第七,2012年估计有528000例新病例[1]。2012年,全世界估计有266000人死于宫颈癌,占所有女性癌症死亡人数的7.5%。全球癌症负担的绝大多数(约85%)发生在欠发达地区,占所有女性癌症的近12%[1]。确定降低宫颈癌发病率和死亡率的新方法的一个重要步骤是找出与宫颈上皮病变进展为浸润性癌相关的干预措施。

宫颈癌患者死亡的主要原因是淋巴管和血管浸润引起的远处转移,导致治疗失败和复发[2]。上皮-间充质转化(EMT)在转移过程中的作用已被广泛接受[3]。EMT的特点是上皮特性的丧失和细胞间充质表型的获得。在此过程中,形成了一种更具可塑性的“亚稳态表型”,表达上皮和间充质特性[2]。这种亚稳态细胞具有更强的迁移能力、更强的抗凋亡能力、更强的抗化学性和多效性[3-5]。

EMT的现象是通过丧失上皮标记物E-钙粘蛋白的丧失和间充质标志物平衡的增益。Cadherins是参与Ca2 +依赖性细胞 - 细胞粘附的跨膜或膜相关糖蛋白[6]。已知E-Cadherin的丧失或功能障碍与侵入能力的增益相关,并且与高肿瘤级和预后差相关[7]。e-cadherin介导的细胞粘附的丧失是从普通上皮转变为差异差异癌的标志[8]。

本研究旨在评估E-cadherin和Vimentin的表达及其特异性是否可以预测侵袭性,并可能作为早期诊断的标志物,并关联治疗反应和揭示E-cadherin和Vimentin活性的预后重要性。

材料和方法

本研究是在阿利加尔贾瓦哈拉尔·尼赫鲁医学院病理科的300例宫颈病变中进行的。宫颈活检/标本评估所有恶性前病变和侵袭性上皮鳞状病变,采用常规苏木精和伊红切片,尽可能通过免疫组化检测E-cadherin和Vimentin的表达。

采用苏木精-伊红染色对石蜡包埋切片进行组织病理学检查。组织学证实的宫颈癌前病变和恶性病变被选择为研究。随后进行连续切片,用于免疫组化分析,使用兔和小鼠抗人多克隆抗体。免疫组化反应的工作系统是由Novocastra准备使用小鼠单克隆抗体E cadherin和Vimentin。(DAB: 3,3 ' -二氨基联苯胺,Dako)。为了评估E-cadherin和Vimentin,免疫组化染色切片检查肿瘤细胞的染色模式(核、胞浆或膜)、染色比例和强度。E-cadherin的染色强度通过三种方式进行评估:(2)与正常鳞状上皮相比,鳞状上皮染色较弱且均匀,但较弱;(3)细胞间染色不均匀或不均匀,未免疫染色的阴性细胞包括[8]。E-cadherin的染色位置分为膜质染色、膜质和细胞质同时染色、细胞质染色和缺失染色。在E-cadherin染色细胞百分比的基础上,我们引入了以下级别:0 -负膜性染色,1+/- < 10%细胞染色,2+/- 10 - 20%细胞染色,3+/- >20 - 50%细胞染色,4+/- >50%细胞染色。 Vimentin staining was graded as absent or presents (> 5% cells). We also graded the staining intensity as: 0- Negative cytoplasmic positivity, 1+/- Weak and Focal cytoplasmic staining, 2+/- Strong and Focal cytoplasmic staining, 3+/- Weak and Diffuse cytoplasmic staining, 4+/- Strong and Diffuse cytoplasmic staining.

