图1:高分辨率胸部CT示右上肺叶钙化结节(白色箭头),淋巴管周围和小叶中央分布有大量小结节(黑色箭头),与随机分布的间质结节一致。
全文
萨尔玛Albahrani1Donya艾尔哈桑2优素福Vapra3.萨阿德Alsubaiae4阿玛尔Shilash5 *
1沙特阿拉伯王国东部省达兰法赫德国王军事医院传染病科内科2沙特阿拉伯王国东部省达兰法赫德国王军事医院心胸科放射科
3.沙特阿拉伯东部省达兰法赫德国王军事医院肺科内科
4沙特阿拉伯王国东部省达兰法赫德国王军事医院组织病理学部
5沙特阿拉伯王国东部省达兰法赫德国王军事医院感染控制部
*通讯作者:阿迈勒·施拉什,沙特阿拉伯王国东部省达兰31952,法赫德国王军事医院感染控制部,电话:00966509986630;电子邮件:amalsalshammari@gmail.com
背景:肺结核与隐球菌病合并感染常发生于细胞免疫功能受损的免疫功能低下患者。在这里,我们报告了一例播散性肺结核合并肺隐球菌病的非hiv患者。然而,患者之前曾接触过抗肿瘤坏死剂。
方法:该方法包括回顾性描述分析的单一病例作为病例报告。
结果:一位62岁的沙特女性因两个月的食欲减退和呼吸急促的病史就诊于急诊科(ED)。既往病史显示发病前9个月曾因银屑病接受抗肿瘤坏死因子治疗。胸部CT示双侧肺弥漫性小结节。因此,肺结节活检显示上皮样细胞肉芽肿和酵母真菌成分。周期性酸-希夫(PAS)染色和Gomori Methenamine Silver (GMS)染色均为阳性。后者提示组织胞浆菌病,而组织胞浆菌病在沙特阿拉伯并不流行。分子鉴定结果显示是新型隐球菌。支气管肺泡灌洗,聚合酶链反应随访显示结核分枝杆菌。在她的住院期间,病人有异常的肌阵挛运动。MRI显示双侧基底节区环状强化病变。 Moreover, the cryptococcal antigen was negative in Cerebral Spinal Fluid (CSF) and positive in serum testing. According to these findings, disseminated tuberculosis in the lung and brain was suspected with pulmonary cryptococcosis where antimycobacterial therapy and anti-fungal were initiated. After two months in therapy, the patient improved.
结论:临床医生应该意识到,结核病与隐球菌病合并感染可以在没有基础疾病的非艾滋病患者中共存,尽管这种情况很少见。
结核和隐球菌病合并感染通常发生在细胞免疫受损的免疫抑制患者或hiv阳性患者。然而,在没有基础疾病[1]的非hiv患者中,此类合并感染的报道很少。在这里,我们报告了一例播散性肺结核与肺隐球菌病共存的免疫能力患者。诊断依据是肺活检后支气管肺泡灌洗及脑脓肿新型隐球菌.有证据表明两者都有结核分枝杆菌和新型隐球菌可能对宿主免疫系统有抑制作用,这可能解释了健康人[2]的合并感染。
本病例报告扩大了我们对这些感染的立场,在临床表现前9个月有抗肿瘤坏死因子治疗史的个体。
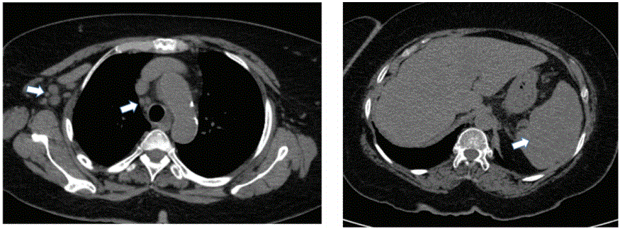
一位62岁的沙特女性到急诊科(ED)主诉有两个月的食欲减退史,体重下降约10公斤,周期性的主观发热。同时,她也有呼吸急促和咳白痰的病史。她不吸烟,也不知道以前没有诊断过肺结核,也没有接触过确诊的肺结核病例。用药史显示她目前服用艾司西酞普兰治疗抑郁症,有阿达木单抗治疗银屑病史;她的最后一剂药是九个月前她已经服了一年了。患者否认使用过任何皮质类固醇,也不知道她以前是否做过肺结核筛查。她住在南部(国际足联在沙特阿拉伯的吉赞旁边)。她养了很多猫;没有接触过鸟类、鸽子窝或鸡舍;附近没有建筑或拆除,她也从未出过国。 