图1:入院时V/Q闪烁

Sehnaz Olgun Yildizeli1 *Emel Eryuksel1Fuat黛德2Baran Balcan3.杰伊汉Berrin1
1土耳其,马尔马拉大学医学院,潘迪克教学医院,肺科和重症监护室*通讯作者:Şehnaz Olgun Yildizeli, Marmara大学医学院肺科和重症监护科,Pendik教学医院,伊斯坦布尔,土耳其,电话:902166452525;电子邮件:drsehnazolgun@yahoo.com
作品简介:经皮椎体成形术是一种用于治疗骨质疏松引起的疼痛性椎体骨折的椎体增强手术。肺栓塞是一种罕见的并发症,它通常是不被发现的,因为轻微的呼吸症状。在这个报告中,我们报告了我们在这种情况下的经验。
病例报告:一名48岁男性患者因骨质疏松而发生自发性椎体压缩性骨折。每11个椎体采用经皮椎体成形术。术后第一天,他突然出现呼吸急促、胸痛和心动过速。
诊断评估后诊断为与水泥聚甲基丙烯酸甲酯(PMMA)相关的肺栓塞。患者接受低分子肝素(LMWH)治疗,在第一周结束时症状缓解。如果病人出现症状或发现任何渗漏,应终止手术。
结论:骨水泥栓塞是经皮椎体成形术的并发症。相关症状可能发生在手术过程或术后期间。
目前尚无具体规范的治疗方案,但建议急诊肝素治疗和维持治疗华法林。在某些情况下,抗凝对骨水泥栓塞的解决可能无效,但可以避免额外的血栓形成。术中及术后常规透视检查可早期发现,使用黏性骨水泥和进行静脉造影术可降低栓塞的风险。
Vertebroplasty;骨质疏松症;水泥;肺栓塞
经皮椎体成形术是一种椎体增强术,用于治疗骨质疏松引起的疼痛性椎体骨折。这是一种相对较新的治疗方法,但已成为这些患者疼痛控制的标准治疗方法。本手术采用聚甲基丙烯酸甲酯(PMM)作为骨水泥,其主要并发症与骨水泥渗漏有关。它可导致广泛的并发症,如无症状的周围组织损伤、神经根压迫伴持续疼痛或肺栓塞[3-5]。肺栓塞是这些手术的严重并发症。
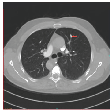
48岁男性,有慢性阻塞性肺疾病病史,诊断为复发性葡萄膜炎,但没有结节病或结核病的证据。他接受了脉冲类固醇和口服类固醇作为维持治疗葡萄膜炎。他还有30年的吸烟史。骨质疏松症继发自发性椎体压缩性骨折。每11个椎体均行经皮椎体成形术。术后第一天患者突然出现呼吸急促、胸痛和心动过速。血压正常,心率116 /min。肺听诊叩诊清晰,心脏及其他查体正常。血液化学分析及pH: 7.46, pCO无明显变化2: 38mmhg, pO2: 58mmhg, HCO3.: 28, SaO2: 91动脉血气分析。胸部计算机断层CT血管造影显示右上、下叶半奇静脉内因辐射不透明而出现致密物质(图1-3)。行超声心动图及下肢多普勒超声检查,未见病理改变。这些结果与水泥PMMA肺栓塞、低分子肝素低分子肝素抗凝和氧疗相一致。一周后,低氧血症得到缓解,患者接受低分子肝素治疗出院回家。对照组CT血管造影显示6个月时PMMA栓塞无变化,并行通气灌注闪烁(VQ)检查。VQ扫描也显示右上叶前部和左上叶尖后低灌注失配区,但患者治疗后无症状(图4、5)。
图1:入院时V/Q闪烁
图2:入院时V/Q闪烁
图3:入院时胸部CT检查
图4:低分子肝素治疗后胸部CT检查
图5:低分子肝素治疗后胸部CT检查
经皮椎体成形术是一种微创透视引导的手术,通常首选于治疗疼痛性骨质疏松性骨折和一些椎体浸润性肿瘤[6]。聚甲基丙烯酸甲酯用作骨水泥,并在手术过程中注入椎体。
骨水泥渗漏到周围组织是手术最常见的并发症,高达90%[8]。PMM的液体稠度、较高压力下注射骨水泥及恶性肿瘤的治疗均与骨水泥渗漏并发症[6]的增加有关。在大多数情况下,渗漏不会造成任何问题,只是在术后x线监测时偶然发现。局部PMMA渗漏可引起神经根受压、椎管狭窄、神经根疼痛、感染[9]。它还可引起一些主要的全身并发症,如脑栓塞、肺栓塞、肾动脉栓塞和急性呼吸窘迫综合征[10]。