利用SPSS软件对E-cadherin和vimentin免疫反应结果进行Fischer精确检验。15.0 (SPSS Inc.,芝加哥,伊利诺伊州,美国)。所有试验均为双侧试验,p值小于0.05被认为有统计学意义。

结果

其中癌前病变111例(37.0%),恶性病变189例(63.0%)。111例癌前病变中,低级别鳞状上皮内病变73例(65.8%),高级别鳞状上皮内病变38例(34.2%)。189例恶性肿瘤中,鳞癌172例(91.0%),小细胞癌8例(4.2%),腺癌5例(2.6%),腺鳞癌4例(2.11%)。

通过E-Cadherin和Vimentin进行了免疫组织化学染色,通过良好,中度和差异差异差异的鳞状细胞癌和染色细胞染色位置和显示出显示免疫表达的恶性细胞的染色位置和展开的染色细胞进行免疫组织化学染色。

9例(90.0%)高分化鳞状细胞癌E-钙粘蛋白呈强染色,1例(10.0%)呈弱均匀染色。中分化癌中8例(80.0%)呈强染色强度,而2例(20.0%)呈弱均匀染色强度。10例中,1例(10.0%)低分化癌呈强阳性,7例(70.0%)呈弱均匀染色,2例(20.0%)染色阴性。Fischer精确检验显示“p值”小于0.05,具有统计学意义。

6例(60.0%)良好分化的癌,表明E-Cadherin的膜质染色与3例(30.0%)中度分化的3例(30.0%),并且癌不具有差。在4例(40.0%)的良好分化的癌中,4例(40.0%)的中度分化的癌和2例(20.0%)差异不良癌,均为膜状和细胞质染色。三种病例(30.0%)中度分化和6例(60.0%)差异的癌差异,仅显示细胞质染色。2例(20.0%)差异的癌不良,显示出没有染色。Fischer精确测试显示<0.05的“P值”,其统计学意义(表1)。

10例中,高分化9例(90.0%),中分化8例(80.0%),低分化1例(10.0%)E-cadherin为4+染色(图1)。中分化2例(20.0%),低分化2例(20.0%)。低分化癌2例(20.0%)为2+,3例(30.0%)为1+,2例(20.0%)为0。Fischer精确检验' p值' <0.05,具有统计学意义(表2)。

高分化癌9例(90.0%),中分化癌8例(80.0%),低分化癌3例(30.0%)Vimentin呈阴性。Vimentin阳性1例(10%)高分化癌,2例(20.0%)中分化癌,7例(70.0%)低分化癌。Fischer精确检验' p值' <0.05,具有统计学意义。

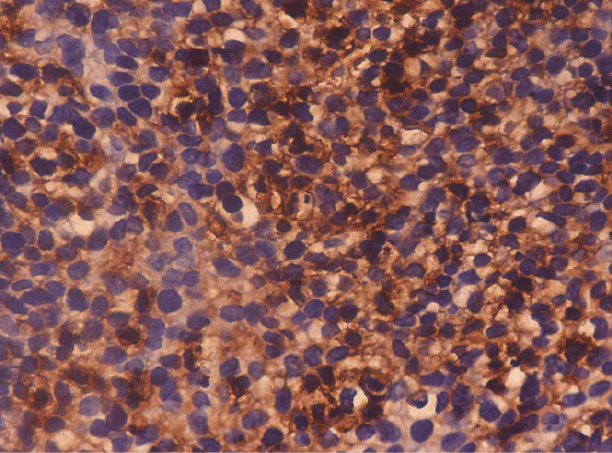
9例(90.0%)高分化癌、8例(80.0%)中分化癌和3例(30.0%)低分化癌显示Vimentin阴性。1例(10.0%)高分化癌呈1+(弱局灶性)染色。中分化癌各1例(10.0%)表现为3+(强灶性)和4+(强弥漫性)阳性。低分化癌1例(10.0%)为2+(强且局灶性)阳性,3例(30.0%)为3+(弱且弥散性)阳性,3例(30.0%)为4+(强且弥散性)阳性(图2),‘p值’<0.05,差异有统计学意义(表3)。