Physical examination: revealed a pale-looking elderly cachectic with Parkinson’s disease feature. Chest examination showed bilateral upper lobe crackles with decreased air entry on the right side. Initial laboratory works showed a normal range of white blood cell count (WBC), no anemia with normal hemoglobin value, normal renal functions with normal value of blood urea nitrogen (BUN), and creatinine. Normal value of albumin-Human immunodeficiency virus (HIV) Ag/Ab combo nonreactive HBsAg nonreactive, hepatitis C virus Ab Nonreactive, C-reactive protein (CRP)12, antinuclear antibodies (ANA) at<1:80, hypercalcemia with calcium level at 2.60 mmol/l (2.12-2.252). Radiologically, Chest X-rays showed a moderate amount of pleural effusion in the right lung with right lower lobe consolidations and nodular opacities in the right middle zone. Hence, a chest computed tomography (CT) scan showed bilateral pleural effusions with associated bilateral basal pulmonary nodules and background of interstitial lung disease and bilateral bronchiectasis changes affecting the posterior segment of its lower lobes as well as in the right middle lung lobe. Furthermore, the abdomen CT scan shows omental thickening anterior to the transverse colon and multiple splenic focal lesions and few para-aortic subcentimetric lymph nodes as per figures 1-4.
图2:纵隔窗显示轻度纵隔和右侧腋窝淋巴结病变。也有轻微的脾肿大。
图3:CT示进行性肺结节增大,少数开始形成中心空泡。
图4:纵隔窗显示右侧腋窝大淋巴结间期钙化,脾脏可见大量钙化灶。
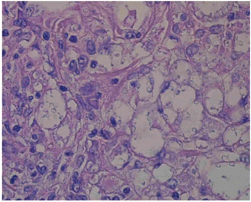
此外,进行胸水抽吸。液体为渗出物,细菌培养阴性。抗酸杆菌(AFB)涂片阴性,需要MTB/利福平基因专家和培养。因为肺结核在病人居住的城市是地方病,所以在结果出来之前进行了胸椎引导活检,并开始了标准的四种方案治疗。入院一周后,病人的发烧有所好转。总体外观:面罩样,下肢肌阵挛运动。神经系统检查除缓慢的眼跳运动外,未见明显颅神经异常。运动检查显示双上肢张力增加,肌肉群力量4/5。铅管硬度与正常动力和左上走种植,持续双侧踝关节阵挛,步态和协调性难以评估。进一步行脑部影像学检查,脑CT示室周T2弥漫性增高,伴多处离散、融合、非增强的变大小信号异常,双侧基底节区可见少量小环状强化病变, and the right centrum and left temporal cortical enhancing focus was noted as well as per figure 5. Lung biopsy was positive for granuloma and fungal elements look like yeast and negative for culture. Positive staining for both Periodic Acid-Schiff (PAS) stain and Gomori Methenamine Silver (GMS) stain. The latter is suggestive of histoplasmosis as per figures 6-8.