骨水泥从椎旁静脉漏入肺血管循环是肺栓塞的主要来源。骨水泥栓塞的发生率为3.5-23%,椎体成形术后骨质疏松性骨折的发生率增加。另一方面,有一组文献报道,尽管发现水泥渗漏进入静脉系统[12],但没有发生水泥肺栓塞的病例。临床上栓塞可有症状或无症状。症状通常是呼吸困难,呼吸急促,心动过速,发绀,胸痛,咯血,但大多数患者可以完全无症状或轻度症状可出现在手术过程中或术后一段时间。在临床实践中,患者出现症状的发生率低于1%。术后胸部x线检查通常发现肺水泥栓塞为分支放射密度影,即使在临床上无症状的病例[9]。CT血管造影、通气灌注闪烁、超声心动图及肺弥散能力可进一步诊断栓塞[5]。目前对骨水泥栓塞尚无标准化的治疗方法。治疗建议与减少血栓形成、肺梗死和呼吸衰竭[9]有关。 Localization, size of emboli also severity of the symptoms is effective on deciding the treatment choice [13,14]. Suggested treatment for symptomatic central orperipheral lesions is first intravenous heparin or LMWH after that warfarin or LMWH at least 3-6 months [13,14]. For severe symptomatic patients as in respiratory failure, embolectomy should be the first choice [14]. Anticoagulation may not reverse all cement emboli lesions but it is revealed that PMMA may lead to endothelial dysfunction and have prothrombotic effects that can result as additional thrombosis [15], so anticoagulation is essential to avoid from additional thrombosis or progressive occlusion of the pulmonary arteries. In elderly population continuous treatment after six month is not suitable because of the bleeding complications and side effects of the anticoagulation [6]. In the long term follow up patients may stay asymptomatic despite the consisting embolism.
在文献中,有一些关于由水泥栓塞[16]和移行性房内水泥栓塞[17]引起的心脏穿孔和填塞的报道,这些都需要手术治疗。
文献回顾表明,此手术应由经验丰富的外科医生在透视下进行。粘性水泥或牙膏的稠度可以减少渗漏,尽管使用粘性水泥比较困难[18,19]。此外,使用较高压力的PMMA,特别是在液体稠度时,也可能增加泄漏风险[6]。在注射过程中应监测患者,并应立即停止操作,以发现任何泄漏。一些作者建议术后24小时进行常规透视随访[6]。除此之外,建议俯卧位、术前静脉造影、提高胸内压力以降低风险[20,21]。
骨水泥栓塞是经皮椎体成形术的并发症。症状可能发生在手术过程中或术后。术中如发现有症状或漏诊,应终止手术。在手术过程中和术后,建议使用黏性骨水泥材料进行常规透视,以早期发现,并进行静脉造影术可降低栓塞风险。
在此下载临时PDF
文章类型:病例报告
引用:Yildizeli SO, Eryuksel E, Dede F, Balcan B, Ceyhan B(2016)经皮椎体成形术后水泥肺栓塞的非愈合放射学图像。临床病例1(5):doi http://dx.doi.org/10.16966/2471-4925.130
版权:©2016 Yildizeli SO, et al。这是一篇开放获取的文章,在知识共享署名许可协议的条款下发布,该协议允许在任何媒体上无限制地使用、发布和复制,前提是注明原作者和来源。
出版的历史:
所有Sc德赢娱乐国际i Forschen期刊都是开放获取的