自身免疫和传染病

全文

病例报告
弓蛔虫病:一种罕见的导致多发肝结节的原因

Bellakhal年代Mestri一Jomni TGharbi ESmida HDouggui MH

突尼斯拉马萨部队安全医院内科
突尼斯马纳尔大学突尼斯医学院

*通讯作者:Syrine Bellakhal, Internal Forces Security Hospital- Tahar Ben Achour Street 2078-La Marsa-Tunisia, E-mail: syrinebellakhal@yahoo.fr


总结

内脏幼虫迁徙综合征是弓形虫种类累及全身器官的临床表现。内脏幼虫迁移综合征罕见累及肝脏。我们报告一位42岁女性,多发性肝结节状病变类似恶性病变。最终诊断为内脏幼虫迁移综合征。

关键字

肝脏结节;Toxocarisis;食土癖

情况下

一名42岁突尼斯女性因腹部超声检查发现腹部疼痛及肝脏多发结节性病变而转至我院内科。

检查时无发热,无黄疸,BMI为25 kg/m2她的右上腹部有压痛没有反弹或防御。

肝功能检查在正常范围内,循环中各种肿瘤标志物水平均低于正常水平,外周血嗜酸性粒细胞计数25000/mm3.

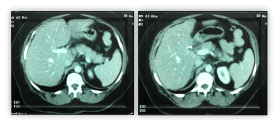
腹部CT (Computed tomography, CT)如图1所示,显示小的多发低密度区域,主要位于门脉周围区域。胸部CT示弥漫性微结节混浊。

既往有异食癖,特别是食土癖病史。

弓形虫病特异性血清学阳性,患者接受阿苯达唑400 mg / d治疗,持续15天。嗜酸性粒细胞率为1600 /mm3.治疗1个月,6个月后腹部CT示肝结节完全消失(图2)。

图1所示。腹部计算机断层扫描显示弥漫性肝低密度病变。

图2。随访计算机断层扫描显示治疗六个月后肝脏病变消失。

评论:

肝脏弓形虫病表现为多发性肝脏病变,常被误诊为其他疾病。鉴别诊断包括肝转移、肝细胞癌和肝肉芽肿。在我们的病例中,外周嗜酸性粒细胞增多,肺受累和食土癖病史帮助我们怀疑弓形虫病的诊断。对于非典型病例,肝穿刺活检和组织学检查是必要的。

参考文献
  1. Leone N, Baronio M, Todros L, David E, Brunello F, et al.(2006)弓形虫幼虫迁移的肝脏累及:一例病理和放射学发现的报告。Dig Liver Dis 38: 511- 514。[Ref。
  2. Lim JH(2008)肝弓形虫病:内脏幼虫迁移。腹部影像33:151-156。[Ref。
  3. Azuma K, Yashiro N, Kinoshita T, Yoshigi J, Ihara N(2002)由于弓形虫引起的内脏幼虫迁移的肝脏累及:一个病例报告-CT和MR结果。放射医学20:89-92。

在此下载临时PDF

PDF

条信息

文章类型:病例报告

引用:Bellakhal S, Mestri A, Jomni T, Gharbi E, Smida H, et al.(2015)弓形虫病:一种罕见的导致多发性肝结节的原因。自体免疫感染疾病1(2):doi http://dx.doi.org/10.16966/2470-1025.107

版权:©2015 Bellakhal S,等。这是一篇开放获取的文章,在知识共享署名许可协议的条款下发布,该协议允许在任何媒体上无限制地使用、发布和复制,前提是注明原作者和来源。

出版的历史:

  • 收到日期:2015年10月14日

  • 接受日期:2015年11月12日

  • 发表日期:2015年11月17日