图5:MRI显示脑部环形强化病变。
图6:格罗考特甲基胺银染色可以很好地显示黑色的真菌元素(×100)。
图7:粘稠的鲜红色蒴果,粘卡明染色(×100)。
图8:格罗考特甲基胺银染色可以很好地显示黑色的真菌元素(×100)。
患者在肺活检后开始使用抗真菌药物治疗,尽管组织胞浆菌病在沙特阿拉伯并不流行。选择两性霉素脂质体5mg /kg是基于脑损伤,并避免使用唑类药物,因为患者表现出抗结核药物的肝毒性。然而,在治疗期间,患者仅表现出轻微的改善,并表现出药物引起的肝酶升高的混合模式。因此,抗结核药物被停用。经反复支气管镜检查,MTB/RIF PCR基因专家阳性,AFB涂片和培养阳性新型隐球菌.用粘液卡明染色进一步说明,显示清晰的酵母胶囊。抗结核方案(异烟肼、利福平、乙胺丁醇和莫西沙星)逐渐恢复,这次更加谨慎。加入地塞米松,开始氟康唑退行治疗。同时,进行腰椎穿刺以评估脑脊液(CSF)和AFB涂片和培养。MTB/ RIF PCR阴性,墨汁染色阴性。其他脑脊液指标如下:开启压力正常,白细胞总数2,蛋白水平0.473 g/l(0.15 ~ 0.45),血糖水平5.1 mmol/l(115 ~ 130),血糖12.2 mmol/l。血清隐球菌抗原1:256阳性,但脑脊液标本结果阴性。进一步的检测包括:HIV 1和HIV 2血清学均为阴性。患者CD4计数377 /Ml(1000-2800),重复计数1200/MI(表1)。
| 参数 | 结果 | 范围 |
| 淋巴细胞,绝对计数 | 2143 / ul | 1000 - 2800 |
| T -淋巴细胞(CD3 +) | 1542 / ul | 700 - 2100 |
| T -淋巴细胞(CD3 +) | 73%的淋巴 | 55 - 83 |
| 辅助T细胞(CD3+/CD4+) | 434 / ul | 300 - 1400 |
| 辅助T细胞(CD3+/CD4+) | 20 - %淋巴 | 28-57 |
| T -抑制细胞(CD3+/CD8+) | 1107 + /µl | 200 - 900 |
| T -抑制细胞(CD3+/CD8+) | 52 + %淋巴 | 10-39 |
| CD4 + / CD8 +比值 | -0.39 | 1.0 - -3.6 |
表1:根据以下发现,患者被认为具有免疫能力。
淋巴细胞亚群解释:辅助细胞计数不显著,抑制细胞计数超出参考范围。低CD4/ cd8比值在具有免疫能力的全身性感染患者(病毒、细胞内细菌或寄生虫)中均可检测到。
结核分枝杆菌药敏分离株对四种标准药物完全敏感。患者经抗结核和抗真菌联合治疗成功。她的临床和放射学改善如图9和10所示。
图9:胸部CT示肺空化结节明显改善。
图10:MRI大脑显示以前检测到的环形强化病变的大小间隔减小。
在hiv感染者中并发结核和隐球菌病的报道很少。在有免疫能力的个体中,肺结核和隐球菌病的联合感染似乎是一个更罕见的实体[4]。肺结核和隐球菌病患者常见的重要基础疾病包括免疫缺陷综合征,如艾滋病、肾病、血液病和癌症。此外,此类患者接受皮质类固醇或免疫抑制剂治疗的比例很高。在接受抗肿瘤坏死因子治疗的患者中,有几种免疫缺陷的机制。TNF-α对肉芽肿的形成和维持至关重要[5,6]。由于其抑制作用可导致新发肺结核感染的风险增加,潜伏肺结核的复活,并可使其他肉芽肿感染易感,如荚膜组织胞浆菌[7].然而,组织胞浆菌病在沙特阿拉伯并不流行。之前对沙特阿拉伯多个城市土壤的研究证实了这个[9]。TNF-α在巨噬细胞激活、分化和吞噬体形成中发挥作用,并对清除细胞内病原体(例如,李斯特菌、军团菌、沙门氏菌)[5]。随后,给药抗肿瘤坏死因子可使患者易发生机会性感染,如假丝酵母或曲霉属真菌因为它会导致中性粒细胞减少。TNF-α在对抗病毒病原体的免疫应答中也至关重要,其抑制可使乙型肝炎病毒(HBV)[11]或水痘带状疱疹病毒(VZV)[12]易感。c . neoformans和结核分枝杆菌感染被认为是通过吸入环境中的气溶胶颗粒而获得的。在许多病例中,原发性肺结核被认为是一种潜伏性感染。老年肺结核患者的病因可能与潜伏性肺部感染的再激活有关。然而,隐球菌病发病机制尚不清楚。已经考虑了几种可能性,包括原发性进展、再激活和[13]再感染。我们的病例似乎是少数报告的合并感染的病例之一c . neoformans和结核分枝杆菌如表2所示。
