临床麻醉与管理德赢娱乐国际

全文

病例报告
选择性二尖瓣夹闭术中二尖瓣夹脱离的处理

菲律宾人质默塞德P埃利斯TApplefield DKrishnan年代

美国密歇根州底特律市韦恩州立大学医学院麻醉科

*通讯作者:美国韦恩州立大学医学院麻醉学教授,美国密歇根州底特律市坎菲尔德街48201电话:2488586068;电子邮件:tellis@med.wayne.edu


条信息

文章类型:病例报告

引用:Merced DP, Ellis T, Applefield D, Krishnan S(2017)择期二尖瓣夹闭术中二尖瓣夹脱离的处理。临床杂志2(1):doi http://dx.doi.org/10.16966/2470-9956.123

版权:©2017 Merced DP等。这是一篇开放获取的文章,在知识共享署名许可协议的条款下发布,该协议允许在任何媒体上无限制地使用、发布和复制,前提是注明原作者和来源。

出版的历史:

  • 收到日期:2016年10月21日

  • 接受日期:2017年2月10

  • 发表日期:2017年2月14日

  • 摘要

    根据美国心脏病学会(American College of Cardiology)的数据,美国每年有超过4.2万名患者接受二尖瓣手术。二尖瓣返流的治疗是非常复杂的,并且几乎完全委托给心胸外科医生。近年来,一种名为MitraClip的经皮二尖瓣夹闭装置商业化了TM(Abbott Global Healthcare)的一种将二尖瓣瓣叶的一侧固定在相应的另一侧的瓣叶上的方法,受到了心胸外科医生和心脏科医生的青睐,适用于开腹心脏手术中发病率和死亡率较高的患者。在最近的EVEREST II 5年随访研究中,Feldman等人[1]报道经皮二尖瓣夹闭术和手术干预在MR降低方面具有相似的长期结果。我们报告一例二尖瓣外展夹从后瓣脱离,但仍附着在前瓣连枷节段。另一个经皮二尖瓣夹放置在失败的二尖瓣夹旁边,导致临床显著降低MR。

    病例报告

    一名75岁男性因择期经皮二尖瓣夹闭入院。他报告了过去的冠状动脉疾病病史,10年前心肌梗死和冠状动脉搭桥术后的状态,高血压,良性前列腺肥大,肥胖,饮食控制糖尿病和严重的MR.患者抱怨呼吸困难,最小的运动,矫形呼吸,和纽约心脏协会(NYHA) III级症状(表1)。术前经食管超声心动图(TEE)显示左室(LV)射血分数为40%,左心房扩张(LA),前叶连击A2段导致严重MR(图1-3)。二尖瓣返流率估计为53%,有效返流口面积为0.46 cm2,符合严重MR.的诊断。患者被带进手术室(OR),准备手术。在右桡动脉插管20号预诱导动脉线,麻醉诱导患者行气管内全麻。患者在诱导过程中保持血流动力学稳定,在无菌条件下,将右侧9.0法国Swan-Ganz导入右侧颈内静脉,无并发症。吸出胃内容物,TEE探针顺利插入患者食管。心内科小组插管右股静脉,使用经间隔穿刺工具将二尖瓣夹鞘引入左心房。二尖瓣夹展开鞘放入右股静脉,进入右心房,最后穿过房间隔进入LA。然后将二尖瓣夹展开装置通过鞘入LA(图4)。在TEE和x线引导下,二尖瓣夹位于连枷节段前后小叶之间。为了成功地同时抓住两个小叶,需要多次尝试,之后将夹展开并拧紧。在展开前用TEE确认二尖瓣夹插入双二尖瓣小叶。评估二尖瓣夹的位置显示,尽管MR略有降低,但二尖瓣夹未能将MR降低到预期的程度。 After a thorough review of the status of the valve on TEE, as well as discussion between the cardiology team, the cardiac surgeon, and the cardiac anesthesiologist, the decision was made to attempt placement of a second clip. A second mitral clip was subsequently prepared by the OR team for deployment. During the preparation of the second mitral clip by the OR team, the first mitral clip was noted to be dislodged from the posterior leaflet of the mitral valve on TEE. This initial clip was still attached to the flail segment of the anterior leaflet of the mitral valve, but the degree of MR had regressed to pre-mitral clip conditions (Figure 5). The patient remained hemodynamically stable after the detachment of the initial clip from the posterior mitral leaflet. The second clip was positioned laterally to the first clip between the A2 and P2 segments of the mitral valve (Figure 6). After the simultaneous grasp of both leaflets with the mitral clip and a significant reduction in MR were noted on TEE, the second clip was deployed successfully without incident. A comprehensive TEE was performed by the cardiac anesthesiologist after the deployment of the second mitral clip to evaluate the patient’s cardiac status. The MR was noted to be reduced from severe to moderate, and the patient had a small atrial septal defect from the trans-septal puncture (Figures 7-9). All other TEE findings, including LV function, remained unchanged from prior to the procedure.