在18例E-cadherin强阳性病例中,15例(83.3%)波形蛋白阴性,只有3例(16.7%)波形蛋白染色阳性。在10例E-cadherin染色较弱且均匀的病例中,有6例(60.0%)波形蛋白免疫染色阳性,只有4例(40.0%)波形蛋白阴性。E-cadherin阴性的所有病例(100.0%)均为波形蛋白阳性。Fischer精确检验显示“p值”小于0.05,具有统计学意义(表4)。

讨论

Frixen等人的[9]研究表明,肿瘤的侵袭和转移能力很大程度上取决于肿瘤内上皮细胞的分化程度,这一点通过检测来自膀胱癌、乳腺癌、肺癌和胰腺癌的各种人类细胞系得到了证实。他们发现具有上皮样表型的癌细胞系是非侵袭性的,表达上皮特异性细胞-细胞粘附分子E-cadherin,而具有成纤维母细胞表型的癌细胞系是侵袭性的,失去了E-cadherin的表达。

Pfisterer等[10]发现E-cadherin的表达与卵巢癌的分化状态有很好的相关性。Carico等[11]认为E-cadherin下调可能与喉部组织的肿瘤转化有关。Perez等[12]认为E-cadherin下调,增强了未分化子宫内膜癌的转移潜能,导致预后不良。Tang等[13]研究表明E-cadherin表达减少与胃癌分化差、TNM分期晚期、淋巴结转移显著相关。Fan[14]曾提到口腔鳞癌中E-cadherin低表达与预后不良相关。

在我们的研究中,当肿瘤从高分化级别分化到低分化级别时,E-cadherin显示了明显的进行性染色丢失。高分化癌9例(90%),中分化癌8例(80%),低分化鳞状细胞癌1例(10%)。低分化癌7例(70%)E-cadherin染色均匀但较弱,中分化癌2例(20%),高分化癌1例(10%)。Kaur等。[15]研究了钙粘蛋白表达在不同组织学等级的口腔鳞状细胞癌和公布强劲表现高度分化的90%,92.9%的中度分化和15.4%的低分化病例相比弱和异构染色显示10%,分别为7.1%和69.2%的情况下。E-cadherin表达缺失在低分化癌中占15.4%,在高分化癌和中分化癌中各占0%。Mehendiratta等人的[16]报告了0%、10%、30%分化良好、中等和低分化的口腔鳞状细胞癌没有染色。

表1:E-cadherin在不同级别宫颈鳞癌中的染色位置分布

表2:作为总恶体细胞的百分比的e-cadherin阳性的分布

表3:恶性病变染色强度基础染色的分布

我们的研究表明,3例(30.0%)中度分化的细胞质染色和6例(60.0%)差异差异化的癌。非常同样的是kaur等人。[15]发现细胞质染色28.6%适度分化,61.5%差异不良的口服SCC病例。Myong等人。[7]已经记录了细胞质E-CADERIN免疫反应性和膜质免疫反应性的损失的趋势,因为病变分别从CIS进入微生物和侵袭性SCC。据报道,细胞质染色分别为51%,71%和95%,分别记录为49%,23%和0%。

在我们的研究中,E-cadherin 4级+染色出现在90%的高分化癌、80%的中分化癌和仅10%的低分化癌中。我们注意到随着肿瘤分化程度的增加,细胞染色阳性的百分率呈下降趋势。Tang B等[13]报道E-cadherin表达减少与胃癌分化差、TNM分期晚期、淋巴结转移显著相关。

在我们的研究中,1例(25%)原发肿瘤中E-cadherin强染色和1例(25%)弱均匀染色显示淋巴结转移,而2例(50%)原发肿瘤染色不均匀或缺乏染色。Mehendiratta等人[16]记录了21例淋巴结转移阳性病例,其中10例(47%)表现为中度表达,4例(19%)表现为E-钙粘蛋白缺失或轻度表达。

在目前的研究中,随着肿瘤分级的增加,Vimentin逐渐增加。波形蛋白在高分化肿瘤中无阳性表达,中分化肿瘤中有20%,低分化肿瘤中有70%表达。只有20%的中分化肿瘤呈弥漫性波形蛋白阳性(3+和4+级),而低分化肿瘤呈60%。Liu等人的[17]研究表明,在53%最终发展为复发性肿瘤的患者肿瘤中观察到Vimentin的高表达,并与复发和死亡相关。Domagala等[18]研究发现波形蛋白表达是淋巴结阴性导管NOS乳腺癌不良预后的重要指标。

图1:分化良好的鳞状细胞癌:显微照片显示肿瘤细胞强烈,膜性,4+级染色。(IHC: E-cadherin × 40X)

图2:低分化鳞状细胞癌:显微照片显示癌巢中4级+细胞质染色。(IHC Vimentin × 40X)

表4:颈鳞状细胞癌子宫颈肠癌和平衡表达的反向相关性

E-cadherin与Vimentin表达呈负相关(p<0.05)。Thompson等人[19]也得出结论,人类乳腺癌进展首先导致E-cadherin的丢失,然后是Vimentin的获取,后者通过增强侵袭性而增加转移潜能。Myong等人[7]的研究表明E-cadherin和Vimentin的表达呈负相关。在他们的研究中,在E-cadherin表达降低的病例中,45%的病例显示波形蛋白表达强烈,而在膜性E-cadherin表达强烈的病例中,只有10%的病例显示波形蛋白表达强烈。

Liu等人的[17]研究了口腔鳞癌,在43例最终发展为复发肿瘤并与复发和死亡相关的患者的肿瘤中有23例(53%)Vimentin高表达(P<0.001和<0.001)。E-cadherin表达降低在43例最终发展为复发肿瘤患者中的36例(84%)肿瘤中观察到,并与复发和死亡相关(分别P<0.001和<0.001)。Vimentin的上调和E-cadherin/β-catenin复合物在肿瘤侵袭前的异常表达可能为口腔鳞状细胞癌提供一个有用的预后标志物。

在我们的研究中,E-cadherin的下调和Vimentin的上调与组织分化、淋巴结转移呈正相关。这些发现为上皮间质转化(EMT)在宫颈癌进展中的作用以及预测各种上皮内和上皮病变的侵袭性提供了重要的证据。

结论

随着肿瘤从好到差的分化,E-钙粘蛋白的染色强度显著降低,显示染色的细胞数量减少,细胞质染色增加,膜染色减少,波形蛋白的阳性率和染色强度显著增加。E-钙粘蛋白和波形蛋白的免疫组化表达模式有助于预测患者的预后和计划治疗。