| 案例/裁判 | 年龄/性别 | 地区 | 病理病变(结核/隐球菌病) | 治疗结核病/隐球菌) | 结果 |
| 1 / [3] | 61 /米 | 美国 | 肺/ CSF | 异烟肼,SM / AMPH-B | 恢复 |
| 2 / [4] | 69 /米 | 美国 | 肺/肺 | 异烟肼,代表/ KCZ | 恢复 |
| 3 / [5] | 51 / M | 西班牙 | CSF / CSF | Inh, rep, eb, pza / amph-b, 5-fc | 恢复 |
| 4 / [6] | 34楼 | 沙特阿拉伯 | 淋巴结/脊椎 | 异烟肼,代表、EB PZA / FLCZ | 恢复 |
| 5 / [7] | 24楼 | 意大利 | CSF / CSF | Inh, rep, eb, pza, sm / flcz, l-amb | 恢复 |
| 6 / [8] | 18楼 | 加拿大 | 肺/脑脊液,淋巴结 | Inh, rep, eb, pza / amph-b, 5-fc, FLCZ | 恢复 |
| 7 / [9] | 65 /米 | 印度 | 肺/肺 | NA / AMPH-B ITCZ | 恢复 |
| 8 / [10] | 58楼 | 台湾 | 淋巴结、肺 | NA / FLCZ | 恢复 |
| 9 / [11] | 70 /米 | 伊朗 | 肺/ CSF,肺 | Inh, rep, eb, pza / amph-b | 死 |
| 10 / [12] | 61 /米 | 卢旺达 | 肺,骨髓,肝/脑脊液 | Inh, rep, eb / amph-b, FLCZ | 恢复 |
| 11 /现在的情况 | 84 / F | 日本 | 肺,骨髓,肝,皮肤/肺 | 异烟肼、代表、EB / FLCZ | 恢复 |
表2:无基础疾病的非艾滋病毒患者合并结核和隐球菌感染的报告病例
在目前的病例中,不可能知道是否结核病感染先于隐球菌感染,反之亦然。有证据表明结核病和隐球菌对宿主防御都有免疫调节作用。最近的三项研究探讨了结核病对宿主免疫几个不同方面的影响[14,15]。其中两篇[14,15]使用从支气管肺泡灌洗液中分离的细胞来研究免疫介质在肺结核患者中的表达。第三项研究[16]使用了来自结核病患者、其他肺部疾病患者和健康对照组的诱导痰样本。总的来说,这些研究的结果表明,免疫抑制介质的表达抑制了宿主对结核病的防御。在活动性结核病患者中被确定上调的免疫抑制介质包括细胞内(例如,细胞因子信号抑制子,以及与白细胞介素受体相关的抑制子)和细胞外(白细胞介素[IL]-10,转化生长因子- β RII, IL- 1rn, IDO,和CD163)分子[14,15]。
也有证据表明C.neoformans可对宿主免疫系统产生负面影响[17,18]。主要毒力因子C.neoformans是一种主要由葡萄糖醛基甘露聚糖(GXM)和半乳糖醛基甘露聚糖(GalXM)组成的外多糖胶囊。GXM已被证明对宿主免疫系统有多种作用,包括诱导抑制T细胞(抑制细胞介导的免疫),直接抑制T细胞反应和抑制白细胞进入炎症部位[18]。最近的一项研究证实了GXM诱导大鼠巨噬细胞凋亡的能力在活的有机体内和在体外[19]。这一结果也被记录在一项使用腹腔巨噬细胞的研究中,表明GXM和GalXM都可以导致巨噬细胞凋亡[19]。
- Sawai T, Nakao T, Koga S, Ide S, Yoshioka S,等。BMC Pulm Med 18: 6。[Ref。]
- (1)合并感染隐球菌gattii和结核分枝杆菌一名健康的18岁女性Can Respir J 18: e62-e63。[Ref。]
- Rawat D, Capoor MR, Nair D, Deb M, Aggarwal P (2008) hiv感染患者并发结核和隐球菌病。Trop doc38: 251- 252。[Ref。]
- 王强,王智,郝艳,李伟,辛涛,等隐球菌和曲霉属真菌在有免疫能力的成人:1例报告。医学(巴尔的摩)97:e12612。[Ref。]