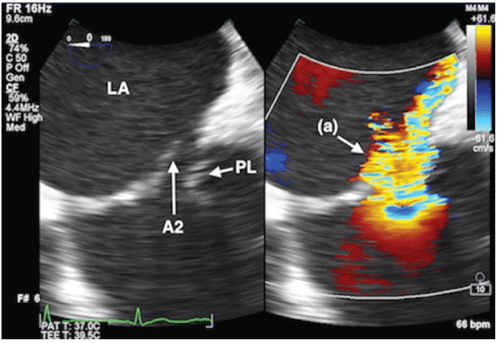
    图1:食管中部腔体视图(放大)显示连叶A2段和严重的后向MR射流(a)。LA =左心房;PL =二尖瓣后叶;A2 =二尖瓣前叶A2段;MR =严重二尖瓣反流。

    图2:食管中部连合视图显示A2和P2段间严重MR (a)。P1 =二尖瓣后叶P1段;P3 =二尖瓣后小叶P3段;A2/P2 =二尖瓣A2/P2段。

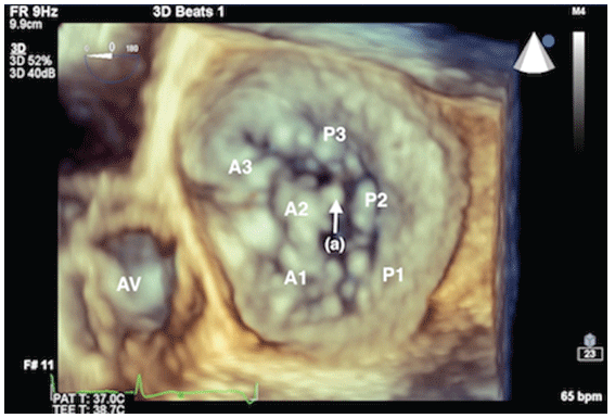
    图3:二尖瓣器械及其相应节段三维立体视图,如图A2处连枷节段(a)。AV =主动脉瓣。

    图4:食管中段四腔视图,二尖瓣夹展开器(a)经中隔入路向二尖瓣推进。在该装置的顶端可以看到闭合的二尖瓣夹。RA =右心房;RV =右心室;LA =左心房;LV =左心室;AL =二尖瓣前叶;二尖瓣后叶。

    图5:食管中部2腔视图,显示展开后的第一个二尖瓣夹(a)。它与后小叶分离,附着在连枷A2段上,漂浮在二尖瓣环的水平上方。AL =前叶;后传单。

    图6:新的第二夹子(a)的正面三维视图被推进到第一个分离夹子(b)的侧面,也可以看到。第二段剪辑仍然连接在这个图像中的部署设备(c)上。

    图7:食管中部2腔图像,显示第二个夹子(a)到位。第一个夹子(b)与后小叶分离。

    图8:第一(a)和第二(b)固定夹的正面三维图像。可以看到第一个夹子与后瓣分离。

    图9:食管中段四腔切面(放大),显示展开后的第二瓣夹(a)。MR (b)明显降低。

    NYHA
    症状
    不限制身体活动。普通的体力活动不会引起过度疲劳、心悸、呼吸困难。
    2 身体活动有轻微限制。舒适的休息。
    普通的体力活动会导致疲劳、心悸、呼吸困难。
    3 身体活动明显受限。舒适的休息。少于正常活动会导致疲劳、心悸或呼吸困难。
    4 不能毫无不适地进行任何体育活动。静息时出现心力衰竭症状如果进行任何体育活动,不适就会增加。

    表1:NYHA功能分类。它根据患者在身体活动中的功能限制程度将患者分为四类中的一类。

    结果和随访

    患者的血流动力学保持稳定,随后在全程监护下被送往心血管重症监护病房(CVICU)。患者在到达CVICU 3小时后拔管。他说他的呼吸困难已经改善,并且没有报告手术的不良反应。术后第三天出院,病情稳定。

    讨论

    一般人口的平均预期寿命继续增加,因此MR的患病率继续上升[2]。手术治疗一直是MR治疗的主要手段,即使无症状MR也经常发展为左室衰竭。多年来,MR手术干预意味着二尖瓣置换术。然而,在20世纪90年代中期,Enriquez-Sarano等人[3]进行了一项比较二尖瓣修复与瓣膜置换术的研究。研究表明,二尖瓣修复术的术后效果明显优于二尖瓣置换术。在接下来的几年里,心脏外科医生开始关注二尖瓣修复和置换术。随着微创手术技术的日益重视,外科医生开始发展微创二尖瓣修复技术,包括右外侧小开胸入路和机器人入路达芬奇机器人系统(Intuitive Surgical, Sunnyvale, CA, USA)。与开放手术相比,微创二尖瓣手术已经被大量研究确定结果。Ramlawi et al.[4]的一项研究评估了微创二尖瓣手术技术,他们发现无论是微创二尖瓣手术还是传统二尖瓣手术,肾功能衰竭、中风和生存率都相似;然而,他们也报告了红细胞输注率、术后房颤频率和恢复时间的降低。

    对开发更安全的微创技术的强烈兴趣,导致了经皮二尖瓣修复入路的发展。这些经皮穿刺技术近年来得到广泛应用。在2009年完成初次EVEREST试验评估经皮二尖瓣夹装置后,Feldman等人发布了他们的调查结果。他们总结道:“使用二尖瓣夹系统经皮修复可以在发病率和死亡率低的情况下完成,大多数患者的急性MR降低到<2+,并在相当大的比例中持续免于死亡、手术或复发MR。”Glower等人的[6]在EVEREST II试验中证实了这些发现,结论是在第一年二尖瓣钳手术与手术有相似的修复率。EVEREST II试验只包括可接受手术的左室功能保留的患者。研究人员随后试图研究被认为具有高手术风险的患者1年的结果。根据STS风险计算或外科医生估计的手术风险,他们将手术死亡率≥12%列为高风险。在他们纳入研究的78名患者中,75%的二尖瓣夹植入术患者MR从严重降低到中度。78例患者中70例为NYHA III/IV级干预前;二尖瓣夹干预后,74%的存活患者的NYHA分级为I/II级。 Additionally, 75.4% of the high-risk mitral clip patients were alive at 1 year compared to 55.3% of patients in a retrospective comparator group managed medically [7]. This data demonstrated that the mitral clip placement improved both MR and clinical symptoms in the majority of high risk patients. Feldman et al. [1] went on to evaluate 5-year outcomes of mitral clip repair versus conventional mitral valve surgery. They concluded that the mitral clip device showed improved safety when compared with mitral valve surgery, but with more need for surgical repair of MR during the first year after surgery. Between years 1-5, there were comparable rates of surgery for mitral valve dysfunction with either mitral clip placement or surgical intervention. These EVEREST trials helped to illustrate the efficacy and safety of mitral clip placement, and solidified its role as an alternative to conventional surgical approaches in high-risk surgical patients. Although mitral clipping has been shown in studies to have superior safety when compared to surgery, it is not without complications. Eggebrecht et al. [8] evaluated complications in 828 patients during and after mitral clipping, with major complications in occurring in 12.8% of those patients. These complications included bleeding (7.4%), in-hospital death (2.2%), pericardial tamponade (1.9%), partial clip detachment (1.9%), and stroke (0.9%). However, Magruder et al concluded in a more recent review of the mitral clip device, that clip placement has been shown to be a safe alternative to surgery in high-risk surgical patients, and can dramatically improve the symptoms and degree of MR in patients [9]. In conclusion, this case study intends to expose clinicians to an innovative and effective procedure for improvement of MR. The first clip detaching from the posterior leaflet was an interesting finding that was readily seen on TEE. Successful placement of a second clip placed laterally to the first clip proved an efficacious method of salvage of the percutaneous procedure in a high-risk patient resulting in significant improvement of the MR on TEE.

    参考文献

    1. Feldman T, Kar S, Elmariah S, Smart SC, Trento A,等(2015)经皮修复和手术治疗二尖瓣返流的随机比较:EVEREST II的5年结果。J Am Coll Cardiol 66: 2844-2854。[Ref。
    2. 关键词:心脏瓣膜疾病,负荷,人群,研究abstract:《柳叶刀》368:1005 - 1011。[Ref。
    3. Enriquez-Sarano M, Schaff HV, Orszulak TA, Tajik AJ, Bailey KR,等(1995)瓣膜修复改善二尖瓣返流的手术结果。多变量分析。发行量91:1022 - 1028。[Ref。
    4. Ramlawi B, Gammie J(2016)二尖瓣手术:目前微创和经导管治疗的选择。卫理公会心血管杂志12:20-26。[Ref。
    5. Feldman T, Kar S, Rinaldi, Fail P, Hermiller J,等(2009)在最初的EVEREST(血管内瓣膜边缘到边缘修复研究)队列中,使用MitraClip系统经皮二尖瓣修复的安全性和中期耐久性。J Am Coll Cardiol 54: 686-694。[Ref。
    6. Glower D, Ailawadi G, Argenziano M, Mack M, Trento A, et al. (2012) EVEREST II随机临床试验:二尖瓣置换术或MitraClip术后二尖瓣置换术的预测因素。J胸心血管外科143(4 Suppl): S60-S63。[Ref。
    7. Whitlow PL, Feldman T, Pedersen WR, Lim DS, Kipperman R,等。J Am Coll Cardiol 59: 130-139。[Ref。
    8. Eggebrecht H, Schelle S, Puls M, Plicht B, von Bardeleben RS, et al. (2015) MitraClip植入术中和术后并发症的风险和结局:来自德国经导管二尖瓣介入(TRAMI)注册的828例患者的经验。心血管导管期86:728-735。[Ref。
    9. Magruder JT, Crawford TC, Grimm JC, Fredi JL, Shah AS(2016)管理二尖瓣返流:关注MitraClip装置。医疗器械(Auckl) 9:53 -60。[Ref。

    请在此下载临时pdf

    PDF