工具书类
  1. Ferlay J,Soerjomataram I,Ervik M,Dikshit R,Eser S等。(2013)全球癌症发病率和死亡率:GLOBOCAN 2012年的来源、方法和主要模式。《国际癌症杂志》136:359-386。[Ref。]
  2. Lee MY, Shen MR(2012)宫颈癌上皮-间充质细胞转化。Am J Trans Res 4: 1-13。[Ref。]
  3. Savagner P(2010)上皮-间充质转化(EMT)现象。安·昂科尔21:89-92。[Ref。]
  4. Franco DL, Mainez J, Vega S, Sancho P, Murillo MM,等(2010)Snail1抑制TGF-β诱导的细胞凋亡,足以触发肝细胞EMT。中国细胞科学(英文版)23:3467-3477。[Ref。]
  5. xu DS, Lan HY, Huang CH, Tai SK, Chang SY, et al. (2010) Snail调控切除修复交叉互补组1有助于头颈癌顺铂耐药。Clin Cancer Res 16: 4561-4571。[Ref。]
  6. Halbleib JM,Nelson WJ(2006)钙蛋白在开发中:细胞粘附,分选和组织形态发生。基因和发展20:3199-3214。[Ref。]
  7. Myong NH(2012)上皮-间充质转化中E-cadherin的缺失和Vimentin的获得是宫颈癌进展的Noble指标。韩国J Pathol 46: 341-348。[Ref。]
  8. Murakami A, Nakagawa T, Fukushima C, Torii M, Sueoka K, et al.(2008)宫颈癌原发灶和淋巴结转移中鳞状细胞癌抗原2和E-cadherin表达降低的关系。Oncol报告19:99-104。[Ref。]
  9. Frixen UH, Behrens J, Sachs M, Eberle G, Voss B, et al. (1991) e - cadherin介导的细胞-细胞粘附阻止人类癌细胞侵袭。J Cell Biol 13: 173-185。[Ref。]
  10. Pfisterer J, Wintzer O, Frixen UH, Behrens J, Eberle G, et al. (1990) Arc-1/uvomorulin在非恶性组织和卵巢肿瘤中的免疫化学作用。J Cancer Res Clin Oncol 116: 182-188。
  11. Carico E, Radici M, Losito NS, Raffa S, Firrisi L,等(2012)E- cadherin和α-Catenin在t1n0喉癌中的表达。抗癌文献32:5245-5249。[Ref。]
  12. Pérez LR, García LM, Martín JD, kusola M, Castilla MA, et al. (2013) ZEB1过表达与E-cadherin和microRNA-200下调相关是未分化子宫内膜癌的特征。Mod Pathol 26: 1514-1524。[Ref。]
  13. [唐波,彭志华,余普文,余刚,钱芳(2011)Cx43和E-cadherin在胃癌及转移淋巴结中的表达及意义。Med Oncol 28: 502-508。[Ref。]
  14. 樊红霞,王胜,赵辉,刘宁,陈东,等(2014)Sonic hedgehog信号通路可能通过激活MMP-9和E-cadherin表达促进口腔鳞癌侵袭转移。医生31 - 41-48。[Ref。]
  15. Kaur G, Carnelio S, Rao N, Rao L (2009) E-cadherin在原发性口腔鳞状细胞癌和转移淋巴结中的表达:免疫组化研究。牙科研究20:71-76。[Ref。]
  16. Mehendiratta M, Solomon MC, Boaz K, Guddattu V, Mohindra A(2014)印度口腔鳞状细胞癌侵袭性肿瘤前沿E-cadherin表达的临床-病理相关性:免疫组化研究。口腔颌面部病变18:217- 222。[Ref。]
  17. Liu LK, Jiang XY, Zhou XX, Wang DM, Song XL, et al. (2010) vimentin上调和E-cadherin/β- catenin复合物异常表达与口腔鳞状细胞癌临床病理特征及预后的关系。Mod Pathol 23: 213-224。[Ref。]
  18. Domagala W, Lasota J, Dukowicz A, Markiewski M, Striker G, et al.(1990)在淋巴结阴性导管NOS乳腺癌中,波形蛋白表达可能与不良预后相关。病理杂志137:1299-1304。[Ref。]
  19. Thompson EW, Paik S, Brünner N, Sommers CL, Zugmaier G,等(1992)人乳腺癌细胞系基底膜浸润增加与雌激素受体缺失和波形蛋白表达的关系。中国细胞生物学杂志[Ref。]

在此下载临时PDF

文章信息

文章类型:研究文章

引用:Agnihotri P, Akhtar K, Siddiqui SA, Sherwani RK(2015)宫颈癌转移:E-Cadherin和Vimentin的意义。临床研究开放获取1(2):doi http://dx.doi.org/10.16966/2469-6714.107

版权:©2015年Agnihotri P等人。这是在创意公约归因许可的条款下分发的开放式文章,其允许在任何媒体中不受限制地使用,分发和再现,只要原始作者和来源被记入。

出版的历史:

  • 收到日期:2015年9月22日

  • 接受日期:2015年12月22日

  • 出版日期:2015年12月29日