- Koo S, Marty FM, Baden LR(2010)免疫调节生物制剂相关的感染性并发症。北方感染疾病诊所Am 24: 285-306。[Ref。]
- Roach DR, Bean AG, Demangel C, France MP, Briscoe H, et al. (2002) TNF调节细胞募集、肉芽肿形成和清除分枝杆菌感染所必需的趋化因子诱导。J Immunol 168: 4620-4627。[Ref。]
- 黄志强,李爱华,黄志强(2005)英夫利昔单抗对慢性肉芽肿性感染的活化作用。临床感染Dis 41: S194-S198。[Ref。]
- Malak JA, Kurban AK, Bridi GS, Thaddeus JD(1969)沙特阿拉伯北部系统性真菌感染:对100例选定患者皮肤试验阳性发生的调查。安·特罗普医学寄生虫63:143-146。[Ref。]
- Hedaithy AL, Abdulla SS(1983)沙特阿拉伯土壤组织胞浆菌病病原学调查。毕业论文,亚利桑那州立大学。[Ref。]
- Toruner M, Jr Loftus EV, Harmsen WS, Zinsmeister AR, Orenstein R,等(2008)炎症性肠病患者机会性感染的危险因素。胃肠病学134:929 - 936。[Ref。]
- Carroll MB, forone MA(2010)肿瘤坏死因子α抑制剂在乙肝表面抗原阳性患者中的应用:文献综述和潜在的作用机制。临床风湿病29:1021-1029。[Ref。]
- Strangfeld A, Listing J, Herzer P, Liebhaber A, Rockwitz K, et al.(2009)类风湿关节炎患者使用抗tnf - α药物治疗的带状疱疹风险。《美国医学会杂志》301:737 - 744。[Ref。]
- 高goldman DL, Khine H, Abadi J, Lindenberg DJ, La P,等(2001)血清学证据新型隐球菌儿童早期感染。儿科107:E66。[Ref。]
- 白介素-10和转化生长因子ß (TGF-ß)下调肺免疫应答及TGF-ß I和II受体的研究。感染免疫72:2628-2634。[Ref。]
- Raju B, Hoshino Y, Belitskaya-Lévy I, Dawson R, Ress S, et al.(2008)肺结核患者支气管肺泡细胞的基因表达谱。结核(爱丁堡)88:39-51。[Ref。]
- Almeida AS, Lago PM, Boechat N, Huard RC, Lazzarini LCO等(2009)结核病与降低th1型免疫的肺免疫反应有关。中国免疫学杂志183:718-731。[Ref。]
- Ellerbroek PM, Walenkamp AM, Hoepelman AI, Coenjaerts FE(2004)黄芪荚膜多糖的影响新型隐球菌吞噬细胞迁移和炎症介质。Curr Med Chem 11: 253-266。[Ref。]
- Villena SN, Pinheiro RO, Pinheiro CS, Nunes MP, Takiya CM,等新型隐球菌诱导巨噬细胞凋亡。细胞微生物10:1274-1285。[Ref。]
- Chiapello LS, Baronetti JL, Garro AP, Spesso MF, Masih DT (2008)新型隐球菌葡萄糖醛酸甘露聚糖通过caspase非依赖性途径诱导一氧化氮介导的巨噬细胞凋亡。Int Immunol 20: 1527-1541。[Ref。]
在此下载临时PDF
文章类型:病例报告
引用:Albahrani S, Al Hassan D, Vapra Y, Alsubaiae S, Shilash A (2020)结核分枝杆菌/新型隐球菌具有免疫能力的非hiv患者的联合感染。自体免疫感染疾病3(2):dx.doi.org/10.16966/2470-1025.127
版权:©2020 Albahrani S,等。这是一篇开放获取的文章,在知识共享署名许可协议的条款下发布,该协议允许在任何媒体上无限制地使用、发布和复制,前提是注明原作者和来源。
出版的历史:
